PROFIL PASIEN PENYAKIT TROFOBLASTIK GESTASIONAL DI RSUP SANGLAH DENPASAR PERIODE 1 JANUARI 2017 SAMPAI 31 DESEMBER 2017
on
ISSN: 2597-8012 JURNAL MEDIKA UDAYANA, VOL. 8 NO.7,JULI, 2019
DOAJ≡F OsTnta
PROFIL PASIEN PENYAKIT TROFOBLASTIK GESTASIONAL DI RSUP
SANGLAH DENPASAR PERIODE 1 JANUARI 2017 SAMPAI 31
DESEMBER 2017
Abi Rafdi Azizi1, I Nyoman Bayu Mahendra2, Endang Sri Widiyanti2 1Program Studi Sarjana Kedokteran dan Profesi Dokter, Fakultas Kedokteran
Universitas Udayana, 2Departemen Obstetrik dan Ginekologi, Fakultas Kedokteran Universitas Udayana/ RSUP Sanglah
Email: abirafdiazizi97@gmail.com
ABSTRAK
Penyakit Trofoblastik Gestasional (PTG) adalah tumor yang dapat ditangani hingga tuntas sebelum mengalami metastase. Tujuan penelitian ini adalah mengidentifikasi karakteristik pasien PTG di RSUP Sanglah Denpasar periode 1 Januari 2017 sampai 31 Desember 2017. Penelitian ini bersifat deskriptif, retospektif. Pengambilan data dengan total sampling dan potong lintang menggunakan rekam medis pasien PTG tahun 2017. Hasil penelitian ini terdapat 11 kasus dengan kasus terbanyak pada rentang usia 21-30 tahun dengan 45,5%, kemudian 36,4% berasal dari luar Provinsi Bali, dan sebesar 72,7% adalah ibu rumah tangga 45,5% dengan tingkat pendidikan SMA/sederajat. Usia kawin terbanyak pada rentang usia 16-25 tahun dengan 54,6%, dan 45,5% dengan paritas satu kali. Sebanyak 81,8% dengan riwayat mola hidatidosa, kemudian 54,6% memiliki jarak kehamilan sebelumnya <4 bulan, lalu 72,7% dengan perdarahan pervaginam. Sebanyak 36,4% dengan kadar β-hCG <105 mIU/mL, kemudian 45,5% didiagnosis mola hidatidosa komplit dan 72,7% tidak ditemukan metastase dengan stadium I dan sebanyak 72,7% mendapatkan kemoterapi methotrexate.
Kata kunci: PTG, mola hidatidosa, serum β-hCG, penanganan, kemoterapi
ABSTRACT
Gestational Trophoblastic Disease (GTD) is a tumor that can resolve completely if metastase not yet occur. The aim of this study is to identify the characteristic of GTD patients in Sanglah General Hospital Denpasar during period of Januari 1st until December 31st 2017. This study conduct retrospective-descriptive cross sectional method and collected from patients with GTD in 2017 medical record with total sampling technique. This study consist of 11 cases of GTD, and 45.5% was on 21-30 group of age, 36.4% come from outside Bali, 72.7% as a housewife and 45.5% with highschool education level. The marriage age, 54.6% is in 16-25 age group and 45.4% have one previous parity. Hydatidiform Mole occur in most case, 81.8% and 54.6% have <4 months gap from previous pregnancy. Pervaginam haemorrhage is in 72.7% GTD. There are 36.4% patients have more than 105 mIU/mL of β-hCG serum level. Most patient diagnosed as complete mola hidatidosa, 45.5% and 72.7% with no metastase and categorized as stage 1 of GTD. Methotrexate as the most chosen therapy to treat the GTD in 72.7% cases.
Key words: GTD, hydatidiform mole, β-hCG serum, management, chemotherapy
Corresponding Author:
Bayu Mahendra, I N
Staff of Oncology-gynecology Division Sanglah General Hospital Denpasar, Bali, Indonesia
E-mail: bayu.mahendra.nyoman@gmail.com
DIRECTORY OF OPEN ACCESS JOURNALS
PENDAHULUAN
Penyakit Trofoblastik Gestasional (PTG) adalah penyakit yang didiagnosis secara klinis berupa tumor akibat adanya proliferasi yang abnormal dari jaringan trofoblas sehingga menyebabkan gangguan pada kehamilan atau gagalnya sebuah kehamilan. Penyakit ini umumnya diawali dengan kehamilan mola dan bisa berlanjut menjadi tumor yang bersifat benign, namun pada perjalananya bisa berubah menjadi tumor yang bersifat malignant dan menjadi lebih sulit untuk ditangani. Secara histopatologis PTG memiliki beberapa tipe yaitu kehamilan mola atau mola hidatidosa, mola invasif, choriocarcinoma, dan placental site trophoblastic tumor (PSTT).1 Prevalensi PTG di Thailand periode Juli 2013 sampai Mei 2014 ditemukan sebanyak 44 kasus, kemudian di kota Erbil di Irak dalalm periode Oktober 2008 sampai April 2009 ditemukan sebanyak 40 kasus dari 12.557 kehamilan yang ada.2,3 Sementara itu di RSUP Sanglah Denpasar pada tahun 2012 sampai 2014 diperoleh 19 kasus PTG.4
