AFOXOLANER EFFICACY AGAINST GENERAL DEMODECOSIS IN DOGS BASED ON SKIN HISTOPATHOLOGY
on
Buletin Veteriner Udayana Volume 15 No. 5: 747-756
pISSN: 2085-2495; eISSN: 2477-2712 Oktober 2023
Online pada: http://ojs.unud.ac.id/index.php/buletinvet https://doi.org/10.24843/bulvet.2023.v15.i05.p07
Terakreditasi Nasional Sinta 4, berdasarkan Keputusan Direktur Jenderal Pendidikan Tinggi, Riset, dan Teknologi No. 158/E/KPT/2021
Efikasi Afoxolaner terhadap Demodekosis General pada Anjing Berdasarkan Histopatologi Kulit
(AFOXOLANER EFFICACY AGAINST GENERAL DEMODECOSIS IN DOGS BASED ON SKIN HISTOPATHOLOGY)
Jeremy Christian1*, Putu Devi Jayanti2, Sri Kayati Widyastuti3
-
1Mahasiswa Profesi Dokter Hewan, Universitas Udayana, Fakultas Kedokteran Hewan, Universitas Udayana, Jl. PB. Sudirman, Denpasar, Bali, Indonesia, 80234;
-
2Laboratorium Diagnostik Klinik, Patologi Klinik, Dan Radiologi Veteriner, Fakultas Kedokteran Hewan, Universitas Udayana, Jl. PB. Sudirman, Denpasar, Bali, Indonesia, 80234;
-
3Laboratorium Ilmu Penyakit Dalam Veteriner, Fakultas Kedokteran Hewan, Universitas Udayana, Jl. PB. Sudirman, Denpasar, Bali, Indonesia, 80234;
Corresponding author email: jeremychristianluwis@gmail.com
Abstrak
Demodekosis adalah penyakit kulit yang paling umum ditemukan pada anjing, disebabkan oleh perkembangbiakkan tungau Demodex sp. yang berlebihan. Berdasarkan distribusi lesi, demodekosis dibagi menjadi lokal dan umum. Penelitian ini bertujuan untuk mengetahui efikasi dari Afoxolaner terhadap Demodekosis General pada anjing. Seekor anjing jantan ras campuran berumur 1,5 tahun dengan bobot 7,8 Kg datang ke Laboratorium Interna, Fakultas Kedokteran Hewan, Universitas Udayana, dengan keadaan anoreksia, lemas, dan kerontokan pada area wajah, sekitar telinga, leher, tungkai, badan samping, punggung, serta bagian ekstremitas. Pada pemeriksaan fisik ditemukan adanya alopesia, eritema di hampir seluruh tubuh, krusta, pustula di bagian medial ekstremitas kaudal. Anjing menunjukkan tingkat pruritus yang tinggi. Pemeriksaan hematologi rutin menunjukkan anjing mengalami anemia dan leukositosis. Diagnosa berdasarkan pemeriksaan mikroskopis dari kerokan mendalam atau deep skin scraping adalah Demodekosis. Prognosis pada kasus ini adalah fausta. Anjing kasus diterapi dengan menggunakan Afoxolaner (NexGard®), Azithromycin Dihydrate (10mg/kgBB, PO, q24h) dan Chlorpheniramine maleate (4mg/hari, PO, q12h) selama seminggu. Pemeriksaan histopatologi kulit sebelum diberikan obat ditemukan adanya potongan demodex pada folikel rambut, furunkulosis, infiltrasi sel radang pada stratum spinosum dan lapisan dermis, nekrosis disertai dengan adanya eksudat hemorrhagis, dilatasi folikel, dan perifolikulitis. Pasca terapi, hasil pemeriksaan histopatologi menunjukkan hasil yang baik, dengan tidak ditemukannya potongan tungau, ukuran folikel kembali normal, dan infiltrasi sel radang tidak terlihat pada perifolikel. Pada hari ke-10 terlihat keadaan anjing sudah membaik, hasil dari kerokan kulit menunjukkan berkurangnya jumlah tungau dalam satu lapang pandang. Pemberian Afoxolaner sebaiknya diberikan sebulan sekali selama tiga bulan untuk menghilangkan dan mencegah anjing terinfeksi tungau.
Kata kunci: Afoxolaner; anjing; demodekosis; kerokan mendalam;
Abstract
Demodicosis is the most common skin disease found in dogs, caused by the proliferation of Demodex sp. mites. Based on the distribution of the lesions, demodicosis is divided into local and generalized. This study aims to determine the efficacy of Afoxolaner against General Demodicosis in dogs. A 1.5 year old mixed-breed male dog weighing 7.8 kg came to the Internal Laboratory, Faculty of Veterinary Medicine, Udayana University, with anorexia, weakness, and hair loss in the facial area, around the ears, neck, limbs, sides, back and extremities. On physical examination found alopecia, erythema all over the body, crusts, pustules in the medial caudal limb. Dogs exhibit high levels of pruritus. Routine haematological examination showed that the dog had anemia and leucocytosis.
