The Analysis of Clinical sign, Mortality and Histopathology of Cantang Grouper Infected with VNN in Recirculating Aquaculture System
on
Advances in Tropical Biodiversity and
Environmental Sciences
6(3): 67-71, October, 2022
e-ISSN:2622-0628
DOI: 10.24843/ATBES.2022.v06.i03.p01
Available online at: https://ojs.unud.ac.id/index.php/ATBES/article/view/88118
The Analysis of Clinical sign, Mortality and Histopathology of Cantang Grouper Infected with VNN in Recirculating Aquaculture System
Ni Putu Nadya Susanti1, Kadek Lila Antara1, Ketut Mahardika2 and Gede Iwan Setiabudi1
-
1 Departement of Aquaculture, Faculty of Mathematics and Sains, Ganesha of Education University Jl. Udayana No. 11, Banjar Tegal, Singaraja, Kabupaten Buleleng, Bali
-
2 Pusat Riset Perikanan, Organisasi Riset Kebumian dan Maritim, Badan Riset dan Inovasi Nasional Cibinong, Jawa Barat
*Corresponding author: nadya@undiksha.ac.id
Abstract. Hybrid grouper is a variety of grouper that has become increasingly popular in recent years. The development of grouper cultured in Indonesia utilizing the Recirculating Aquaculture System (RAS) is currently underway; nevertheless, fish cultured in the RAS system continue to struggle with infectious diseases, one of which is VNN (viral nervous necrosis) infection caused by piscine betanodavirus. The purpose of this study was to know of the clinical sign, mortality and histopathology of cantang grouper (Epinephelus fuscoguttatus x E. lanceolatus) infected with VNN in RAS. Fish samples were obtained from hatchery using RAS. This research uses a mixed methods approach and the type of research used is exploratory research. Parameters observed were clinical signs, mortality and histopathology. Water quality, including temperature, DO, salinity and pH at the time of VNN infection, was used as secondary data. The results showed that clinical signs of sick fish were weakness, staying at the bottom of the rearing tank, decreased appetite, swimming with the stomach facing up and the body dark in color. Fish mortality occurred for ± 10 days with a peak of mortality reaching 26.86 ± 7.45% on day 9 from initial signs. Histopathology result, diseased fish showed vacuolization in the brain and retina of the eye.
Keywords. Cantang grouper; Recirculating Aquaculture System (RAS); VNN
-
I. INTRODUCTION
Grouper is one of the important marine fishery commodities because it has a high selling price and demand, especially in the Asian market. The high demand for grouper has an impact on increasing the interest of farmers to cultivate this commodity[1]. Hybrid grouper is more widely cultivated nowdays. One of the most widely cultivated hybrid groupers is cantang grouper which is the result of hybridization between female Brown-marbled grouper (Epinephelus fuscoguttatus) and male Giant grouper (E. lanceolatus) [2].
Breeding and rearing of these fish have been widely carried out in hatcheries and floating net cages [3]. Grouper cultivation, especially at the hatchery, is carried out using flow through system. This system has an impact on decreasing the quality of the surrounding aquatic environment. Therefore the application of an environmentally friendly aquaculture system is needed to minimize the impact on environmental pollution.
Recirculating Aquaculture System (RAS) is an alternative system for fish farming by improving water quality and reusing rearing water [4].
Cultivation using RAS in Indonesia is currently being developed and is quite widely used in several aquaculture commodities such as cantang grouper. However, cultivation activities using RAS are still constrained by the presence of diseases that can cause mass mortality, which also can reduce production and cause significant losses. Several microorganisms such as parasites, bacteria, fungi, and viruses can cause disease in fish cultured in RAS if the fish source used is unhealthy and unfree from the disease [5]. Viral infection of the piscine betanodavirus as the cause of viral nervous necrosis (VNN) often causes mass mortality in grouper and barramundi culture, especially in the larval to juvenile stages [6], [7].
The presence of VNN infection in cantang grouper cultivated in RAS can cause significant losses. Cases of VNN infection in cantang grouper cultivated in RAS in Indonesia have not been reported yet, therefore this study
was conducted to obtain information on the clinical sign, mortality and histopathology of cantang grouper infected with VNN in RAS.
-
II. METHODS
-
A. Research sites
This research was conducted in grouper cultivation sites using RAS located in North Bali and at Pathology Laboratory of Institute for Mariculture Research and Fishes Extension, Gondol, Buleleng, Bali.
