N-MYC DOWNSTREAM-REGULATED GENE 2 (NDRG2): INOVASI PENANDA TUMOR DIAGNOSTIK DAN PROGNOSTIK TERBARU UNTUK KANKER PARU
on
ARTIKEL TINJAUAN PUSTAKA
Essence of Scientific Medical Journal (2021), Volume 19, Number 1:34-38

P-ISSN.1979-0147, E-ISSN. 2655-6472
TINJAUAN PUSTAKA
POTENSI N-MYC DOWNSTREAM-REGULATED GENE 2 (NDRG2) SEBAGAI PENANDA TUMOR DIAGNOSTIK DAN PROGNOSTIK UNTUK KANKER PARU
Yulian Prastisia1, Ghea Mangkuliguna1, Nikolaus Tobian1,
ABSTRAK
Latar Belakang: Kanker paru menyebabkan kematian pada satu dari lima orang di dunia. Tingginya angka mortalitas ini dikarenakan oleh belum adanya metode diagnosis yang dapat mendeteksi lesi dini kanker paru secara akurat. Akibatnya, banyak pasien yang baru terdiagnosis ketika kanker sudah mencapai stadium lanjut yang tingkat kelangsungan hidup tidak lebih dari 5%. Pada kondisi ini, terapi pembedahan sudah tidak dapat dilakukan dan terapi farmakologis pun kurang memberikan manfaat yang berarti. Baru-baru ini, ekspresi dari gen N-myc downstream-regulated 2 (NDRG2) ditemukan mengalami penurunan pada jaringan kanker paru yang menjadi dasar aplikasi NDRG2 sebagai penanda tumor diagnostik dan prognostik.
Results: Studi literatur ini menunjukkan bahwa sebanyak 56,7-64,5% dari pasien dengan kanker paru memiliki ekspresi NDRG2 yang sangat rendah. Ekspresi NDRG2 juga dikorelasikan dengan invasi tumor & vaskular, ukuran, status diferensiasi, dan stadium tumor. Ekspresi NDRG2 yang rendah dapat menjadi indikator prognostik buruk bagi pasien kanker paru yang ditandai dengan penurunan tingkat kelangsungan hidup hingga 2 kali lipat lebih rendah.
Simpulan: Dengan demikian, dapat disimpulkan bahwa NDRG2 memiliki potensi yang menjanjikan sebagai penanda tumor diagnostik dan prognostik kanker paru.
Kata Kunci: diagnostik, kanker paru, NDRG2, penanda tumor, prognostik
ABSTRACT
Introduction: Lung cancer is the leading cause of oncological death worldwide. One out of five people have passed away because of this cancer. Currently, there is no diagnostic tool that can accurately detect early lesions of lung cancer. As a result, patients are diagnosed only when the lung cancer has reached the advanced stage where 5-year-survival-rate is no higher than 5%. At this point, tumors are no longer surgically resectable and sensitive to treatments. Recently, a gene called N-myc downstream-regulated 2 (NDRG2) is found to be aberrantly expressed in human lung cancer, thus marked its potential use as diagnostic and prognostic biomarker.
Results: This literature review yields result that 56,7-64,5% of patients diagnosed with lung cancer have reduced to absent NDRG2 expression in the tissue. NDRG2 expression is correlated with TNM Stage, tumor & vascular invasion, tumor differentiation status, and tumor size. Moreover, low expression of NDRG2 is an indicator of poor prognostic associated with 2 times lower overall survival rate for patients with lung cancer.
Conclusion: NDRG2 has shown promise to be a novel diagnostic and prognostic biomarker for lung cancer.
