RAJA YOGA MEDITATION AS INNOVATION OF PREVENTION AND THERAPY IN PEDOPHILIA
on
TINJAUAN PUSTAKA
RAJA YOGA MEDITATION AS INNOVATION OF PREVENTION AND THERAPY IN PEDOPHILIA
Agung Bagus Sista Satyarsa1a, Sang Ayu Arta Suryantari1, Putu Bagus Onicha Baskaranata1 and Ni Ketut Sri Diniari2
-
1 Medical Student, Faculty of Medicine, Udayana University, Bali, Indonesia
-
2 Department of Psychiatry, Faculty of Medicine, Udayana University and Sanglah General Hospital, Bali, Indonesia
aEmail: abssatyarsa@student.unud.ac.id
ABSTRAK
Pedofilia adalah kasus yang sering terjadi di dunia termasuk di Indonesia. Ini menjadikan Indonesia sebagai pedofilia darurat. Data dari Komisi Perlindungan Anak Indonesia (KPAI) pada tahun 2010 sampai 2014 terjadi peningkatan sebesar 42-58 persen kasus pedofilia. Selain itu, para korban akhirnya akan menjadi pedofil yang disebut siklus korban-ke-pelaku. Saat ini, diperlukan terapi sebagai kunci sukses untuk terapi melawan ego yang distonik dari seorang pelaku pedofilia yakni melalui meditasi Raja Yoga. Meditasi adalah strategi yang telah digunakan untuk mengontrol libidinal (id) dan self-regulatory (superego) yang digunakan dalam konseling kesehatan mental dan psikiatri karena dapat menurunkan gairah, kecemasan, depresi, dan gangguan perilaku. Salah satu jenis meditasi adalah meditasi Raja Yoga yang telah dipelajari selama bertahun-tahun kemampuan untuk mengubah perilaku dan pengaturan diri. Didukung oleh beberapa penelitian, meditasi ini juga dapat memperbaiki kelainan pada sistem limbik. Meditasi Raja Yoga adalah terapi dan pencegahan yang efektif dalam pedofilia.
Kata Kunci: Meditasi Raja Yoga, Neurobehavioral, Pedofilia, Psikoterapi
ABSTRACT
Pedophilia is a frequent case in the world including Indonesia. This makes Indonesia a pedophilia emergency. The data on child abuse based on Commission Child Protection Indonesia (KPAI) in 2010-2014 was increased 42-58 percent of pedophilia. Besides, the victims will eventually become pedophiles that are called victim-to-abuser cycles. Recently, it needed the successful key to therapy against dystonic ego of a pedophilia abuser with Raja Yoga meditation. Meditation is a strategy that has been used to control libidinal (id) and self-regulatory (superego) used in mental health counseling and psychiatry because it can decrease arousal, anxiety, depression, and behavioral disorder. One type of meditation is Raja Yoga meditation that has been studied for years of ability to change behavior and self-regulatory. Supported by several studies, this meditation also can repair abnormalities in the limbic system. Raja Yoga meditation is effective therapy and prevention in pedophilia.
Keywords: Pedophilia, Raja Yoga Meditation, Neurobehavioral, Psychotherapy
INTRODUCTION
Sexual aberration or paraphilia is a disease refer to attraction to any unusual objects or sexual activities.[1] There are many types of paraphilia in community. Among the cases of paraphilia that have been identified, pedophilia is the most common case in Indonesia.[2] This case led to Indonesia in emergency condition of pedophilia.[3]
Based on data of Komisi Perlindungan Anak Indonesia (KPAI), the cases of pedophilia in Indonesia has increased significantly. Recorded in 2012, the victim’s number of pedophilia is 256 people, they are 154 boys and 102 girls. In 2013, increased to 378 people, they are 227 boys and 151 girls. In 2014, the case increased to 100 percent. In addition, KPAI also reported the number of cases of child abuse from 2010 to 2014 is 21,869,797 cases and 42-58 percent is sexual abuse.[4]
The case of pedophilia has not been revealed because the victim afraid to report and the abuser does not show abnormality or looks like a normal people. In addition, the victims can eventually become pedophilia that called victim-to-abuser cycle.[5]
The children who have been victimized mostly suffer psychological disorder such as depression, post-traumatic stress disorder (PTSD), anxiety or physical
injuries.[6] Based on that issue, giving therapy to the victim and abuser is important in order to decrease the prevalence the case.[6,7]