-
B. Method in Research
This research uses a mixed methods approach. This method is a combination of qualitative and quantitative approaches, mixed method is used because in this research two types of data were used, qualitative data were clinical sign and histopathology, and quantitative data were mortality. The type of research used is exploratory research.
-
C. Fish sample
The samples were obtained from grouper cultivation sites using RAS. Cantang grouper infected with VNN from the cultivation site was 11-15 cm (average 13.25 ± 1.47 cm) and weight 24-74 g (average 45.8 ± 14.18g). The samples taken were 10 cantang groupers weak condition and recently dead. The fish samples then fixed in 10% formalin solution.
Based on RT-PCR test that has been carried out at Balai Perikanan Budidaya Air Payau, Situbondo, East Java. Cantang grouper cultivated in RAS was declared positive for VNN with a CT value of 34.08 (data not shown).
-
D. Clinical sign observation
The observation of clinical signs of cantang grouper infected with VNN in RAS was carried out in fish rearing tanks. The observation was carried out on the movement of fish and body condition.
-
E. Ectoparasite examination
Ectoparasite examination was carried out on 5 fish that were almost dead or fish that had recently died. The fish samples were placed in trays that had been sterilized with 70% alcohol. The surface of the body of fish was scraped using a cover glass and placed on an object glass that has been dropped with sterile seawater, the gill was cut and placed on top of another object glass that had been dripped with sterile seawater, then observed under a microscope.
-
F. Mortality
Mortality was calculated by counting the number of fish that died each day from the first occurrence of death until recovery. Mortality was carried out on 7 rearing tanks
in one RAS system. Mortality calculated using the formula:
Number of death
Mortality =
Number of stock
x 100%
-
G. Histopathology
Histopathology is science that examines abnormal changes that occur in cells or tissues that are used to diagnose disease [8]. Histopathology was carried out at Pathology Laboratory of BBRBLPP, Gondol. The eye and brain of cantang grouper were fixed in 10% formalin. The eye and brain were then put into Bouin's solution for 24 hours to decalcify the eye organs. The histopathology procedure was carried out based on [9]. Histophatological slide of the eye and brain were then observed under a microscope at 10-400x magnification.
-
H. Measurement Water quality
Measurement water quality was carried out during the event of death due to VNN infection. The measured water quality includes: temperature, DO, salinity and pH.
-
I. Data analysis
This study used qualitative and quantitative descriptive analysis. Qualitative descriptive analysis was used to describe the observation of clinical sign and histopathology of the Cantang grouper. Quantitative descriptive analysis was used to describe the mortality of the cantang grouper. The data in this study will be presented in the form of figures and tables.
-
III. RESULTS AND DISCUSSION
-
A. Clinical sign
Initial observations of cantang grouper in several tanks in one RAS system showed clinical signs of decreased appetite which was indicated by the movement of fish that were less active in looking for food when given commercial pellets in the morning, afternoon, and evening. The amount of feed previously weighed for one feeding becomes left over. The fish’s appetite decreases further the next day followed by the clinical sign of the fish becoming weak, blackish body color. Ectoparasites examination conducted after the incident showed that no ectoparasites were found in the mucous scrapings of the skin or fish gills.
After 5-7 days from the post-appearance of clinical sign, some fish swim abnormally or undirectly and there are fish swimming with the stomach facing up (Figure 1A-C). Most of the fish do not want to eat and stay at the bottom of the tank. The clinical sign found in cantang grouper cultivated in RAS were the same as the clinical sign of grouper infected with VNN reported by Koesharyani et al. [6] further reported that fish with an enlarged abdomen that swims upside down and floats near
the surface of the water is caused by enlarged swim bladders. Fish with a large abdomen can survive several days without eating before finally dying. Meanwhile, the fish that stay at the bottom of the tank will also die.
The same clinical sign was also reported by Yanong [10], stating that fish infected with VNN showed abnormal swimming behavior, including vertical and rotating positions; flexing the body, and muscle tremors. Similar clinical signs were also reported by Yuwanita et al. [11] cantang grouper infected with VNN showed signs of reduced appetite, passive fish at the bottom of the water, swimming in circles at the bottom, and dark body color.
According to Amelia & Prayitno [12] VNN infects nerves in the brain so that movement becomes abnormal. This caused the fish to be unable to maintain balance when swimming in the water and have no appetite. Fish infected with VNN experience a decrease in appetite because it is influenced by stress factors so the nervous response that works to increase the immune system experiences physiological disturbances [11]. Changes in the body color of fish infected with VNN to dark or pale indicate that the fish are under stress [13].