Kata Kunci: biomarker, diagnostic, lung cancer, NDRG2, prognostic
1 Pendidikan Dokter, Fakultas Kedokteran, Universitas Sumatera Utara, Medan
PENDAHULUAN
Kanker paru merupakan penyakit yang ditandai dengan adanya pertumbuhan sel-sel ganas yang tidak terkendali di paru-paru.[1] Satu dari lima orang di dunia ditemukan meninggal karena kanker paru.[2] Menurut data dari International Agency for Research on Cancer (IARC), kanker paru telah merenggut nyawa 1,7 juta orang di dunia dan menjadi penyebab kematian tertinggi di antara jenis kanker lainnya. Pada tahun 2018, kanker paru telah menyebabkan kematian pada 26.095 orang di Indonesia.[2,3]
Tingginya angka mortalitas kanker paru salah satunya disebabkan oleh belum adanya metode diagnostik yang dapat mendeteksi lesi dini kanker paru secara akurat. Dalam praktik sehari-hari, teknik pencitraan, seperti rontgen toraks, computed tomographic scans (CT scans), dll. seringkali memberikan hasil false-positive dan tidak dapat mendeteksi lesi tersembunyi, subklinis, dan metastasis kecil.[4] Selain pencitraan, bronkoskopi dan needle biopsy juga dapat menunjang diagnosis, akan tetapi metode tersebut sangat invasif dan membutuhkan waktu yang lama.[5] Metode diagnostik lainnya adalah dengan menggunakan penanda tumor untuk kanker paru, seperti carcinoembryonic antigen (CEA) dan cytokeratin fraction 21-1 (CYFRA 21-1). Akan tetapi, penanda tumor tersebut memiliki sensitivitas ±40% dalam mendeteksi kanker paru.[6]
Banyak pasien yang baru terdiagnosis ketika kanker sudah mencapai stadium akhir yang angka kelangsungan hidup 5 tahun tidak lebih dari 5%.[7] Terapi pembedahan tidak dapat dilakukan pada sepertiga dari pasien dengan kondisi tersebut. Ditambah lagi, terapi farmakologis yang ada saat ini pun kurang memberikan efek yang signifikan untuk perbaikan gejala klinis pasien sehingga semakin memperburuk prognosis pasien dengan kanker paru.[8] Oleh karena itu, diagnosis dini menjadi sangat penting karena dapat mengurangi angka mortalitas secara drastis dan meningkatkan kelangsungan hidup dari pasien dengan kanker paru.[9] Kebutuhan akan suatu alat diagnostik dini yang cepat, tidak invasif, serta memiliki sensitivitas dan spesifisitas yang tinggi telah menjadi suatu urgensi global yang harus segera ditangani.
Beberapa tahun belakangan, berbagai studi berhasil menunjukkan adanya keterlibatan gen N-myc downstream-regulated gene 2 (NDRG2) dalam tumorigenesis kanker paru. NDRG2 merupakan sebuah tumor suppressor gene yang berperan dalam meregulasi proses proliferasi, diferensiasi, dan apoptosis dari sel.[10] Salah satu peristiwa yang mendorong tumorigenesis adalah perubahan epigenetik.[11] Pada beberapa jenis kanker, NDRG2 dilaporkan mengalami hipermetilasi di bagian promoter sehingga ekspresi gen mengalami penurunan dan akhirnya menyebabkan abnormalitas
pada proses regulasi proliferasi sel dan inhibisi pertumbuhan tumor.[12] Studi juga menunjukkan bahwa proses metilasi DNA terjadi pada tahap awal dari suatu keganasan dan membentuk suatu gambaran molekuler yang berpotensi untuk menjadi target diagnostik dan prognostik yang efektif.[11] NDRG2 telah diuji coba secara klinis dan terbukti mampu menunjukkan perbedaan ekspresi gen yang signifikan sesuai dengan tingkat keparahan kanker paru. Selain itu, NDRG2 juga dapat memprediksi tingkat kelangsungan hidup pasien-pasien dengan kanker paru.[13,14] Atas dasar inilah, NDRG2 muncul sebagai kandidat penanda tumor diagnostik dan prognostik untuk kanker paru.
Studi literatur ini disusun untuk menjabarkan peranan dari gen NDRG2 dalam tumorigenesis kanker paru dan potensinya sebagai penanda tumor diagnostik dan prognostik untuk kanker paru.