Diagnosis based on microscopic examination of deep skin scraping is Demodicosis. The prognosis in this case is fausta. Case dogs were treated with Afoxolaner (NexGard®), Azithromycin Dihydrate (10mg/kgBB, PO, q24h) and Chlorpheniramine maleate (4mg/day, PO, q12h) for a week. Histopathological examination of the skin before drug administration revealed pieces of demodex in the hair follicles, furunculosis, inflammatory cell infiltration of the stratum spinosum and dermis layer, necrosis accompanied by haemorrhagic exudate, follicular dilatation, and peri folliculitis. Posttherapy, the results of histopathological examination showed good results, with no pieces of mites found, the size of the follicle returned to normal, and no inflammatory cell infiltration was seen in the peri follicle. On the 10th day it was seen that the dog's condition had improved, the results of the skin scraping showed a reduced number of mites in one field of view. Afoxolaner should be given once a month for three months to eliminate and prevent mite infection in dogs.
Keywords: Afoxolaner; demodicosis; deep skin scraping; dog;
PENDAHULUAN
Salah satu masalah pada kulit anjing yang paling sering ditemui ialah demodekosis (Sivajothi, 2015). Demodekosis didefinisikan sebagai infeksi oleh parasit yang menyebabkan inflamasi pada kulit (Perego, 2019). Terdapat tiga spesies Demodex yang dapat menginfeksi anjing yaitu D. canis, D. cornei, dan D. injai. Tungau D. canis dan D. injai ditemukan pada folikel rambut, kelenjar sebaceous, dan saluran sebaceous, sedangkan, D. cornei ditemukan pada lapisan superfisial stratum corneum di seluruh lapisan kulit (Sivajothi et al., 2015).
Demodex merupakan flora normal pada kulit anjing yang sehat, infeksi akan terjadi apabila tungau bermultiplikasi secara berlebih pada kulit dan folikel rambut. Secara distribusi lesi, penyakit ini terdapat dua jenis, demodekosis lokal dan umum. Bentuk terlokalisasi, lesinya melibatkan sedikitnya empat area termasuk wajah dan kaki depan dengan diamater lesi <2,5 cm. Anjing dengan bentuk demodekosis umum, biasanya lesinya melibatkan lebih dari empat area tubuh termasuk dua atau lebih kaki dan seluruh wilayah tubuh (Mueller et al., 2012). Menurut Gasparetto et al. (2018) kejadian demodekosis umum lebih banyak 60% dibandingkan dengan demodekosis lokal yang hanya mencapai 30%. Tanda klinis yang muncul biasanya adalah adanya eritema, pustula, krusta, hiperkeratosis, dan alopesia, dengan infeksi sekunder berupa pioderma yang
sering terjadi. Demodekosis umum dapat berhubungan dengan limfadenopati, lesu, dan demam. Diagnosis yang paling mudah dari penyakit ini adalah dengan melakukan pemeriksaan mikroskopis dari sampel kerokan kulit mendalam, kerokan kulit permukaan, dan juga trichogram.
Demodekosis umum merupakan hal yang cukup sulit untuk diobati secara efektif. Hanya terdapat beberapa obat dan formulasi terdaftar dengan efikasi beragam yang terdaftar (Mueller, 2012). Apapun pilihan yang dipilih oleh dokter hewan untuk mengobati demodekosis biasanya memakan waktu kurang lebih 3 bulan atau lebih untuk mencapai kesembuhan (Shoop, 2014). Baru-baru ini, kelas baru insektisida/akarisida, isoxazolines, telah menunjukkan kemanjuran yang sangat baik terhadap kutu dan caplak (Shoop, 2014). Khasiat fluralaner (Bravecto®), kandungan dari obat ini dilaporkan menunjukkan hasil yang baik pada terapi demodekosis (Fourie, 2015). Fluralaner diberikan sekali secara oral dengan dosis minimum 25 mg/kg dan anjing kemudian dievaluasi selama 3 bulan untuk kemanjuran berdasarkan jumlah tungau dan skor lesi klinis. Setelah pemberian oral tunggal tablet kunyah fluralaner, jumlah tungau di kerokan kulit berkurang 99,8% pada hari ke - 28 dan 100% pada hari ke -56 dan 84. Secara statistik signifikan (P<0,05) lebih sedikit tungau ditemukan pada Hari 56 dan 84 pada anjing yang diobati dengan fluralaner dibandingkan dengan anjing yang diobati dengan imidakloprid/moksidektin.