Figure 1. Clinical sign of cantang grouper infected with VNN. A). Dead fish with a paler body color, B). Groupers that experience changes in body color to darken, and C). Fish that swim upside down (source: personal documentation).
-
B. Mortality
The mortality caused by VNN infection in cantang grouper in RAS lasted for ten days. The mortality spikes on the fifth day reaching 10.96%. Fish mortality continued with a decrease in numbers until it reached total mortality of 26.86±7.45% until the 9th day. Fish mortality was not observed again on day 10.
Cantang groupers that survived were removed from RAS and exterminated. Furthermore, the room and all equipment used including tank and RAS components are washed, disinfected, and the room is isolated to prevent the spread of the virus to other RAS systems. When mortality from VNN does not reach 100%, the fish that survived must be extermined, cultivating fish that survive from VNN infection is very risky because these fish can become carriers of the virus [14].
During the occurrence of VNN infection, every day the fish that show clinical signs, moribund, and recently died are immediately removed from the tank to prevent the spread of the virus, and to reduce the mortality. In addition, to reduce mortality, a replacement of maintenance water is carried out. Fish mortality caused by Betanodavirus varies depending on the health status of the fish and water conditions [15]. Poor water conditions can lead to the death of more fish. Mortality from VNN infection varies from 10% to 100% depending on the age of the infected fish and water temperature [16].

Figure 2. Graph of mortality of cantang grouper infected with VNN in RAS.
-
C. Histopathology
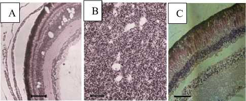
Histopathology results of the eyes and brains of cantang grouper that were positively infected VNN based on the RT-PCR results (data not shown) showed cell necrosis and vacuolation (Figure 2 A&B). These results are in accordance with the histopathological that previously reported by Prihartini [17] the fish that infected show a state of nervous disorders with the formation of vacuolization in the brain and retina.
According to Yuwanita et al. [18] brain tissue, spinal cord, and retina of the eye are the target organs of the virus that causes VNN, where in these organs the virus replicates and causes vacuolation of tissue cells.
Rahmawanti et al. [19] reported that VNN infection in cantang grouper caused changes in cell shape and size. Cell damage (necrosis) in the brain causes cells to disintegrate and remain as empty spaces or also known as vacuolization. According to Khumaidi et al. [20], vacuolization of tissue causes the weakening of nerve function in the brain and eyes of the fish, so that the fish swim abnormally, and do not respond to movement in the water, and the feed given and finally death.
Cantang grouper that was not infected with VNN in other RAS systems was not found to have vacuolation in the eyes and brain (Fig. 2C). These results indicate that the characteristic of changes in the eye and brain tissue of grouper infected with VNN is the presence of vacuolation.

Figure 3. Histopathology of cantang grouper infected with VNN. A) The retina of the eye showed vacuolation (scale bar=50µm). B) Brain tissue containing vacuoles (sb=50 µm) and C) The retina of the eye that was not infected with VNN (sb=50µm) (source: personal documentation).
-
D. Measurement Water Quality
The results measurement of water quality during VNN infection in the RAS system according to SNI 8036.2 [21] is still in the appropriate category for grouper cultivation (Table 1). But on the other hand, the temperature range of 28-32ºC supports the spread of VNN and causes 90-100% mortality in cantang groupers reared in several hatcheries [20]. Furthermore, Zorriehzahra et al. [22] also stated that betanodavirus can infect fish at a temperature range of 16-30ºC. This supports the spread of the virus in the same cultivation system and affects mortality. The VNN virus is able to survive at a temperature range of 22-34ºC for 8 hours which is indicated by sick fish or moribund (2060%) after being injected with the virus inoculum [23]. It was further reported that the development of the VNN virus would decrease at a temperature of 35°C which was indicated by a decrease in mortality [24].
From the research results of Ariff et al. [25] salinity does not affect the virus that causes VNN. There are no previous studies have reported that water pH, and high DO are supporting factors for VNN infection.
Water quality is one of the factors that must be considered in cultivation. Poor water conditions, stress due to stocking density and high rearing water temperatures support the occurrence of VNN infection [26]. Temperature is also a major factor influencing the horizontal transmission of the virus [27]. The entry of VNN into RAS is suspected to be caused by the presence of fish seeds carrying the VNN virus, then stress and environmental condition triggered VNN infection in RAS.
-
IV. CONCLUSION
VNN infection in cantang grouper cultivated in RAS has high rate of mortality up to 26.86±7.45% for 10 days. The virus spreads rapidly which is indicated by clinical sign of decreased appetite, fish become weak, staying at the bottom of the rearing tank, abnormal swimming, dark body color and caused rapid mortality. Histopathology showed vacuolation in the brain and eye. To prevent the occurrence of disease, the use of fish seeds that are free from disease is necessary for fish farming within RAS.