PEMBAHASAN
Patofisiologi dari Kanker Paru
Secara histologi kanker paru dibagi ke dalam 2 kelompok besar, yaitu small cell lung cancer (SCLC) dan non-small cell lung cancer (NSCLC). Kemudian, NSCLC dibagi ke dalam 3 subtipe yaitu adenocarcinoma, squamous cell carcinoma, dan large cell carcinoma.[11] Analisa genom menunjukkan bahwa pada kanker paru terdapat akumulasi dari perubahan genetik maupun epigenetik dalam jumlah besar, seperti mutasi genetik, hilangnya heterozigositas, dan perubahan ekspresi gen, serta kesalahan dalam replikasi. Terdapat 2 faktor yang berperan dalam perubahan tumor oncogene dan tumor suppresor gene yang dapat memicu terjadinya kanker paru. Pertama gen rentan yang diwariskan dan kedua adalah faktor lingkungan seperti rokok, asbes, bahan kimia yang terhirup dan masih banyak lagi.[15]
Tumor suppressor gene (TSG) sering kali mengalami mutasi pada seseorang dengan kanker paru. Umumnya mutasi pada TSG bersifat eksklusif, hal ini menunjukkan bahwa cukup satu gen yang mengalami mutasi mampu mencetuskan terjadinya kanker paru.[15] Inaktivasi dari TSG melalui hipermetilasi promoter merupakan ciri khas dari kanker paru dan merupakan tahap awal dari pembentukan kanker. Metilasi promoter tersebut beserta mutasi genetik lainnya akan menyebabkan berkembangnya lesi non-neoplastik menjadi adenokarsinoma.[11]
Metilasi CpG islands dari beberapa gen juga dapat ditemukan pada kanker paru stadium I. Metilasi CpG dapat menyebabkan mutasi titik melalui deaminasi dari 5-methylcytosine (5-meC) atau penguatan dari karsinogen eksogen. Sitosin yang sudah termetilasi dapat memicu terjadinya hydrolitic deamination menyebabkan perubahan basa C menyadi T.[11]
NDRG2 sebagai Tumor Suppressor Gene yang Berperan dalam Perkembangan Kanker Paru
N-myc downstream regulation gene 2 atau NDRG2 merupakan protein sitoplasma dari keluarga NDRG. Keluarga NDRG terdiri dari NDRG1, NDRG2, NDRG3, dan NDRG4. Keempat gen ini memiliki sekitar 57-65% urutan asam amino yang sama satu sama lain.[16] Gen NDRG2 dapat ditemukan pada cDNA library dari otak normal manusia. Menurut sebuah studi yang dilakukan oleh Li dkk., NDRG2 diekspresikan dalam berbagai jaringan tubuh
manusia, seperti saluran pencernaan, sistem reproduksi, sistem kemih, sistem kekebalan dan sumsum tulang, kulit, saluran pernapasan, kelenjar endokrin, yang lain termasuk otot jantung dan tulang, astrosit otak dan oligodendrosit.[17] Protein ini berfungsi dalam banyak proses biologi dalam tubuh seperti pertumbuhan sel, diferensiasi, dan apoptosis. NDRG2 dapat berperan sebagai tumor suppressor di berbagai jenis kanker, selain itu NDRG2 juga merupakan gen stress-related pada sel.[10]
NDRG2 juga dapat menghambat proliferasi sel dari beberapa jenis tumor tertentu. Studi in vitro yang dilakukan oleh Faraji dkk. berhasil mendemonstrasikan bahwa pertumbuhan sel akan menurun ketika terjadi ekspresi berlebih pada NDRG2. Dalam penelitiannya, Faraji dkk. memakai NDRG2 untuk sel kanker paru manusia A549. Faraji dkk. mendapatkan hasil jika gen NDRG2 dapat menginhibisi invasi dan migrasi dari sel kanker manusia.[18] Tidak hanya hal tersebut, mereka juga menemukan bahwa NDRG2 dapat juga menekan aktivasi dari matriks metalloproteinase-2 (MMP-2) dan juga MMP-9. MMP merupakan enzim yang dapat mendegradasi matriks ekstraseluler. MMP ini dipakai oleh sel kanker untuk melakukan invasi dan metastasis agar dapat berpindah tempat.[18,19] Inhibisi MMP merupakan hasil dari regulasi sinyal nuclear factor kappa-light-chain-enhancer of activated B cells (NF-kB).[19]