Afoxolaner merupakan isooxazoline lainnya yang diberikan setiap bulan untuk memberikan anjing perlindungan dari kutu dan caplak. Dengan minimal dosis 2,5 mg/kg, studi menunjukkan bahwa pemberian Afoxolaner selama 3 bulan berturut – turut menghasilkan efek yang sama dengan pemberian Fluralaner. Berdasarkan hal tersebut, tujuan studi ini adalah untuk mengetahui efikasi pemberian Afoxolaner (NexGard®) terhadap demodekosis umum ditinjau berdasarkan hasil pemeriksaan
mikroskopis kerokan dan histopatologi kulit.
METODE PENELITIAN
Laporan Kasus
Sinyalemen dan Anamnesis
Hewan kasus merupakan anjing jantan ras campuran dengan bobot badan 7,8kg, berumur 1,5 tahun. Anjing memiliki rambut coklat – putih. Anjing dibawa ke Laboratorium Interna, Fakultas
Kedokteran Hewan, Universitas Udayana dengan keadaan anjing tidak mau makan dan minum, terus menerus menggaruk seluruh badan, kebotakan dan kemerahan pada seluruh bagian tubuh, serta mengeluarkan bau yang tidak sedap. Menurut keterangan pemilik, anjing merupakan hasil rescue tiga hari yang lalu. Pemilik hanya memiliki satu anjing tersebut. Pakan yang coba diberikan adalah dry dogfood tapi anjing hanya makan pada hari pertama di rescue. Anjing tidak memiliki data riwayat vaksinasi namun sudah diberikan obat cacing 3 hari yang lalu. Metode pemeliharaan dengan dilepas di pekarangan rumah.
Pemeriksaan Penunjang Kerokan Kulit
Pemeriksaan secara mikroskopis dilakukan terhadap sampel kulit dengan metode kerokan yang dalam pada kulit (deep skin scrapings). Pada kulit bagian perut dan kaki depan pasien kasus dilakukan pengambilan sampel
menggunakan pisau bedah untuk mengerok kulit. Pengambilan sampel
dilakukan dengan kerokan pada kulit sampai muncul titik darah. Sampel kemudian ditetesi dengan KOH 10%, lalu ditutup dengan cover glass, dan diamati di bawah mikroskop cahaya dengan pembesaran daya rendah (pembasaran 100 kali).
Pemeriksaan Hematologi Rutin
Hematologi rutin atau cek darah lengkap pertama – tama dilakukan dengan mengambil sample darah dari vena Jugularis pada anjing kasus yang kemudian dibawa ke Laboratorium Diagnostik Klinik dan diperiksa menggunakan alat Hematology Analyzer.
Kultur Swab Lesi Kulit dan Pemeriksaan Histopatologi
Pengambilan sampel swab kulit dilakukan pada kulit anjing kasus yang terdapat lesi ulseratif. Sampel kemudian dibawa ke Balai Besar Veteriner untuk dilakukan kultur bakteri. Sedangkan, pembuatan preparat histopatologi diambil dari biopsi kulit anjing kasus yang mengalami alopesia dan eritema. Preparat kemudian diamati di bawah mikroskop dengan pembesaran 100x dan 400x.
Diagnosis dan Prognosis
Berdasarkan anamnesis, hasil pemeriksaan fisik berupa adanya kerontokan rambut, eritema, dan pustula serta pemeriksaan penunjang kerokan kulit dengan ditemukan tungau Demodex sp. maka anjing ras campuran pada kasus ini didiagnosis menderita demodekosis. Prognosis pada hewan kasus adalah fausta.
Terapi
Terapi yang diberikan pada hewan kasus dengan berat badan 7,8 kg yang didiagnosis menderita demodekosis adalah antiakasirida golongan isoxazoline Afoxolaner (NexGard® for 4-10 Kg : 28 mg Afoxolaner, Boehringer Ingelheim, USA) 1 Tablet, antibiotika golongan makrolida Azithromycin (Azithromycin Dihydrate 500mg tab®, PT. Kimia Farma, Jakarta, Indonesia) 10 mg/kgBB, q24h, selama seminggu, antihistamin oral
Chlorpheniramine maleate (CTM®, PT. PIM Pharmaceuticals, Pasuruan,
Indonesia) 4 mg/hari. Injeksi Vitamin B Kompleks (Wonder B Complex®, PT. Wonderindo Pharmatama, Jakarta,
Indonesia) 0,1 ml/kg BB. Dimandikan dengan shampoo Benzoyl Peroxide (Raid-All® Medicated Formulated Benzoyl Peroxide Shampoo For Dog And Cat).
HASIL DAN PEMBAHASAN
Hasil
Pemeriksaan Fisik
Pada pemeriksaan fisik dilakukan dengan cara inspeksi, palpasi, dan auskultasi. Status present sebagai berikut : suhu 39,3oC, frekuensi pulsus 156 kali/menit, frekuensi denyut jantung 156 kali/menit, frekuensi nafas 20 kali/menit, Capilary Refill Time (CRT) lebih dari dua detik, turgor kulit melambat. Pada pemeriksaan kulit dan kuku, ditemukan kerontokan rambut hampir di seluruh bagian tubuh, adanya eritema pada bagian yang mengalami alopesia, krusta, serta pustula di bagian medial ekstremitas kranial dan kaudal (Gambar 1). Pada pemeriksaan mukosa mulut dan mata, terlihat adanya kepucatan. Pada pemeriksaan sirkulasi, respirasi, digesti, urogenital, muskuloskeletal, saraf, limfonodus, telinga, dan mata diperoleh hasil yang normal.