Riwayat kehamilan sebelumnya apakah kehamilan bersifat non-mola maupun mola hidatidosa juga memiliki peluang untuk menjadi PTG, namun wanita dengan riwayat mola hidatidosa memiliki risiko yang lebih tinggi untuk menjadi PTG dibandingkan dengan kehamilan non-mola.4 Riwayat keluarga dengan PTG juga sangat berpengaruh, berdasarkan penelitian yang dilakukan oleh Mojgan Karimi-Zarchi5 bahwa dari 150 sampel pasien PTG ditemukan 90,6% pasien memiliki riwayat keluarga dengan PTG. Diagnosis dapat ditegakkan apabila ada distorsi kurva regresi dari β-hCG sebelum minggu ke-12. Selain itu juga ada kenaikan kadar β-hCG setelah pernah mencapai kadar normal. Gejala klinis yang muncul menurut Acosta Sison adalah riwayat produk sisa konsepsi, perdarahan, dan pembesaran uterus. Jadi apabila ada wanita yang tidak pernah mengalami mola hidatidosa dapat dilihat dari gejala klinis seperti perdarahan pervaginam, nyeri perut bagian bawah, pembesaran uterus. Gejala tersebut yang timbul dapat menjadi acuan untuk menegakan diagnosis karena tidak dilakukannya pemeriksaan kadar β-hCG.6 Pemeriksaan laboratorium yang dapat dilakukan adalah pemeriksaan serum β-hCG
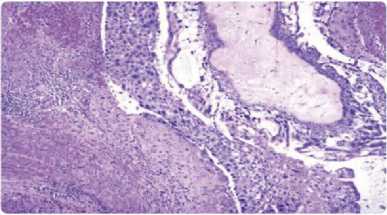
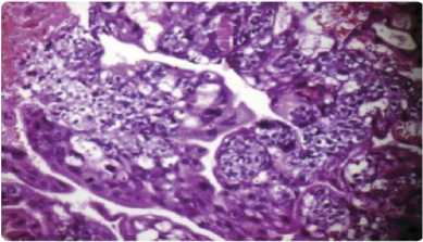
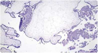
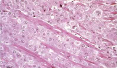
dalam darah. Kadar normal serum β-hCG adalah < 5 mIU/mL dalam darah bahkan bisa menyentuh angka 0 mIU/mL.7 Secara radiologis pasien PTG dapat dilakukan pemeriksaan USG pelvis untuk melihat apakah ada masa komplek yang disertai dengan adanya neovaskularisasi dan tampak seperti terdapat lubang-lubang pada plasenta dan biasanya tidak ditemukan keberadaan fetus (Gambar 1).6 Selain itu USG dapat menilai apakah ada metastase pada hati, ginjal dan daerah abdomen, CT-Scan dan MRI dapat menilai adanya metastase pada hati, otak, dan saluran gastrointestinal, dan foto toraks dapat dilakukan untuk menilai metastase pada paru-paru.8 Pemeriksaan histopatologi dapat dilakukan untuk mengetahui dengan pasti dari jenis PTG. Gambaran histopatologis dari mola hidatidosa komplit (Gambar 2) terdapat pembengkakan villi korionik serta hyperplasia cytotrophoblast dan syncytiotrophoblast yang menyebar, dan gambaran lain yang dapat dilihat adalah tidak adanya jaringan embrionik serta pembuluh darah pada villi. Gambaran histopatologis dari mola hidatidosa parsial (Gambar 3) terdapat pembengkakan villi korionik yang serta hyperplasia trophoblastic yang terfokus, selain itu juga terdapat jaringan embrionik, inklusi trofoblastik stromal dan adanya Scalloping of Chorionic Villi.1 Gambaran histopatologis dari mola invasif (Gambar 4) berupa perluasan jaringan molar, sampai menyelubungi trofoblas yang mengalami hyperplasia, sampai ke myometrium.6 Gambaran histopatologi dari choriocarcinoma (Gambar 5) adalah tumor malignant tanpa villi korionik, synsiotrofoblas dan sitotrofoblas yang abnormal,nekrosis, dan hemorrhage.9 Gambaran histopatologis PSTT (Gambar 6) adalah adanya mononuclear sel trofoblas tanpa adanya villi korionik pada lembaran antara serabut myometrial.6

Gambar 1. Gambaran Ultrasonografi pelvis dari mola hidatidosa
DIRECTORY OF OPEN ACCESS JOURNALS
Gambar 2. Gambaran histopatologis mola hidatidosa komplit

Gambar 3. Gambaran histopatologis mola hidatidosa parsial

Gambar 4. Gambaran histopatologis dari mola invasif

Gambar 6. Gambaran histopatologis dari PSTT
Setelah melalui proses diagnosis, stadium untuk PTG dikelompokan berdasarkan FIGO 2009 (Tabel 1) dibagi berdasarkan letak metastasis dari PTG.8
Tabel 1. Stadium TTG berdasarkan FIGO 2009
|
Stadium |
Kriteria |
|
I |
Tumor trofoblastik gestasional hanya pada korpus uterin |
|
II |
Mulai menyebar pada adnexae atau vagina, tapi terbatas hanya pada daerah genital |
|
III |
Mulai menyebar ke paru-paru |
|
IV |
Tempat lainnya mengalami metastase dengan atau tanpa metastasis pada paru-paru |