NDRG2 sebagai Penanda Tumor Diagnostik untuk Kanker Paru
Berbagai studi klinis telah dilakukan untuk melihat hubungan antara tingkat ekspresi gen NDRG2 dan kejadian kanker paru. Salah satunya adalah penelitian yang dilakukan oleh Wang dkk. Penelitian ini menggunakan 166 sampel jaringan dari pasien dengan adenokarsinoma. Hasil penelitian dengan teknik imunohistokimia menunjukkan bahwa 107 dari 166 sampel jaringan (64,5%) menunjukkan tingkat ekspresi NDRG2 yang rendah dibandingkan dengan kontrol. Analisis lebih lanjut memperlihatkan adanya korelasi negatif bermakna (r = -0,82, p < 0,001) antara ekspresi NDRG2 dan kejadian adenokarsinoma paru.[13]
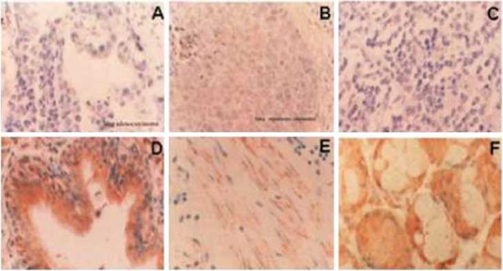
Studi lainnya yang dilakukan oleh Li dkk. juga menunjukkan hasil yang serupa. Penelitian ini menggunakan 185 sampel jaringan kanker (72 squamous carcinoma, 90 adenokarsinoma, dan 23 small-cell lung carcinoma) dan jaringan normal dari pasien yang terdiagnosis kanker paru. Pemeriksaan dengan imunohistokimia menunjukkan bahwa 105 dari 185 (56,76%) sampel jaringan kanker paru memiliki ekspresi NDRG2 yang sangat rendah bahkan tidak ada sama sekali dibandingkan dengan jaringan normal (Dapat dilihat pada Gambar 1).[14] Penemuan ini juga konsisten dengan hasil analisis menggunakan reverse transcriptase- polymerase chain reaction (RT-PCR) yang memperlihatkan bahwa NDRG2 tidak diekspresikan pada 112 dari 185 (60,78%) sampel jaringan kanker paru. Kadar mRNA dan protein dari NDRG2 pada sampel jaringan kanker paru juga mengalami penurunan yang signifikan dibandingkan dengan jaringan normal saat diujicobakan dengan metode RT-PCR (Dapat dilihat pada Gambar 2a,b) dan western blot (Dapat dilihat pada Gambar 2c).[14]
Ekspresi NDRG2 juga dapat dilihat berdasarkan karakteristik klinikopatologis pasien dengan kanker paru. Menurut penelitian yang dilakukan oleh Wang
dkk., ekspresi NDRG2 memiliki hubungan yang signifikan dengan TNM Staging (p=0,01). Sebanyak 49 dari 89 (55,1%) pasien dengan adenokarsinoma paru stadium I dan II memiliki ekspresi NDRG2 yang tinggi, sebaliknya ekspresi NDRG2 sangat rendah pada 67 dari 77 (87,0%) pasien kanker paru stadium III dan IV. Selain itu, pasien dengan adenokarsinoma yang sudah bermetastasis ditandai dengan penurunan ekspresi dari NDRG2 (56 dari 66 sampel jaringan kanker, p=0,02).[13] Studi lainnya yang
dilakukan oleh Li dkk. menunjukkan bahwa NDRG2 memiliki korelasi positif dengan kedalaman invasi tumor (p=0,038), invasi vaskular (p=0,036), status diferensiasi tumor (p=0,039), dan ukuran tumor (p=0,026); serta korelasi negatif dengan stadium kanker berdasarkan TNM Staging (p<0,05).[14] Berdasarkan atas fakta-fakta tersebut, NDRG2 memiliki potensi untuk dikembangkan menjadi penanda tumor diagnostik kanker paru.

Gambar 1. Perbandingan Ekspresi NDRG2 pada Jaringan Kanker Paru Subtipe Adenokarsinoma (a); Squamous Carcinoma (b); Non-small Cell Lung Carcinoma (c) dan Jaringan Normal (d-f)

Gambar 2. Kadar mRNA dan Protein dari NDRG2 pada Jaringan Kanker Paru dan Jaringan Normal dengan Teknik RT-PCR (a,b) dan Western Blot (c)
NDRG2 sebagai Penanda Tumor Prognostik
untuk Kanker Paru
Berdasarkan penjelasan sebelumnya, ekspresi
NDRG2 yang rendah telah terbukti memegang
peranan penting dalam memicu sifat invasif dan
metastasis tumor. Selain itu, NDRG2 juga terbukti sangat sedikit bahkan tidak diekspresikan sama sekali pada jaringan kanker paru. Oleh karena itu, ekspresi NDRG2 dapat menentukan prognosis dari pasien kanker paru.