Hasil Pemeriksaan Penunjang
Hasil yang diperoleh adalah positif ditemukan tungau Demodex sp. (Gambar 2).
Hasil Pemeriksaan Hematologi Rutin
Hasil pemeriksaan hematologi rutin menunjukkan bahwa hewan kasus mengalami anemia normositik
normokromik dan leukositosis. Pada diferensial leukosit terjadi peningkatan jumlah limfosit (limfositosis) dan jumlah neutrofil (neutrofilia). Hasil pemeriksaan darah disajikan pada Tabel 1.
Hasil Kultur Swab Kulit dan Histopatologi
Berdasarkan hasil kultur bakteri dari sampel swab kulit pada anjing kasus yang dilakukan di Balai Besar Veteriner Denpasar ditemukan bahwa adanya koloni Staphylococcus sp. Hasil pemeriksaan preparat histopatologi menunjukkan adanya infiltrasi sel radang pada bagian dermis dan stratum spinosum. Terlihat juga potongan demodex melintang dan membujur yang terdapat pada folikel rambut.
Pembahasan
Hewan yang digunakan dalam studi kasus ini adalah anjing ras campuran berwarna coklat dan putih, berjenis kelamin jantan, berumur 1,5 tahun dengan bobot badan 7,8 kg. Pemilik me-rescue anjing sejak tiga hari sebelum dibawa ke Rumah Sakit Hewan Pendidikan, Fakultas Kedokteran Hewan, Universitas Udayana. Pemilik memelihara anjing dengan dilepas pada pekarangan rumah dan diberi pakan berupa dryfood. Gejala klinis yang muncul diantaranya kerontokan rambut hampir di seluruh bagian tubuh (alopesia), adanya eritema pada bagian yang mengalami alopesia, krusta, serta pustula di bagian medial ekstremitas kranial dan kaudal. Status vaksinasi belum pernah vaksin dan belum pernah diberikan obat cacing.
Demodekosis sangatlah merugikan khususnya bagi pencinta anjing, walaupun jarang mengakibatkan kematian. Anjing yang mengalami demodekosis secara umum terlihat adanya lesi seperti alopesia, eritrema, scale, dan pustula (Joanna dan Izdebska, 2010). Pada anjing betina yang terjangkit demodekosis, dapat langsung menularkan tungau Demodex sp. kepada anaknya segera setelah melahirkan. Setelah sistem kekebalan tubuh anak anjing tersebut meningkat kira-kira pada umur 1 minggu, maka parasit ini akan menjadi fauna normal dan tidak menimbulkan penyakit kulit, namun bila kondisi kekebalan anjing menurun maka Demodex sp. akan berkembang menjadi
lebih banyak dan dapat menimbulkan penyakit kulit (Rather dan Hassan, 2014).
Pada pemeriksaan mikroskopis ditemukan tungau Demodex sp. Tungau ini tidak terlihat dengan mata telanjang, untuk melihatnya diperlukan alat bantu berupa mikroskop, demodekosis akan dapat didiagnosa melalui pemeriksaan mikroskopis dari kerokan kulit (deep skin scraping) hewan penderita yang diduga terserang penyakit ini, parasit Demodex sp. berbentuk cerutu dengan ukuran 250-300μm x 40 μm (Sardjana, 2012). Deep skin scraping dilakukan pada wilayah kulit yang mengalami lesi dan kerokan kulit dilakukan cukup dalam sampai berdarah. Hasil yang baik diperoleh dari kerokan pada daerah lesi primer seperti papula dan pustula (Mueller et al., 2012). Kerokan kulit mendalam memberikan nilai diagnostik yang lebih baik daripada kerokan permukaan kulit (superficial skin scrapings) dan tape smear, hal tersebut dikarenakan predileksi tungau Demodex sp. berada pada kelenjar minyak dan folikel rambut di lapisan dermis. Trichogram juga merupakan metode yang mampu digunakan pada pemeriksaan penunjang untuk meneguhkan diagnosa pada penyakit demodekosis, hal tersebut berdasarkan predileksi tungau Demodex sp. di folikel rambut, sehingga ketika dilakukan pencabutan rambut sampai ke akarnya akan ditemukan tungau pada pemeriksaan mikroskopis. Pada pemeriksaan kerokan kulit yang dalam pada kasus ini ditemukan adanya Demodex sp. pada anjing kasus.