Terapi standar untuk mola hidatidosa adalah dengan melakukan suction curettage yang dilakukan dengan anestesi umum. Pada saat diagnosis mola hidatidosa telah ditegakkan maka perlu dilakukan evaluasi sebelum melakukan suction curettage, evaluasi dilakukan dengan tujuan untuk melihat ada atau tidaknya suatu komplikasi medis seperti anemia, preeclampsia, dan hipertiroidisme. Terapi lain yang mungkin dapat dilakukan adalah dengan melakukan histerektomi. Histerektomi merupakan tindakan alternatif dari suction curettage, namun histerektomi dapat dilakukan jika pasien tidak berencana untuk memiliki anak lagi.6
Gambar 5. Gambaran histopatologis choriocarcinoma
ISSN: 2597-8012 JURNAL MEDIKA UDAYANA, VOL. 8 NO.7,JULI, 2019
DOAJ= OsTnta
Tabel 2. FIGO/WHO scoring system based on prognostic factors
|
FIGO/WHO angka faktor dengan 0 1 stadium FIGO |
2 4 |
|
Usia <40 >40 |
- - |
|
Fase awal pada kehamilan Mola Abortus |
Term - |
|
Interval kehamilan terakhir sampai timbul <4 4-6 gejala klinis (bulan) |
7-12 >12 |
|
Tingkat β-hCG sebelum penanganan <103 >103-104 mIU/mL |
>104-105 >105 |
|
Ukuran tumor terbesar pada uterus, cm - 3-4 |
≥5 - |
|
Arah metastasis selain uterus Paru Limpa, ginjal |
Gastro Otak, intestinal hati |
|
Jumlah metastase yang teridentifikasi - 1-4 |
5-8 >8 |
|
Kemoterapi yang gagal sebelumnya - - |
Tunggal 2 agen atau lebih |
Tabel 3. Kemoterapi EMA-CO (Etoposide, Methotrexate, Actinomycin D, Cyclophosphamide, Vincristine)
Regimen
|
Hari ke-1 |
Etoposide |
100 mg/m2 melalui intra vena selama lebih dari 30 menit |
|
Actinomycin-D |
0,5 mg melalui intra vena | |
|
Methotrexate |
100 mg/m2 melalui intra vena 200 mg/m2 melalui intra vena lebih dari 12 jam | |
|
Hari ke-2 |
Etoposide |
100 mg/m2 melalui intra vena lebih dari 30 menit |
|
Actinomycin-D |
0,5 mg melalui intra vena | |
|
Folinic acid rescue |
15 mg melalui intra muskular atau secar oral setiap 12 jam untuk empat dosis (dimulai 24 jam setelah infusi methotrexate) | |
|
Hari ke-8 |
Cyclophosphamide |
600 mg/m2 melalui intra vena lebih dari 30 menit |
|
Vincristine |
1 mg/m2 melalui intra vena (maksimal 2 mg) |
Terapi yang diberikan kepada pasien TTG adalah kemoterapi dengan tujuan untuk mempertahankan fungsi reproduksi. Kemoterapi dalam kasus TTG harus berdasarkan FIGO/WHO Scoring System
Based on Prognostic Factors (Tabel 2) dan stadium TTG berdasarkan FIGO 2009 (Tabel 1) dengan catatan bahwa pasien dengan total skor < 7 digolongkan dalam TTG risiko rendah, sementara pasien dengan total skor ≥ 7
DIRECTORY OF OPEN ACCESS JOURNALS
Tabel 4. Kemoterapi EMA-EP (Etoposide, Methotrexate, Actinomycin D, Cisplatine)
Regimen
|
Hari ke-1 |
Etoposide |
100 mg/m2 melalui intra vena selama lebih dari 30 menit |
|
Actinomycin- |
0,5 mg melalui | |
|
D |
intra vena | |
|
Methotrexate |
100 mg/m2 melalui intra vena | |
|
200 mg/m2 melalui intra vena lebih dari 12 jam | ||
|
Hari |
Etoposide |
100 mg/m2 |
|
ke-2 |
melalui intra vena selama lebih dari 30 menit | |
|
Actinomycin- |
0,5 mg melalui | |
|
D |
intra vena | |
|
Folinic acid |
15 mg melalui intra | |
|
rescue |
muskular atau secar oral setiap 12 jam untuk empat dosis (dimulai 24 jam setelah infusi methotrexate) | |
|
Hari |
Cisplatin |
60 mg/m2 melalui |
|
ke-8 |
intra vena dengan prehidrasi | |
|
Etoposide |
100 mg/m2 dalam 200 mL saline IV selama lebih dari 30 menit |
digolongkan kedalam TTG risiko tinggi.10 Pasien dengan total skor < 7 dan dengan stadium I, II, dan III perlu diberikan kemoterapi Tunggal. Methotrexate 0,4 mg/kg (maksimal 25 mg) diberikan secara IV maupun IM setiap hari selama 5 hari merupakan seri kemoterapi methotrexate yang paling efektif dan seri ini dapat diulang setiap 14 hari.10 Alternatif dari kemoterapi seri methotrexate adalah dengan menaikkan dosis dari methotrexate menjadi 1