Wang dkk. menunjukkan bahwa pasien dengan ekspresi NDRG2 yang rendah akan mengalami penurunan overall survival secara signifikan pada 20 bulan pertama setelah pembedahan. Dalam waktu 40 bulan setelah ini, pasien dengan ekspresi NDRG2 yang rendah akan memiliki overall survival sebesar 3 kali lebih rendah dibandingkan pasien dengan ekspresi NDRG2 yang tinggi (Dapat dilihat pada Gambar 3).[12] Penemuan ini juga didukung oleh penelitian yang dilakukan oleh Li dkk. Ekspresi NDRG2 yang tinggi akan meningkatkan prognosis dari pasien-pasien dengan kanker paru. Risiko prognosis buruk pada pasien kanker paru hanya 0,622 kali (95% CI: 0,456-0,848, p=0,003) apabila ekspresi NDRG2 masih tinggi (Dapat dilihat pada Tabel 1).[14] Oleh karena itu, dapat disimpulkan bahwa ekspresi NDRG2 memiliki korelasi positif terhadap kelangsungan hidup dan berbanding lurus dengan prognosis pasien. NDRG2 dapat menjadi indikator prognostik untuk pasien adenokarsinoma paru.
Gambar 3. Hubungan antara Ekspresi NDRG2 pada Pasien Adenokarsinoma Paru dalam Kurva Kaplan-Meier
Tabel 1. Indikator Prognosis Buruk pada Pasien dengan Kanker Paru
Variables |
Risk ratio (95 % confidence interval) |
P |
Age (>65) |
1.094 (0.806-1.486) |
0.565 |
Gender (female) |
1.146 (0.755-1.741) |
0.522 |
Primary tumor (pT2) |
1.450 (0.964-2.182) |
0.075 |
Primary tumor (ρT3,4) |
2.392 (1.814-3.154) |
<0.001 |
Regional lymph node metastasis (pN∣) |
1.368 (1.033-1.811) |
0.029 |
Regional lymph node metastasis (pN2) |
1.825 (1.381-2.411) |
<0.001 |
Distant metastasis (pM∣) |
2.859 (2.218-3.840) |
<0.001 |
Vascular invasion (Yes) |
1.487 (1.111-1.990) |
0.008 |
Grade (3) |
1.363 (0.868-2.140) |
0.178 |
Size (3.8) |
1.456 (0.705-3.008) |
0.310 |
Histologic type (adenocarcinoma) |
0.985 (0.703-1.381) |
0.932 |
Histologic type (adenosquamous carcinoma) |
1.417 (0.899-2.234) |
0.133 |
NDRG2 (++) |
0.641 (0.445-0.923) |
0.017 |
NDRG2 (+++) |
0.622 (0.456-0.848) |
0.003 |
SIMPULAN
Selama beberapa dekade terakhir, metode diagnostik yang dapat mendeteksi lesi dini kanker paru secara akurat masih belum ada. Mengingat tingginya angka mortalitas dari kanker paru, kebutuhan akan alat diagnostik baru yang efektif harus segera direalisasikan. Baru-baru ini, sebuah gen yang disebut N-myc downstream-regulated gene 2 (NDRG2) dinilai memegang peranan penting dalam
tumorigenesis kanker paru. Ekspresi NDRG2 mengalami penurunan pada sampel jaringan kanker paru. Ekspresi NDRG2 yang rendah dapat menjadi indikator buruknya prognosis seseorang dengan kanker paru. Dengan demikian, dapat disimpulkan bahwa gen NDRG2 memiliki potensi yang menjanjikan untuk menjadi penanda tumor diagnostik maupun prognostik untuk kanker paru.
SARAN
Bukti-bukti yang memaparkan potensi NDRG2 sebagai penanda tumor diagnostik dan prognostik masih sangat terbatas. Oleh karena itu, kami menyarankan agar dilakukan penelitian lebih lanjut mengenai topik ini, terutama mengenai sensitivitas dan spesifisitas dari NDRG2 untuk mendeteksi jaringan kanker paru. Selain itu, kami juga menyarankan agar dilakukan penelitian lebih lanjut mengenai NDRG2 sebagai penanda tumor prognostik yang dapat memperkirakan tingkat kelangsungan hidup dari pasien serta penanda tumor prediktif yang dapat memprediksi respon pasien terhadap terapi yang diberikan.
DAFTAR PUSTAKA
-
1. Centers for Disease Control and Prevention.
What Is Lung Cancer ?. 2019 [Diakses 6
Desember 2019]. [Diambil dari:
https://www.cdc.gov/cancer/lung/basic_info/wh at-is-lung-cancer.htm]
-
2. Bray F, Ferlay J, Soerjomataram I, Siegel RL, Torre LA, Jernal A. Global cancer statistics 2018: GLOBOCAN estimates of incidence and mortality worldwide for 36 cancers in 185 countries. CA Cancer J Clin. 2018;68(6):394-424.