Pemeriksaan darah berperan penting dalam menentukan diagnosis dan dapat digunakan untuk memantau perjalanan penyakit. Dari hasil pemeriksaan darah rutin yang dilakukan, anjing mengalami leukositosis dan anemia normositik normokromik. Pengurangan asupan pakan atau nutrisi, istirahat yang tidak cukup karena anjing akan lebih sering menggaruk, serta penyakit sistemik akibat status kesehatan yang memburuk dapat menjadi penyebab turunnya sel darah
merah dan hemoglobin. Peningkatan sel darah putih terutama granulosit dapat menunjukkan adanya infeksi yang disebabkan oleh parasit maupun bakteri. Leukositosis biasanya sebagai akibat dari meningkatnya jumlah total netrofil yang bersirkulasi di dalam aliran darah (Rafdinal, 2016). Pada kasus ini, peningkatan jumlah leukosit dapat disebabkan oleh infeksi Staphylococcus sp. yang terdeteksi pada hasil kultur dari sampel swab lesi kulit yang dilakukan. Bakteri Staphylococcus intermedius merupakan flora normal pada anjing. Namun, merupakan agen utama yang menyebabkan infeksi pada kulit (Futagawa-Saito et al., 2006). Pada kondisi tubuh yang menurun, bakteri tersebut dapat bertindak sebagai patogen oportunis. Hal ini didukung juga oleh temuan klinis dari anjing Sule yang diperiksa memiliki kondisi tubuh yang buruk.
Berdasarkan pengamatan secara histologi kulit dari anjing kasus terlihat adanya potongan demodex pada folikel rambut, infiltrasi sel radang pada bagian dermis kulit, dan infiltrasi sel radang pada stratum spinosum. Solanki et al., (2011) menyebutkan bahwa pada bagian dermis terdapat beberapa jenis perubahan, perubahan yang paling konsisten adalah terdapat infiltrasi sel radang limfosit, makrofag, sel mast, dan sel plasma, terkadang diikuti oleh adanya neutrofil, eusinofil, dan oedema pada serat kolagen. Temuan lesi ini mengindikasikan inflamasi yang bersifat kronis. Infiltrasi sel radang juga terlihat pada bagian dermis dan stratum spinosum kulit. Pada pengamatan terlihat adanya dilatasi dari folikel rambut dan juga hiperkeratinasi. Dilatasi folikel rambut dapat menyebabkan bentuk folikel tidak beraturan dan berbeda dari bentuk normalnya (Monesh et al, 2019). Temuan lesi-lesi ini mengindikasikan inflamasi yang bersifat kronis. Pasca pemberian terapi, pengamatan dari preparat histopatologi kulit menunjukkan hasil yang baik dengan tidak lagi ditemukannya
potongan eksoskeleton tungau, infiltrasi sel radang pada folikel dan lapisan dermis yang berkurang, dan folikel rambut kembali pada kondisi yang normal.
Prognosis dan pemilihan pengobatan pada kejadian demodekosis berbeda-beda tergantung pada bentuk penyakitnya. Prognosis dibuat dengan memperkirakan peluang kesembuhan optimal jika suatu protokol pengobatan atau jenis obat akan diinisiasikan, memperkirakan lama kesembuhan, intensitas penyakit berupa keterulangan atau kekambuhan penyakit (Widodo et al, 2011). Prognosis pada kasus ini adalah fausta. Tingkat kesembuhan yang dilaporkan untuk demodekosis umum pada hewan muda adalah 70-80% (Mueller, 2004).
Perawatan demodekosis yang direkomendasikan secara resmi di berbagai negara dapat berupa penggunaan amitraz mingguan atau dua mingguan, aplikasi moxidectin secara spot-on setiap minggu dikombinasikan dengan imidacloprid, dan pemberian milbemycin oxime setiap hari secara oral. Kelompok senyawa makrosiklik lakton memberikan berbagai tingkat efektivitas terhadap tungau Demodex. Penggunaan makrosiklik lakton pada dosis tinggi sering mengakibatkan reaksi yang merugikan (Becskei et al., 2018). Obat-obat yang tersedia untuk pengobatan demodekosis seperti amitraz, ivermectin, milbemycin oxime, dan moxidectin pada umumnya diberikan beberapa kali untuk periode tiga bulan atau lebih. Agar efektif, pengobatan tersebut membutuhkan kepatuhan pemilik untuk melakukan pengobatan selama periode waktu yang lama. Masalah yang sering dihadapi dengan pengobatan demodekosis pada anjing adalah ketidakmampuan untuk memastikan bahwa anjing benar-benar bebas dari tungau setelah menyelesaikan pengobatan dan beberapa bulan kemudian terjadi infeksi kembali setelah pengobatan yang awal dianggap berhasil (Fourie et al., 2015). Penghentian pengobatan oleh pemilik sebelum waktunya merupakan penyebab utama kegagalan. Tanda-tanda
klinis sering membaik sebelum terjadinya penyembuhan secara parasitologis, sehingga pemilik harus memahami perlunya tindak lanjut pengobatan yang dijadwalkan secara teratur untuk memastikan hasil yang maksimal (Singh et al., 2011). Karenanya pengobatan
demodekosis sering membuat frustrasi bagi pemilik anjing dan juga bagi dokter hewan yang menangani.