mg/kg diberikan secara IM pada hari ke-1, 3, 5, dan 7 dan ditambahkan kalsium leukoverin 0,1 mg/kg diberikan secara IM pada hari ke-2, 4, 6, dan 8, seri ini dapat diulang jika dibutuhkan dalam interval 15-18 hari.4 Selain itu, methotrexate dapat diberikan dengan dosis mingguan yaitu 30-50 mg/m2 yang diberikan secara IM.10 Pasien dengan total skor ≥ 7 dan stadium FIGO II, III, dan IV diberikan kemoterapi multiagen baik dengan atau tanpa radioterapi atau pembedahan. Kombinasi kemoterapi yang dapat digunakan adalah EMA-CO (Tabel 3). Kombinasi kemoterapi alternatif yang digunakan adalah EMA-EP (Tabel 4) apabila terjadi resistensi dari kombinasi kemoterapi EMA-CO. Kombinasi kemoterapi ini dapat diulang dalam interval 2 minggu.11
BAHAN DAN METODE
Rancangan penelitian ini bersifat deskriptif dengan pendekatan penelitian observasional yaitu potong lintang, dimana pengukuran dilakukan satu kali saja dalam satu waktu, tanpa diikuti follow up. Rancangan ini bertujuan untuk mendeskripsikan data sebagaimana adanya yaitu karakteristik pasien PTG yang ada di RSUP Sanglah Denpasar Periode 1 Januari 2017 sampai 31 Desember 2017. Penelitian ini dilaksanakan di bagian rekam medis Poliklinik Kebidanan dan Kandungan RSUP Sanglah Denpasar dengan kurun waktu 4 bulan, mulai Januari 2018 sampai April 2018. Alur penelitian dimulai dari perancangan tema, penyusunan proposal penelitian, pengumpulan data, pengolahan data dan analisis data serta penyusunan laporan hasil penelitian. Populasi target pada penelitian ini adalah pasien yang terdiagnosis PTG dan populasi terjangkau dari penelitian ini adalah Pasien yang terdiagnosis PTG di RSUP Sanglah Denpasar dalam periode 1 Januari 2017 sampai 31 Desember 2017. Sampel dalam penelitian ini adalah sebagian dari populasi terjangkau yang memenuhi kriteria inklusi dan tidak memenuhi kriteria eksklusi dengan cara pengambilan sampel menggunakan teknik total sampling. Data dianalisa sebagaimana mestinya dan disajikan dalam bentuk persentase frekuensi dari karakteristik pasien PTG yang diteliti dan dimasukan kedalam tabel hasil penelitian. Penelitian ini sudah mendapatkan Keterangan Kelaikan Etik
I . , Directoryof
OPEN ACCESS I √V )r J journals
Nomor: 315/UN.14.2/KEP/2018 tertanggal 12 Pebruari 2018.
HASIL
Total keseluruhan pasien PTG yang memenuhi kriteria inklusi dan tidak memenuhi kriteria eksklusi penelitian didapatkan 11 pasien yang terdiagnosis PTG di RSUP Sanglah Denpasar dalam periode 1 Januari 2017 sampai 31 Desember 2017. Pasien PTG yang diikutsertakan dalam penelitian ini mencakup pasien yang mendapat perawatan di RSUP Sanglah Denpasar dan pasien rujukan dari berbagai daerah baik dari dalam maupun luar Provinsi Bali.
Hasil penelitian (Tabel 5) menunjukan bahwa pasien PTG di RSUP Sanglah Denpasar berada pada usia yang bervariasi. Pasien PTG terbanyak berada pada rentang usia 21-30 tahun dengan jumlah 5 kasus (45,5%), lalu diikuti dengan rentang usia 31-40 tahun dengan jumlah 4 kasus (36,3%) dan rentang usia 41-50 tahun memiliki jumlah 1 kasus (9,1%) dan untuk rentang usia 51-60 tahun memiliki jumlah 1 kasus (9,1%). Pasien didominasi oleh pasien yang berasal dari luar Provinsi Bali yaitu sebanyak 4 kasus (36,4%), selanjutnya Kota Denpasar dan Kabupaten Gianyar dengan masing-masing 2 kasus (18,2%) dan terdapat masing-masing 1 kasus (9,1%) pasien yang berasal dari Kabupaten Bangli, Karangasem, dan Buleleng.
Berdasarkan pekerjaan yang dimiliki, ditemukan bahwa sebagian besar pasien bekerja sebagai ibu rumah tangga dengan jumlah 8 kasus (72,7%), kemudian terdapat masing-masing 1 kasus untuk pasien yang memiliki pekerjaan sebagai pegawai swasta (9,1%), wiraswasta (9,1%) dan pelajar (9,1%). Pasien PTG di RSUP Sanglah Denpasar tahun 2017 memiliki tingkat pendidikan yang berbeda-beda. Tingkat pendidikan yang paling banyak merupakan tingkat SMA/Sederajat dengan 5 kasus (45,5%), lalu tingkat diploma dan sarjana terdapat masing-masing 2 kasus (18,2%), dan masing-masing 1 kasus (9,1%) untuk tingkat SMP/Sederajat dan SD/Sederajat, dan mayoritas kawin pada rentang usia 16-25 tahun dengan 6 kasus (54,6%), lalu rentang 26-35 tahun dengan jumlah 5 kasus (45,4%) dan berdasarkan paritas sebanyak 5 kasus (45,4%) pasien dengan jumlah paritas 1, kemudian

sebanyak 3 kasus (27,3%) pasien belum pernah melahirkan, lalu sebanyak 2 kasus (18,2%) pasien dengan jumlah paritas 2, dan sebanyak 1 kasus (9,1%) pasien dengan jumlah paritas 3.