Previous studies have shown that pedophiles still look interested with children after one-year treatment with combination of pharmacotherapy and psychotherapy although the frequency of encouragement and masturbation has decreased.[5] In addition, it was also reported that psychotherapy causes the sexual preference of pedophiles change to adult women but the pedophiles still has thought and behavior to attack the children.[2,3,5]
Based on that facts, psychotherapy cannot be used as the main treatment that leads to change the mind and behavior of pedophiles.[1,8] According to Kaplan and Sadock,[2] the most important thing in therapy of sexual aberrations is to fight the syntonic ego of abuser. There is no effective way unless the pedophiles has a willingness to participate in therapy.[5,8] Thus, the successful key in therapy comes from themselves. So, it needs an activity that can make pedophiles able to change its mind and behavior.[9]
Pedophile’s ego is a sexual urges and superego needed in order to prevent the negative urges of libido (id). Superego has role in preventing actions that are not accordance with the norms and moral values in the
society.[2] Due to decrease of superego in preventing the acts of immorality and negative behavior of pedophiles, causing pedophiles is not worried about the consequences and impacts for both himself and his victim.[10] An activity is needed in order to improve the quality of superego as an attempt to prevent immorality and negative behavior of pedophiles.[10,11]
The activity that could be applied as solution is meditation. Meditation is a strategy that has long been used as a self-regulatory by superego in mental health counseling and psychiatry because it can decrease excessive sexual arousal and desire. Meditation also decreases depression, anxiety and other behavioral disorder.[11.12.11,13] Supported by several studies, this meditation also can repair abnormalities in limbic system and prefrontal cortex.[14] By applying Raja Yoga Meditation, it is expected that pedophiles can develop self-regulatory by superego and positive thoughts in order not to cause sexual abuse in children again.15 Given all the outstanding and up-to-date discoveries, the writer would like to discuss about the role Raja Yoga Meditation in preventing and giving therapy to pedophiles.
DISCUSSION
Pathophysiology of Pedophile Disorder
The Diagnostic and Statistical Manual of Mental Disorders Fifth Edition (DSM-V) defined pedophilia as an individual condition who get pleasure, sexual stimulation or sexual arousal from prepubertal children (generally <13 years old) that occur repeatedly and persist for at least six months.[8] Its sexual arousal realized through exhibitionism (exposing genital devices), voyeurism (looking at children without clothes), frotteurism (touching the genitals), performing oral, anal and vaginal sex.[5,16]
Sexual targets in pedophilia are innocent and submissive children. Some cases occurred in the school involving teacher or school staff and also occurred in close family or relatives.[17] Based on data of KPAI, the cases of children abuse are increasing. In 2010 there was 2.046 cases of children abuse (42% sexual abuse), 2011 there was 2.426 cases (58% sexual abuse), 2012 there was 2.637 cases (62% sexual abuse) and 2013 there was 3.339 case (62% sexual abuse).[3,6]
Based on the theory classic psychoanalytic of Sigmud Freud (1905), that libido as sexual instinct is showed by mind by contributing to psychological and individual mental images.[18] There are several types of instinct since birth such as ego, sexual, defense mechanism, life and death with happiness as principle.[5,19]
This theory supports individual personality and mental qualities. Pedophilia is affected by libidinal (id) and high sexual instincts and low ego instincts.[5]
Several studies have also shown that pedophilia occurs due to decreased function of pre-frontal cortex, resulting in decreased association, analyze and thinking. It also due to induction of limbic system particularly in amygdala and hippocampus region that regulate sexual behavior, emotional, memory and attention.[20]
Abnormality in this region cause deficit in emotional responds and change in sexual behavior. Many pedophiles show lesions of the hippocampus and decrease in gray matter volume at the amygdala.