Beberapa peneliti telah melaporkan kemanjuran dari isoxazoline yang diberikan secara oral untuk pengobatan demodekosis pada anjing. Selain kemudahan dalam pemberiannya,
kelebihan isoxazoline yang merupakan antiparasit sistemik adalah kepastian menjangkau seluruh tubuh, yang memiliki kepentingan khusus pada anjing berambut panjang. Kejadian buruk akibat penggunaan isoxazoline belum pernah dilaporkan selama perawatan demodekosis pada anjing (Becskei et al., 2018).
Afoxolaner merupakan obat yang termasuk kedalam golongan isoxazoline.
Afoxolaner (Nexgard®; Merial, Inc., Du luth, Georgia, USA) adalah anggota lain dari
keluarga isoxazoline yang baru diperkenalkan dengan kerja mengikat saluran ion klorida dari arthropoda menghambat aktivitas asam -aminobutirat (GABA) dan L-glutamat. Waktu paruhnya yang panjang memungkinkan afoxolaner menyebabkan kematian serangga dan askarin (Fourie et al, 2015). Afoxolaner saat ini disetujui di Amerika Serikat oleh Food and Drug Administration (FDA), dan telah digunakan dalam praktik klinis untuk lebih banyak dari 1 tahun untuk pengobatan dan pencegahan infestasi kutu (Ctenocephalides felis), dan pengobatan dan pengendalian kutu kaki hitam (Ixodes scapularis), kutu anjing Amerika (Dermacentor variabilis), lone star tick (Amblyomma americanum), dan kutu anjing coklat (Rhipicephalus sanguin eus). Di antara isoksazolin yang lain, kemanjuran afoxolaner melawan D. canis telah dibuktikan dalam satu penelitian
laboratorium dengan melibatkan hewan yang terinfestasi secara alami di Afrika Selatan. Dalam penelitian ini, afoxolaner diberikan pada interval hampir setiap bulan selama tiga bulan menunjukkan pengurangan > 99% dalam jumlah tungau.
Berdasarkan keuntungan penggunaan isoxazoline sebagaimana dilaporkan oleh para peneliti, maka anjing kasus diobati dengan salah satu derivat isoxazoline, yaitu afoxolaner. Anjing kasus diberikan satu tablet kunyah afoxolaner (NexGard™) dengan dosis anjuran satu tablet kunyah (28 mg) untuk anjing dengan bobot >4-10 kgBB sekali pemberian selama terapi. Anjing kasus juga diberikan chlorfeniramin maleat sebagai antihistamin dua kali sehari, Azithromycin Dihydrate sebagai antibiotika sehari sekali, Vitamin B-Kompleks (Wonder B Complex®) diinjeksikan satu hari sekali, serta dimandikan dengan shampoo yang mengandung Benzoyl Peroksida sebanyak 2 kali selama pengobatan dan pengamatan berlangsung.
Azithromycin Dihydrate merupakan antibiotika golongan makrolida yang berspektrum luas, sehingga mampu untuk mengatasi berbagai jenis infeksi baik oleh bakteri gram negatif maupun positif. Cara kerja dari antibiotika ini adalah dengan berikatan pada ribosom subunit 50’S sehingga mengganggu sintesis protein bakteri. Chlorpheniramin maleat (CTM) digunakan untuk meredakan gejala kegatalan dan kemerahan yang terjadi pada kulit dengan cara menghambat kerja histamin. Pengobatan suportif yang diberikan ialah vitamin B Kompleks yang berfungsi untuk meningkatkan fungsi metabolisme dari tubuh anjing.
Evaluasi terhadap keberhasilan pengobatan dilakukan pada hari ke-4 dan ke-10 pasca pemberian obat dengan pemeriksaan klinis, kerokan kulit dan hematologi rutin. Pengamatan pada hari ke-4 dilakukan karena secara makroskopis sudah terlihat adanya perkembangan pada lesi. Pengamatan kembali dilakukan pada hari ke-10 saat lesi pustula, eritema,
krusta, dan scale sudah tidak ditemukan dan beberapa lokasi alopesia sudah ditumbuhi dengan rambut. Secara klinis, pada hari ke-4 pasca pemberian obat, terlihat lesi basah pada kulit dan eritema sudah mulai berkurang (Gambar 7). Pada pemeriksaan kerokan kulit di hari ke-4 masih ditemukan tungau Demodex sp. tetapi jumlahnya dalam satu lapang pandang sudah berkurang dibandingkan dengan sebelum pemberian obat (Gambar 8). Pada hari ke-10 terlihat lesi pada kulit sudah mulai hilang dan rambut sudah mulai tumbuh pada beberapa bagian (Gambar 9). Pemeriksaan kerokan kulit yang dilakukan pada hari ke-10 pasca pemberian obat menunjukkan tungau Demodex sp. jumlahnya hanya satu ekor dalam satu lapang pandang (Gambar 9). Hasil pengamatan dari histopatologi kulit pada hari ke-10 menunjukkan perkembangan yang baik pada lapisan kulit serta folikel rambut (Gambar 10).