Berdasarkan riwayat kehamilan sebelumnya, kasus paling banyak adalah mola hidatidosa dengan 9 kasus (81,8%), dan terdapat masing-masing 1 (9,1%) kasus untuk riwayat abortus dan hamil aterm, jika dilihat dari jarak kehamilan sebelumnya sebanyak 6 kasus (64,6%) pasien PTG di RSUP Sanglah Denpasar memiliki jarak kehamilan sebelumnya selama kurang dari 4 bulan, dan sebanyak 5 kasus (45,4%) memiliki jarak kehamilan sebelumnya selama lebih dari 12 bulan dan menurut gejala klinis yang membuat pasien datang ke fasilitas kesehatan sebanyak 8 kasus (72,7%) pasien dengan gejala perdarahan pervaginam, lalu sebanyak 2 kasus (18,2%) pasien dengan gejala nyeri perut bagian bawah, dan terdapat 1 kasus (9,1%) pasien dengan pembesaran uterus.
Setelah melakukan pemeriksaan serum β-hCG, kasus terbanyak adalah dengan kadar >105 mIU/mL dengan 4 kasus (36,3%), lalu kadar <103 mIU/mL dengan 3 kasus (27,3%), dan kadar 103-104 mIU/mL dan kadar 104-105 mIU/mL yaitu masing-masing sebanyak 2 kasus (18,2%). Hasil penelitian menunjukan bahwa terdapat pasien dengan mola hidatidosa komplit yaitu sejumlah 5 kasus (45,4%), sementara didapatkan 4 kasus (36,3%) dengan choriocarcinoma dan terdapat 2 kasus (18,2%) dengan Mola Hidatidosa Parsial dengan sebagian besar pasien tidak mengalami metastse tumor yaitu sebanyak 8 kasus (72,7%), dan terdapat 2 kasus (18,2%) mengalami metastase tumor dibagian paru serta 1 kasus (9,1%) dengan metastase di vagina dan sebagian besar pasien tergolong dalam stadium I yaitu sebanyak 8 kasus (72,7%), lalu terdapat 2 kasus (18,2%) pasien tergolong dalam stadium III dan 1 kasus (9,1%) pasien tergolong dalam stadium II, dan berdasarkan terapi menunjukan bahwa terapi yang paling banyak digunakan adalah kemoterapi Methotrexate dengan 8 kasus (72,7%), lalu diikuti dengan kemoterapi EMA-CO dengan 3 kasus (27,3%).
Tabel 5. Karakteristik Pasien PTG
|
Karakteristik |
Jumlah (%) |
|
Usia (tahun) | |
|
21-30 |
5 (45,5) |
|
31-40 |
4 (36,4) |
|
41-50 |
1 (9,1) |
|
51-60 |
1 (9,1) |
|
Asal | |
|
Luar Provinsi Bali |
4 (36,4) |
|
Kota Denpasar |
2 (18,2) |
|
Kabupaten Gianyar |
2 (18,2) |
|
Kabupaten Buleleng |
1 (9,1) |
|
Kabupaten Karangasem |
1 (9,1) |
|
Kabupaten Bangli |
1 (9,1) |
|
Pekerjaan | |
|
Ibu Rumah Tangga |
8 (72,7) |
|
Pegawai Swasta |
1 (9,1) |
|
Wiraswasta |
1 (9,1) |
|
Pelajar |
1 (9,1) |
|
Pendidikan | |
|
SMA/Sederajat |
5 (45,5) |
|
Sarjana |
2 (18,2) |
|
Diploma |
2 (18,2) |
|
SMP/Sederajat |
1 (9,1) |
|
SD/Sederajat |
1 (9,1) |
|
Usia Kawin (tahun) | |
|
16-25 |
6 (54,5) |
|
25-35 |
5 (45,5) |
|
Paritas | |
|
0 |
3 (27,3) |
|
1 |
5 (45,5) |
|
2 |
2 (18,2) |
|
3 |
1 (9,1) |
|
Riwayat Kehamilan | |
|
Sebelumnya | |
|
Mola Hidatidosa |
9 (81,8) |
|
Abortus |
1 (9,1) |
|
Aterm |
1 (9,1) |
|
Jarak Kehamilan | |
|
Sebelumnya (Bulan) | |
|
<4 |
6 (54,5) |
|
4-6 |
0 (0) |
|
7-12 |
0 (0) |
|
>12 |
5 (45,5) |
|
Gejala Klinis | |
|
Perdarahan Pervaginam |
8 (72,7) |
|
Nyeri Perut Bagian Bawah |
2 (18,2) |
|
Pembesaran Uterus |
1 (9,1) |
Tabel 5. Karakteristik Pasien PTG (Lanjutan)
|
Karakteristik |
Jumlah (%) |
|
Kadar Serum β-hCG | |
|
(mIU/mL) | |
|
<103 |
3 (27,3) |
|
103-104 |
2 (18,2) |
|
104-105 |
2 (18,2) |
|
>105 |
4 (36,3) |
|
Histopatologi | |
|
Mola Hidatidosa Komplit |
5 (45,5) |
|
Choriocarcinoma |
4 (36,4) |
|
Mola Hidatidosa Parsial |
2 (18,2) |
|
Metastase | |
|
Tidak Ada |
8 (72,7) |
|
Paru-paru |
2 (18,2) |
|
Vagina |
1 (9,1) |
|
Stadium | |
|
I |
8 (72,7) |
|
II |
1 (9,1) |
|
III |
2 (18,2) |
|
IV |
0 (0) |
|
Terapi | |
|
Methotrexate |
8 (72,7) |
|
EMA-CO |
3 (27,3) |
DIRECTORY OF OPEN ACCESS JOURNALS
PEMBAHASAN