Decrease of matter result in an increased activation of the amygdala-hippocampal region during the presentation of images depicting prepubescent children but does not occur for imaging adults.[21]
The Role of Neurobehavioral in Pedophilia Disorder
The neurobiological mechanisms underlying paraphilia are largely unknown and the neuroanatomical correlation for pedophilia has not been identified. Pedophile sex-offenders showed significant amygdala activation (reflecting an enhanced emotional answer) while stimulated by fairly ubiquitous visual stimuli showing children.[21,22] Amygdala activation is central for emotional valuation, arousal and salience. This could reflect limbic activation escapes cognitive control.[22]
In a very recent volumetric MR study a prominent total amygdala volume reduction as well as a local gray matter deficit in a group of pedophilic offenders was stated. Both reductions were significant on the right side, which corresponds to the somewhat more pronounced functional differences of the right amygdala.[23]
The dopaminergic system which has projections to the prefrontal cortex and the cerebellum may also play an important modulatory role in the pathophysiology of pedophilia. In particular, this is indicated by the relation between obsessiveness and structural alterations in the ventral striatum including the nucleus accumbens, which contains a high density of dopaminergic neurons and plays a major role in reward processing.[23,24] A genetically predisposed reward deficiency syndrome, describing a disturbance in dopaminergic neurotransmission involved in the reward mechanism of impulsive (including antisocial), addictive and compulsive behaviors, may additionally contribute to the etiology of pedophilia. The structural changes reported here might underlie disturbances in reward processing in pedophilia, since the striatum and the orbitofrontal cortex are involved in reward detection and expectation whereas the nucleus accumbens is the central mediator of the system.[24]
Alternative Solutions in Management of Pedophilia
Based on Undang-Undang No. 35 Tahun 2014 about Child Protection, the government has made efforts to suppress cases of sexual abuse in children by pedophiles.[25] Various efforts have been made, but had not solved the pedophilia problem in the country. Based on several studies that have been done, therapy needed to victims and abuser in order to reduce the prevalence of this issue.[17] The solutions that have been implemented in reducing the prevalence of pedophilia cases are as follows.[17]
Imprisonment. Sexual abuse that causes the victim to suffer can cause pedophile imprisoned. However, this solution still lacks because it does not provide a deterrent effect and does not reduce pedophilia.[26]
Castration. Castration is the latest solution that is still a pros and cons between the government and the health workers. Castration is an act of giving estrogen hormone in men. Giving the hormone making him motherly and more loving to the children. However, there are still some shortcomings in this solution and there are cons from the doctor's association in carrying out castration on pedophiles.[3,27]
Rehabilitation. Rehabilitation is a means of reducing pedophilia sexual acts. Pedophilia
perpetrators rehabilitate for several months to reduce their actions. This rehabilitation involves the role of medication and therapy of psychiatrists. Some pedophiles have benefited from rehabilitation. However, the rehabilitation is completed, maximum rehabilitation is not performed.[28]

Figure 1. A Statistical Parametric Map Showing Significantly Decreased Gray matter Volumes in
Pedophile Patients Compared with Healthy Control.[23]
Pharmacology. Pharmacological therapy can be performed by administering antiandrogen drugs to decrease sexual stimulation and mood stabilizer; atypical antipsychotics and SSRI (Selective Serotonin Re-Uptake Inhibitor) antidepressants to treat compulsive sexual and lowering libido.[18,19,20] However, these drugs do not thoroughly change the sexual aberration.[27]
Psychotherapy. The psychotherapy can be individual therapy and group therapy. Previous research has shown that pedophiles still show interest in children, even after one year of treatment with a combination of psychotherapy and pharmacotherapy, but the frequency of motivation and masturbation of the offender has decreased.[5] In addition, it was also reported that psychotherapy causes pedophilia sexual preference change to adult women, but abuser still have thoughts to attack children.[2,5]
Prevention and Treatment of Pedophilia Behavior with Raja Yoga Meditation
Pedophilia results from decreased self-control, rationality, superego and mental quality of pedophiles. Decreased function can cause damage to some parts of the brain. To reduce the severity of damage that will impact the perpetrators, Raja Yoga meditation as effective therapy is needed.[29]
Raja Yoga meditation is the highest meditation of all meditation and in yoga activities. The purpose of Raja Yoga meditation is to improve the mental quality, control the lust, and recognize into the whole self.[29]The meditation of the Raja Yoga gives good and positive meaning in reducing bad thoughts. This activity has been proven by studies conducted that there is a balance in the neurotransmitter process in the brain after doing this meditation.[30]
Based on the classical psychoanalytic theory of Sigmud Freud (1905) in Kaplan and Sadock,2 everyone has psychology personality consist of ego, id and superego. This theory related with any incident of behavioral aberration, because this concept is inherent since birth. Raja Yoga meditation help to stabilize the neurotransmitter function in the brain of pedophile causing decrease libidinal (id) and increased superego function to control sexual behavior. In addition, Raja Yoga meditation can prevent the incident of pedophilia.