SIMPULAN DAN SARAN
Simpulan
Berdasarkan anamnesis, pemeriksaan klinis, dan laboratorium, anjing kasus didiagnosis menderita demodekosis, dengan prognosis fausta. Terapi dengan Afoxolaner (NexGard™), memberikan hasil yang baik, pada hari ke-10. Pada hari ke-10 lesi yang ditemukan sudah jauh lebih baik dibandingkan dengan hari pertama, hal tersebut sejalan dengan berkurangnya agen tungau Demodex sp. yang teramati dari kerokan kulit serta pengamatan histopatologi kulit yang menunjukkan adanya perkembangan, ditandai dengan kondisi folikel rambut yang sudah kembali normal, tidak ditemukan adanya potongan melintang maupun membujur dari eksoskeleton tungau, serta tidak ditemukannya infiltrasi sel radang pada lapisan dan bagian kulit.
Saran
Kepada pemilik disarankan untuk menjaga anjingnya supaya tidak kontak dengan anjing lain agar tidak terjadi
infeksi parasit berulang. Menjaga daya tahan tubuh anjing agar tetap prima, dikarenakan tungau yang awalnya merupakan flora normal akan menjadi patogen ketika keadaan tubuh sedang menurun. Pemberian Afoxolaner
sebagiknya diulang tepat 1 bulan setelah pemberian pertama sampai tiga bulan untuk menghilangkan tungau secara menyeluruh.
UCAPAN TERIMAKASIH
Terima kasih penulis ucapkan kepada pemilik anjing kasus, Kepala
Laboratorium Ilmu Penyakit Dalam Veteriner, Fakultas Kedokteran Hewan, Universitas Udayana atas ijin penggunaan fasilitas sehingga pemeriksaan dan penanganan anjing kasus dapat dilaksanakan dengan baik, serta semua pihak yang telah membantu.
DAFTAR PUSTAKA
Becskei C, Cuppens O, Mahabir SP. 2018. Efficacy and safety of sarolaner against generalized demodicosis in dogs in European countries: a non-inferiority study. Vet. Dermatol. 29: 203-e72.
Beugnet F, Halos L, Larsen D, de Vos C.
2016. Efficacy of oral afoxolaner for the treatment of canine generalised demodicosis. Parasite. 23: 14.
Fourie J, Liebenberg L, Horak I, Taenzler J, Heckeroth A, Frénais R. 2015. Efficacy of orally administered fluralaner (BravectoTM) or topically applied imidacloprid/moxidectin
(Advocate) against generalized
demodicosis in dogs. Parasites Vectors. 8: 187.
Futagawa-Saito K, William BT, Naomi S, Tsuguaki F. 2006. Prevalence of
virulence factors in Staphylococcus
intermedius isolates from dogs and pigeons. BMC Vet. Res. 2: 4.
Gasparetto ND, Bezerra K, Soares LMC, Makino H, Oliveira ACS, Colodel EM, Almeida ABPF, Sousa VRF. 2018. Aspectos clínicos e histológicos da
demodicose canina localizada e generalizada. Pesquisa Vet. Brasileira. 38(3): 496-501.
Gortel K. 2006. Update on canine demodicosis. Vet. Clin. Small Anim. 36(1): 229-241.
Halos L, Lebon W, Chalvet-Monfray K, Larsen D, Beugnet F. 2014. Immediate efficacy and persistent speed of kill of a novel oral formulation of afoxolaner (NexGard) against induced infestations with Ixodes ricinus ticks. Parasites Vectors. 7: 452.
Joanna N, Izdebska. 2010. Demodex sp. and demodicosis in dogs:
characteristics, symptoms, occurrence. Bull. Vet. 54: 335-338.
Moneesh Thakur, Hriyadesh Prasad, Arya RS, Singh YD, Jayappa Kiran, Abhijit Deka, Kalyan Sarma, Albert Debbarma, Arindam Bhowmik, Prasenjit Debnath. 2019. Histopathological changes in canine demodicosis. Int. J. Curr. Microbiol. App. Sci. 8(03): 2176-2179.
Mueller RS. 2004. Treatment protocols for demodicosis: an evidence-based review. Vet. Dermatol. 15(2): 75-89.