-
3. International Agency for Research on Cancer. GLOBOCAN 2018: estimated cancer incidence, mortality, and prevalence worldwide in 2018. 2019 [Diakses 6 Desember 2019] [Diambil dari: http://globocan.iarc.fr]
-
4. Aberle DR, Adams AM, Berg CD, Black WC, Clapp JD, Fagerstrom RM, et al. Reduced lungcancer mortality with low-dose computed tomographic screening. N Engl J Med.
2011;365:395–409.
-
5. Ofiara L, Navasakulpong A, Ezer N, Gonzalez A. The importance of a satisfactory biopsy for the diagnosis of lung cancer in the era of personalized treatment. Current Oncology. 2012;19: S16-23.
-
6. Chen F, Li J, Qi X, Qi J. Diagnostic value of CYFRA 21-1 and carcinoembryonic antigen in diagnosis of operable lung cancer from benign lung disease. J Can Res Ther 2018;14, Suppl S2:400-4.
-
7. Siegel RL, Miller KD and Jemal A. Cancer statistics, 2019. CA Cancer J Clin. 2019;69(1):7–34.
-
8. Rizvi NA, Peters S. Immunotherapy for unresectable stage iii non–small-cell lung cancer. New England Journal of Medicine. 2017; 377(20): 1986–1988.
-
9. Ehmann R, Boedeker E, Friedrich U, Sagert J, Dippon J, Friedel G and Walles T. Canine scent detection in the diagnosis of lung cancer: revisiting a puzzling phenomenon. Eur Respir J. 2012:39;669–676.
-
10. Tantai J, Pan X, Hu D. RNF4-mediated SUMOylation is essential for NDRG2
11.
12.
13.
14.
15.
16.
17.
18.
19.
20.
suppression of lung adenocarcinoma. Oncotarget. 2016;7(18).
Langevin SM, Kratzke RA, Kelsey KT. Epigenetics of lung cancer. Transl Res. 2015;165(1):74–90.
Hu W, Fan C, Jiang P, Ma Z, Yan X, Di S, et al. Emerging role of N-myc downstream-regulated gene 2 (NDRG2) in cancer. Oncotarget. 2016;7(1).
Wang H, Wang W, Wang X, Cai K, et al. Reduced N-Myc downstream-regulated gene 2 expression is associated with CD24 upregulation and poor prognosis in patients with lung adenocarcinoma. Med Oncol. 2012; 29(5):3162-3168.
Li SJ, Wang WY, Li B, Chen B, et al. Expression of NDRG2 in human lung cancer and its correlation with prognosis. Med Oncol. 2013; 30(1):421.
Hashimoto N, Sato M, Hasegawa Y. Pulmonary Malignancies (1): Lung Cancer—What Are the Roles of Genetic Factors in Lung Cancer Pathogenesis? In: Kaneko T, editor. Clinical Relevance of Genetic Factors in Pulmonary Disease. Springer; 2018 [Diakses 2019 Dec 8]. p. 193–206.
Barros-Filho MC, Guiser F, Rock LD, Becker-Santos DD, Sage AP, Marshall EA, et al. Tumour Suppressor Genes with Oncogenic Roles in Lung Cancer. In: Lemamy GJ (ed). Genes and Cancer. IntechOpen; 2019. p. 1–17. Li S, Huang SM, Lim J, Kim J. Expression profiling of the differentiation related protein N‐ myc downstream regulated gene 2 in normal human tissues. Basic and Applied Pathology. 2008;1: 77-82.
Faraji SN, Mojtahedi Z, Ghalamfarsa Gh, Takhshid MA. N-myc downstream regulated gene 2 overexpression reduces matrix metalloproteinase-2 and -9 activities and cell invasion of A549 lung cancer cell line in vitro. Iran J Basic Med Sci. 2015;18:773-779.
Kim A, Kim MJ, Yang Y, Kim JW, et al. Suppression of NF-kB activity by NDRG2 expression attenuates the invasive potential of highly malignant tumor cells. Carcinogenesis. 2009; 30(6): 927-936.
American Joint Committee on Cancer. Lung. Amin MB, Edge S, Greene F, Byrd DR, Brookland RK, et al. AJCC Cancer Staging Manual. 8th ed. New York, NY: Springer; 2017.
38
Discussion and feedback