TABLE 1.
MEASUREMENT WATER QUALITY
|
Parameters |
Water quality during VNN infection |
Water quality according to SNI 8036.2 |
|
Temperature |
28,80ºC – 32,30ºC |
28 ºC-32 ºC |
|
DO |
4,76 – 6, 22 |
>4 ppm |
|
Salinity |
32-33 |
24-33 ppt |
|
pH |
7,19 – 8,06 |
7,5-8,5 |
ACKNOWLEDGMENT
Author would like to thank to researchers and engineering technicians at the Pathology Laboratory of Institute for Mariculture Research and Fishes Extension, Gondol, who have guided, assisted, and provided research facilities.
REFERENCES
-
[1] A. A. Ningsih, A. Setyawan, and S. Hudaidah,
“Identification of Parasites in Grouper (Epinephelus sp.) After the Occurrence of Harmful Algal Blooms (HABs) at Ringgung Beach, Pesawaran Regency,” e-Jurnal Rekayasa dan Teknol. Budid. Perair., vol. 4, no. 2, pp. 479–484, 2016.
-
[2] A. N. Rochmad, “Rearing Technique of Cantang
Hybrid Grouper (Epinephelus fuscoguttatus × Epinephelus lanceolatus) in Floating Net Cages,” J. Biosains Pascasarj., vol. 22, no. 1, pp. 29–36, 2020.
-
[3] M. Ansari and K. M. A. Sudewa, “Black Spots on
the Body Surface of Cantang Hybrid Grouper,” Bul. Tek. Litkayasa Akuakultur, vol. 18, no. 2, p. 145-147, 2020.
-
[4] B. D. H. Setyono, Muhammad Junaidi, Andre
Rachmat Scabra, and Hendri Kaswadi, “Improvement of Environmental Quality in Tilapia Cultivation in Sokong Village, Tanjung District, North Lombok Regency,” J. Pengabdi. Perikan. Indones., vol. 1, pp. 69–76, 2021.
-
[5] R. P. E. Yanong, “Fish Health Management
Considerations in Recirculating Aquaculture systems - Part 2 : Pathogens,” IFAS Ext., 2012.
-
[6] I. Koesharyani, D. Roza, K. Mahardika, F. Johnny,
K. Yuasa, and Zafran, Manual for fish disease diagnosis - II. Gondol: KKP-Direktorat Jenderal Perikanan Budidaya, 2001.
-
[7] Z. Zafran, T. Harada, I. K. I. Koesharyan, K.
Yuasa, and K. Hatai, “Indonesian Hatchery Reared Seasbass Larvae (Lates calcarifer), Associated with Viral Nervous Necrosis (VNN),” J. Penelit. Perikan. Indones., vol. 10, 1998.
-
[8] I. A. N. S. Utami, A. A. A. Ciptojoyo, and N. N.
Wiadnyana, “Gill Histopathology of Siamese
Catfish (Pangasius hypophthalmus) Infested with Monogenean Trematodes,” Media Akuakultur, vol. 12, no. 1, p. 35, 2017.
-
[9] H. C. Pratiwi and A. Manan, “Basic Histology
Technique Of Gouramy Fish (Osphronemus gouramy),” J. Ilm. Perikan. dan Kelaut., vol. 7, pp. 153–158, 2015.
-
[10] R. P. E. Yanong, “Viral Nervous Necrosis ( Betanodavirus ) Infections in Fish,” IFAS Ext., pp. 1–6, 2019.
-
[11] R. Yuwanita, N. R. Buwono, and H. F. E. Putra, “Effect of Dunaliella Salina on
Polymorphonuclear Leukocytes of Cantang Grouper (Epinephelus lanceolatus) Infected with Viral Nervous Necrosis (VNN),” J. Ilm. Perikan. Dan Kelaut., vol. 10, no. 2, pp. 124–130, 2018.
-
[12] N. Amelia and S. B. Prayitno, “Effect of Guava Leaf Extract (Psidium guajava) to Inactivate Viral Nervous Necrosis (VNN) in Duck Grouper (Epinephelus fuscoguttatus),” J. Aquac. Manag. Technol., vol. 1, no. 1, pp. 264–278, 2012.