Hasil penelitian ini didukung dengan penelitian lainnya, seperti penelitian yang dilakukan Katke12 di Mumbai yang menyatakan 91,4% pasien PTG berusia dibawah 40 tahun, lalu penelitian yang dilakukan oleh Aziz dkk13 di Pakistan menunjukan bahwa pasien terbanyak ada di rentang usia 20-30 tahun yaitu sebesar 54,4%, kemudian penelitian yang dilakukan oleh Jagtap dkk14 di Maharashta, India menunjukan bahwa pasien PTG dalam rentang usia 20-30 tahun sebesar 89,6%. Hasil penelitian ini menunjukan hal serupa yaitu kasus terbanyak ada pada rentang usia 21-30 tahun dengan jumlah 45,5% (5 kasus). Penelitian yang dilakukan oleh Soekimin15 pada tahun 2014 menunjukan bahwa total terdapat 52 kasus mengenai PTG di Provinsi Sumatra Utara periode 2010 sampai 2013. Penelitian tersebut mendukung penelitian ini yang menyatakan bahwa terdapat 11 kasus, 4 kasus diantaranya berasal dari luar Provinsi Bali, masing-masing 2 kasus untuk Kota Denpasar dan Kabupaten Gianyar dan terdapat 1 kasus di Kabupaten Bangli, Karangasem, dan
I . λ Directoryof OPEN ACCESS I journals
Buleleng. Penelitian yang dilakukan oleh Ferreira dkk16 yang menunjukan bahwa distribusi pekerjaan pasien yang terbanyak adalah sebagai ibu rumah tangga yaitu sebanyak 38,7%. Hasil penelitian lain yang dilakukan oleh Matovelo dkk17 menunjukan bahwa distribusi pekerjaan paling besar pada pasien PTG adalah sebagai ibu rumah tangga yaitu sebesar 41,7 %. Hasil penelitian ini
menunjukan hal serupa yaitu pekerjaan yang paling banyak dimiliki oleh pasie PTG adalah sebagai ibu rumah tangga yaitu sebesar 72,7% (8 kasus).
Penelitian lain seperti penelitian yang dilakukan oleh Leenharattanarak dkk2 di Thailand yang menunjukan pasien PTG terbanyak berasal dari tingkat pendidikan High School atau sederajat SMP dan SMA yaitu sebanyak 45,5%. Hasil penelitian ini menunjukan hal serupa yaitu 54,6% (6 kasus) adalah pasien dengan tingkat pendidikan SMA atau sederajat. Penelitian yang dilakukan oleh Zarchi dkk5 di Iran menunjukan bahwa semua pasien PTG yang di teliti memiliki usia kawin dalam rentang 12-37 tahun, dan pada penelitian ini ditemukan hal serupa yaitu semua pasien PTG memiliki usia kawin pada rentang usia 1635 tahun. Penelitian yang dilakukan oleh Vahini dkk18 di Andra Pradesh, India yang menyatakan bahwa kasus terbanyak adalah pasien dengan paritas 0-1 yaitu sebanyak 92,6%. Penelitian lain yang dilakukan oleh Lakra dkk19 di Haryana, India menunjukan hal yang sama yaitu kasus paritas terbanyak terjadi pada pasien dengan paritas 0-1 yaitu sebanyak 81,6%, dan penelitian yang dilakukan oleh Yakasai dkk20 di Nigeria Utara menunjukan hal serupa yaitu kasus terbanyak ada pada rentang paritas 0-1 yaitu sebesar 37,2%. Hasil penelitian ini menunjukan hal serupa yaitu distribusi terbanyak ada pada pasien dengan paritas 1 yaitu dengan persentase sebesar sebesar 45,5% (5 kasus). Penelitian yang
dilakukan oleh Yakasai dkk20 di Nigeria Utara yaitu distribusi terbesar pasien dengan riwayat mola hidatidosa ditemukan sebesar 52,9%. Hasil penelitian ini menunjukan bahwa 81,8% (9 kasus) pasien dengan riwayat mola hidatidosa.
Penelitian Al-Husaini dkk21
manunjukan bahwa distribusi terbesar jarak kehamilan sebelumnya adalah kurang dari 4

bulan yaitu sebesar 59%. Hasil penelitian lain yang dilakukan oleh Winata dkk4 menunjukan hal serupa yaitu ditribusi terbesar untuk jarak kehamilan sebelumnya adalah kurang dari 4 bulan dengan 36,8%. Hasil penelitian ini menunjukan hal yang sama yaitu ditribusi untuk jarak kehamilan sebelumnya kurang dari 4 bulan sebesar 54,6% (6 kasus). Penelitian lainnya yang dikerjakan oleh Al-Alaf dkk3 di Irak yang menunjukan bahwa ditribusi terbesar untuk gejala klinis yang dialami pasien adalah perdarahan pervaginam yaitu sebesar 87,5%. Hasil penelitian yang dilakukan oleh Zarchi dkk5 di Iran juga menunjukan hal serupa yaitu distribusi gejala klinis terbesar adalah perdarahan pervaginam dengan 90%, bahkan penelitian yang dilakukan oleh Yakasai dkk20 menunjukan bahwa 100% pasien yang mereka teliti mengalami episode perdarahan pervaginam. Hasil penelitian ini menunjukan bahwa 72,7% (8 kasus) pasien mengalami perdarahan pervaginam. Penelitian yang dilakukan oleh Al-Husaini dkk21 yang menunjukan bahwa distribusi kadar serum β-hCG terbesar adalah lebih dari 104 mIU/mL yaitu sebesar 64%. Hasil penelitian ini sendiri mendapatkan hasil 36,4% (4 kasus) yang mamiliki kadar serum β-hCG lebih dari 105 mIU/mL.