Mueller RS, Bensignor E, Ferrer L, Holm B, Lemarie S, Paradis M, Shipstone MA. 2012. Treatment of demodicosis in dogs: 2011 clinical practice guideliner. Vet. Dermatol. 23(2): 86-e21.
Perego R, Spada E, Foppa C, Proverbio D. 2019. Critically appraised topic for the most effective and safe treatment for canine generalized demodicosis. BMC Vet. Res. 15(1): 17.
Rafdinal I, Amirudin, Azmilia N, Zuraidawati, Sayuti A, Zuhrawati, Daud R. 2016. Perbedaan jumlah leukosit setelah transplantasi kulit secara autograft dan isograft pada anjing lokal (Canis lupus familiaris). J. Med. Vet. 10(2): 144-146.
Rather PA, Hassan I. 2014. Human demodex mite: the versatile mite of dermatological importance. Indian J. Dermatol. 59(1): 60-66.
Sivajothi S, Reddy BS, Rayulu VC. 2015. Demodicosis caused by Demodex canis
and Demodex cornei in dogs. J. Parasit. Dis. 39(4): 673-676.
Scott DW, Miller WM, Griffin CE. 2001. Parasitic skin diseases. In: Di
Berardino, C., editors. Muller and Kirk’s Small Animal Dermatology. 6th ed. W.B. Saunders Company, Philadelphia, PA. Pp. 423-516.
Shoop WL, Hartline EJ, Gould BR, Waddell ME, McDowell RG, Kinney JB, Lahm GP, Long JK, Xu M, Wagerle T, Jones GS, Dietrich RF, Cordova D, Schroeder ME, Rhoades DF, Benner EA, Confalone PN. 2014. Discovery and mode of action of afoxolaner, a
new isoxazoline parasiticide for dogs. Vet. Parasitol. 201: 179-189.
Singh SK, Kumar M, Jadhav RK, Saxena SK. 2011. An update on therapeutic management of canine demodicosis. Vet. World. 4: 41-44.
Solanki JB, Hasnani JJ, Panchal KM, Naurial DS, Patel PV. 2011. Histopathological changes in canine demodicosis. Haryana Vet. 50: 57-60.
Widodo S, Sajuthi D, Choliq C, Wijaya A, Wulansari R. 2011. Diagnostik klinik hewan kecil. Edisi Pertama. Bogor. IPB Press. Pp. 10-62.
Tabel 1. Hasil pemeriksaan hematologi rutin anjing terinfeksi tungau Demodex sp.
Hematologi |
Hasil |
Nilai Normal |
Keterangan |
WBC (109 /L) |
25,9 |
6,0-15,0 |
Tinggi |
Lymphocyte (109 /L) |
1,2 |
1,00-4,8 |
Normal |
Monocyte (109 /L) |
0,3 |
0,3-1,5 |
Normal |
Granulocytes (109 /L) |
17,3 |
6,2-14,8 |
Tinggi |
RBC (1012/L) |
3,68 |
5,50-8,50 |
Rendah |
HGB (g/dL) |
6,8 |
12,0-18,0 |
Rendah |
MCV (fL) |
72,7 |
60-77 |
Normal |
MCH (pg) |
22,3 |
14-25 |
Normal |
MCHC (g/dL) |
31,7 |
31-36 |
Normal |
HCT (%) |
40 |
37-55 |
Normal |
PLT (109 /l) |
182 |
165-500 |
Normal |
Keterangan: WBC = White Blood Cell; RBC = Red blood cells, HGB = hemoglobin; MCV=Mean Corpuscular Volume; HCT= Hematokrit; MCHC = Mean corpuscular hemoglobin concentration; PLT = Platelet *) Sumber: Jain (1993).

Gambar 1. Kerontokan rambut di seluruh bagian tubuh (A); Pustula, eritema, dan krusta di bagian medial ekstremitas kranial (B).

Gambar 2. Hasil pemeriksaan sampel kerokan kulit mendalam (Deep Skin Scraping) ditemukan tungau Demodex sp. (tanda panah).

Gambar 3. Terlihat adanya potongan Demodex sp. pada folikel rambut kulit (A). Furunkulosis (B). Pewarnaan HE (Hematoxylin - Eosin).

Gambar 4. Infiltrasi sel radang pada lapisan Stratum Spinosum (A) Nekrosis disertai eksudat hemorrhagis (B). Pewarnaan HE.

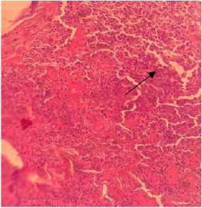
Gambar 5. Infiltrasi sel radang pada lapisan dermis kulit

Gambar 6. Folikel rambut mengalami dilatasi/ekstasia (A) Potongan melintang eksoskeleton kitin tungau yang bersifat eosinofilik (B) Perifolikulitis dengan infiltrasi sel radang (C).
Pewarnaan HE, Perbesaran 100x
756
Discussion and feedback