-
[13] P. E. Sudaryatma and A. T. Lestari, “Immunohistochemistry Pathogenicity of Viral Nervous Necrosis of Bali Field Isolates Infected in Cultivated Tiger Grouper,” Acta Vet. Indones., vol. 2, no. 2, pp. 54–61, 2014, doi:
10.29244/avi.2.2.54-61.
-
[14] F. Padrós, M. Caggiano, A. Toffan, M. Constenla, C. Zarza, and S. Ciulli, “Integrated Management Strategies for Viral Nervous Necrosis (VNN) Disease Control in Marine Fish Farming in the Mediterranean,” Pathogens, vol. 11, no. 3, p. 330, 2022.
-
[15] E. Juniar, K. Kurniasih, and B. Sumiarto, “Risk factors of a Viral Nervous Necrosis Disease in Grouper (Epinephelus spp.) Cultured in Bintan District, Indonesia,” Vet. World, vol. 11, no. 11, pp. 1558–1563, 2018.
-
[16] S. Zrnčić et al., “Transmission Pathways of the VNN Introduced in Croatian Marine Aquaculture,” Pathogens, vol. 11, no. 4, p. 418, 2022.
-
[17] N. C. Prihartini, “Pathognomic Distribution of Virulence VNN (Viral Nervous Necrotic) on Tilapia Seeds (Oreochromis sp.),” Samakia J. Ilmu Perikan., vol. 7, no. 2, pp. 51–56, 2016.
-
[18] R. Yuwanita, U. Yanuhar, and Hardoko, “Pathognomonic of Viral Nervous Necrotic (VNN) Virulence on Larvae of Humpback Grouper (Cromileptes altivelis),” Adv. Environ. Biol., vol. 7, no. 6, pp. 1074–1081, 2013.
-
[19] A. Rahmawanti, D. N. Setyowati, and A. Mukhlis, “Histopathological of Brain, Eye, Liver, Spleen Organs of Grouper Suspected VNN in Penyambuan Village, North Lombok,” J. Biol. Trop., vol. 21, no. 1, p. 140, 2021.
-
[20] A. Khumaidi, M. Fadjar, F. Iranawati, Y. Kilawati, and U. Yanuhar, “Mass Mortality Associated with Viral Nervous Necrosis of Hybrid Grouper (Epinephelus sp.) Cultured in City of Grouper,” AIP Conf. Proc., vol. 2120, no. July 2019, pp. 1– 8, 2019, doi: 10.1063/1.5115724.
-
[21] Standar Nasional Indonesia, “Indonesian National Standard Cantang Grouper (Epinephelus fuscoguttatus ,Forsskal 1775 >< Epinephelus
lanceolatus ,Bloch 1790) Part 2: Hybrid Seed Production,” Jakarta: BSN, 2014, p. 9.
-
[22] M. J. Zorriehzahra et al., “Impact of Viral Nervous Necrosis (VNN) Disease as a New Threat to Global Fisheries and Aquaculture Development, a Review,” Iran. J. Virol., vol. 13, no. 2, pp. 42–57, 2019.
-
[23] K. Mahardika, I. Mastuti, and S. Ismi, “Effect of Temperature and Inoculum Time of VNN on Pathogenicity of Beautiful Hybrid Grouper Seeds,” in Prosiding Seminar Nasional Perikanan Kelautan, 2016, vol. VI, no. A5, pp. 14–20.
-
[24] K. Yuasa, I. Koesharyani, and K. Mahardika, “Effect of high water temperature on betanodavirus infection of fingerling humpback grouper Cromileptes altivelis,” Fish Pathol., vol. 42, no. 4, pp. 219–221, 2007.
-
[25] N. Ariff, A. Abdullah, M. N. A. Azmai, N. Musa, and S. C. Zainathan, “Risk Factors Associated with Viral Nervous Necrosis in Hybrid Groupers in Malaysia and the High Similarity of its Causative Agent Nervous Necrosis Virus to Reassortant Red-Spotted Grouper Nervous Necrosis Virus/Striped Jack Nervous Necrosis Virus Strains,” Vet. World, vol. 12, no. 8, pp. 1273–1284, 2019.
-
[26] U. Yanuhar, D. T. Rahayu, M. Musa, and D. Arfiati, “The Identification of Plankton, Water Quality, Blood Cell, and Histology in Culture Pond of Tilapia Oreochromis Niloticus which Infected by Viral Nervous Necrosis (VNN),” IOP Conf. Ser. Earth Environ. Sci., vol. 137, no. 1, 2018.
-
[27] I. Bandín and S. Souto, “Betanodavirus and VER Disease : A 30-year,” Pathogens, vol. 9, pp. 1-46, 2020.
Discussion and feedback