Penelitian yang dilakukan oleh Jagtap dkk14 yang menunjukan bahwa sebanyak 58,4% kasus PTG didapatkan hasil pemeriksaan histopatologis berupa mola hidatidosa komplit. Hasil penelitian lainnya yang dilakukan oleh Katke12 menunjukan bahwa sebanyak 91,4% pasien yang diteliti memiliki hasil pemeriksaan histopatologis berupa mola hidatidosa komplit. Hasil penelitian yang dilakukan oleh Aziz dkk13 juga menunjukan hal serupa yaitu sebanyak 79,5% pasien yang diteliti memiliki hasil pemeriksaan histopatologis berupa mola hidatidosa komplit. Hasil penelitian ini sendiri menunjukan bahwa 45,5% (5 kasus) pasien yang diteliti memiliki hasil pemeriksaan histopatologi berupa mola hidatidosa komplit sebagai distribusi terbanyak. Penelitian yang dilakukan oleh Vree dkk22 yang menyatakan bahwa sebesar 83,4% pasien yang diteliti tidak mengalami metastase dan sisanya mengalami metastase di organ paru. Hasil penelitian lain yang dilakukan oleh Winata dkk4 menunjukan hal serupa yaitu sebesar 73,7% pasien tidak mengalami
DIRECTORY OF OPEN ACCESS JOURNALS
metastase. Hasil penelitian ini sendiri mendapatkan sebesar 72,7% (8 kasus) pasien tidak emngalami metastase, lalu sebanyak 18,2% (2 kasus) mengalami metastase di paru dan 9,1% (1 kasus) bermetastase di vagina. Penelitian yang dilakukan oleh Zarchi dkk5 yang menunjukan bahwa sebesar 75% pasien yang diteliti berada pada stadium I. Hasil penelitian lainnya yang dilakukan oleh Al-Husaini dkk21 yang menunjukan pasien dengan stadium I memiliki distribusi paling banyak yaitu sebesar 41%. Hasil penelitian ini sendiri mendapatkan pasien dengan stadium I dengan distribusi yang paling banyak yaitu sebesar 72,7% (8 kasus). Penelitian lainnya yang dilakukan oleh Vree dkk22 yang menyatakan bahwa sebesar 76,4% pasien PTG yang diteliti mendapatkan kemoterapi methotrexate. Hasil penelitan lainnya yang dilakukan oleh Katke12 juga menunjukan sebagian besar pasien, tepatnya 56,4%, mendapatkan kemoterapi methotrexate dalam menangani PTG yang diderita. Hasil penelitian ini sendiri mendapatkan sebesar 72,7% pasien PTG yang diteliti mendapatkan kemoterapi methotrexate sebagai terapi untuk menyangani PTG yang diderita.
SIMPULAN
Simpulan dari penelitian ini adalah pada periode 1 Januari 2017 sampai 31 Desember 2017, didapatkan 11 kasus mengenai Penyakit Trofoblastik Gestational. Prevalensi kasus terbanyak adalah pada rentang usia 21-30 tahun (45,5%), kemudian 36,4% pasien berasal dari luar Provinsi Bali, dan 72,7% pasien bekerja sebagai ibu rumah tangga, serta 45,5% pasien dengan tingkat pendidikan SMA atau sederajat. Usia kawin terbanyak terdapat pada rentang usia 16-25 tahun (54,6%) dengan paritas satu kali (45,5%), dengan riwayat mola hidatidosa (81,8%), dengan jarak kehamilan sebelumnya kurang dari 4 bulan (54,6%), datang dengan keluhan utama perdarahan pervaginam (72,7%). Sebagian besar pasien datang dengan kadar β-hCG lebih dari 105 mIU/mL (36,4%), didiagnosis dengan mola hidatidosa komplit (45,5%), dengan tidak ditemukan metastase (72,7%), dikategorikan dalam stadium I (72,7%) dan mendapatkan kemoterapi methotrexate (72,7%).
SARAN
Pada proses pengambilan data dari penelitian ini, terjadi kesulitan dalam pengambilan data, kelengkapan data yang dibutuhkan kurang sehingga banyak data yang harus di eksklusi. Saran yang dapat diberikan adalah, lebih memperhatikan kelengkapan dan melakukan pencatatan terhadap data pasien dengan baik dan benar, agar lebih
mempermudah pengumpulan data, tidak hanya untuk kepentingan penelitian namun juga untuk kepentingan diluar penelitian. Pada variabel terkait tingkat pendidikan dan usia kawin pasien, perlu dilakukan penelitian lebih lanjut, dikarenakan minimnya sumber dan literatur terkait kedua variabel tersebut, sehingga mempersulit peneliti dalam menyusun pembahasan dalam penelitian ini.
DAFTAR PUSTAKA
-
1. Berkowitz RS, Goldstein DP, Berek JS. Breek & Novak’s Gynecology, edisi ke-14. Massachusetts: Lippincott Williams & Wilkins; 2007.h.1582-1603
-
2. Leenharattanarak P, Lertkhachonsuk R. (2014). Quality of Life in Gestational Trophoblastic Neoplasia Patients after Treatment in Thailand. Asian Pac J Cancer Prev; 2014;15(24):10871-10874
-
3. Al-Alaf SK, Omer DI. Prevalence and Clinical Observations of Gestational Trophoblastic Disease in Maternity Teaching Hospital in Erbil City. WSEAS TRANSACTIONS on BIOLOGY and BIOMEDICINE; 2010; 7(3)
-
4. Winata IGS, Suwiyoga K. Profil Penderita Tumor Trofoblastik Gestasional (TTG) di RSUP Sanglah Denpasar Periode Januari 2012-Desember 2014. Denpasar:
Universitas Udayana; 2015
-
5. Zarchi MK, Mortazavizadeh MR, Gerdefaramrzi MS, Rouhi M, Anari PY, Ahmadiyeh MH. Investigation of Risk Factors, Stage and Outcome in Patients with Gestational Trophoblastic Disease since 2001 to 2011 in Iran-Yazd. International Journal of Biomedical Science; 2015; 11(4): 166-172.
DIRECTORY OF OPEN ACCESS JOURNALS
-
6. Lurain JR. Gestational Trophoblastic
Disease I : Epidemiology, Pathology, Clinical Presentation and Diagnosis of Gestational Trophoblastic Disease and Management of Hydatidiform Mole. American Journals of Obstetrics & Gynecology; 2010; 531-539
-
7. Syafii, Aprianti S, Hardjoeno. (2006).
Kadar β-hCG Penderita Mola Hidatidosa Sebelum dan Sesudah Kuretase. Indonesian Journal of Clinical Pathology; 2006; 13: 1-3
-
8. Hextan YS, Seckl MJ, Berkowitz RS, Xiang Y, Golfier F, Sekharan PK, Lurain JR. Update on The Diagnosis and
Management of Gestational Trophoblas Disease. International Journal of Gynecology and Obstetrics; 2015; 131:
123-126
-
9. Petrich S, Vaughan M. Gestational Trophoblastic Disease. New Zealand Gynaecologic Cancer Group; 2014; 1-13.
-
10. Lurain JR. Gestational Trophoblastic Disease II: Classification and Management of Gestational Trophoblastic Neoplasia. Chicago. American Journal of Obstetrics & Gynecology; 2011; 11-18
-
11. Goldstein DP, Berkowitz RS. Current Management of Gestational Trophoblastic Neoplasia. Elsevier; 2012; 111-131
-
12. Katke RD. Gestational trophoblastic Disease and its Complications: Review of PatientProfiles and Management at a Tertiary Care Centre. SEAJCRR; 2016; 5(4): 2365-2377
-
13. Aziz N, Yousfani S, Soomro I, Mumtaz F. Gestational Trophoblastic Disease. J Ayub Med Coll Abbottabad; 2012; 24(1): 7-9
-
14. Jagtap SV, Aher V, Gadhiya S, jagtap SS. Gestational Trophoblastic Disease – Clinicopathological Study at Tertiary Care Hospital. Journal of Clinical and Diagnostic research; 2017; 11(8): 27-30.
-
15. Soekimin. Tinjauan Histopatologik Penyakit Trofoblastik Gestasional di
Sumatera Utara pada Tahun 2010-2013. Majalah Patologi; 2014; 23(2)
-
16. Ferreira IS, Lima SKM, Dias JAM, Gomes LFS, Fernandes AFC, Damasceno AKC, Oria MOB, Castro RCMB. Gestational Trophoblastic Disease: an Analysis
Focused on Social Determinants of Health. International Archives of Medicine; 2016; 9(189)
-
17. Matovelo D, Kitange B, Konje E, Massinde A, Rambau P. Hydatidiform moles among patients with incomplete abortion in Mwanza City, North western Tanzania. Afri Health Sci; 2015; 15(4): 1081-1086
-
18. Vahini G, Premalatha P, Tejaswini V, Sampoorna, Krishna R, Krishnamachary PAV, Renuka IV. Gestational
Trophoblastic Disease: an Institutional Experience. International Journal of Recent Trends in Science and Technology; 2015; 15(2): 368-372
-
19. Lakra P, Sangwan V, Siwach S, Kansal R, Mahendru R, Sharma A. Outcome of gestational Trophoblastic Diseasein a Rural Tertiary Centre of Haryana, India. IJRCOG; 2016; 6(1): 271-275
-
20. Yakasai I, Abubakar I, Eze Y. (2015). Gestational Trophoblastic Diseases in a Teaching Hospital in Northern, Nigeria. American Journal of BioScience; 2015; 3(1): 7-10
-
21. Al-Husaini H, Soudy H, Darwish A, Ahmed M, Eltigani A, Edesa W, Elhassan T, Omar A, Elghamry W,Al-Hashem A, Al-Hayli S, Madkhali I, Ahmad S, Al-Badawi IA. Gestational Trophoblastic Neoplasia: Treatment Outcomes from a Single Institutional Experience. Clin Trans Oncol; 2014; 17: 409-415
-
22. Vree M, van Trommel N, Kenter G, Sweep F, ten Kate-Booij M, Massuger L, Lok C. The influence of lung metastases on the clinical course of gestational trophoblastic neoplasia: a historical cohort study. BJOG; 2016; 123: 1839–1845.
Discussion and feedback