Based on previous research, traumas are more effectively eliminated with meditation therapy and subconscious contemplation. Victimized children can meditate to turn their fears into good defense mechanism and prevent them from becoming the next pedophile. Because pedophilia caused by ego factor, the important therapy is against ego syntonic of pedophile itself. There are no effective therapies unless pedophile has a willingness to participate in therapy.[30-32] Dystonic ego makes the superego work and causes the depression of the pedophile behavior.[33]
Superego is one of the keys to self-control to reestablish itself with moral behavior and self-healing regulation. The sexual arousal and sexual desire of pedophilia can decrease because of dystonic ego. The role of the superego helps rebuild self-regulation because of their willingness. The decline in pedophilia by Raja Yoga meditation, gives a positive impact by controlling the abuser avoid crime. The role of superego enhancement in preventing the incident of sexual aberrations is very effective in reducing sexual behavior because the abuser becomes aware of both physical and spiritual consequences.[11, 29]
In addition, state of mindfulness can be achieved by doing Raja Yoga meditation. Mindfulness is a nonjudgmental state of mind and monitors temporary thoughts, emotions, momentary urges, perceptions and body sensations.[31] The state of mindfulness has many benefits for brain and psychic health. Mindfulness state increased arousal of the brain's cortical and inhibition of the limbic portion of the brain. Another studies also suggest that a meditator exhibits excitation of the cortical portion of the brain and the simultaneous inhibition of the limbic system.[32]
This leads to an increase in superego and inhibition of the id. Increased superego makes a pedophile have better ego control. While inhibition on libidinal (id) cause decrease in the impulse of thinking to perform aberrant acts. Meditation can also lead to integration of left hemispheres and right hemispheres that produce holistic, simultant and synthetic thinking.[33] Meditation make someone can have more control in behavior and resist the urge to self-destruct.[31-33]
One of the causes of pedophilia was a decrease in gray matter in the brain. Meditation can increase the volume of gray matter in the brain. A study suggests that yoga practitioners have a higher volume of brain structure than in control samples and improved cognitive function.[34] These yoga practitioners have a pre-frontal cortical region that is significantly greater than control samples, which can inhibit the limbic system. The increase of gray matter in this region is associated with decrease of making mistakes on attention, memory and motor function in everyday activities.[35]
Figure 3. Raja Yoga Meditation Strategy as Modality of Preventing and Therapy on Pedophilia.[4,5, 29,46-50,55]
Related Parties
In order to apply the proposed therapy, cooperation between various parties is required. The main parties who need to participate are pedophiles. There are obstacles in finding who has sexual performance of pedophilia but this can be done by seeking the identity information of the abuser at the relevant law enforcement agency who has received the pedophilia case report.36 In addition the information can also be found in hospitals and in the community.
Society has an important role to always care about the surrounding environment if there is a suspicious action by someone to the children. Therapy needs help from meditation instructor, especially Raja Yoga meditation that will help pedophile performers to carry out therapy.[29,37] Not only that, the role of parents is also needed as a preventive measure. Parents should educate children about self-protection. This is because pedophile tend to repeat their actions despite being punished for doing so (recidivism).[5,7]

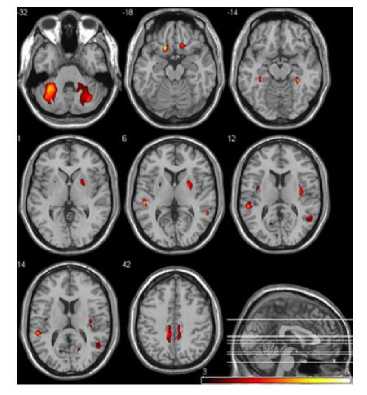
Figure 2. Upper Left Part: Results of Voxel-Level ANOVA for Interaction Task × Group at A Corrected P Level of P < 0.05.[32]
Strategic Steps Required for the Raja Yoga Meditation
To be able to implement this idea, several strategic steps as a supporter. Raja Yoga meditation can be carried out in groups guided by expert practitioners. It can be done anywhere as long as it is a quiet place. Meditation can be done routinely for two months with a duration of approximately one hour.[38,39]
There are eight stages in Raja Yoga meditation. The eight stages in the Raja Yoga meditation are as follows, Yama (self-control) stages to control the state of mind by enhancing peace of mind; Niyama (discipline) stages of concentration and focus; Asana (physical position) stage sitting position crossed perfectly; Pranayama (breath exercises) stages to regulate the rhythm of breathing and peace of mind; Pratyahara (withdrawal of the senses from external objects) the early stages of meditation, to induce the subconscious mind; Dharana (concentration) stages of concentration in Raja Yoga meditation, this stage brings itself more focused; Dhyana (meditation) the core stages of Raja Yoga meditation, the individual enters into true truth, improves mental quality and gives ultimate happiness; and Samadhi (complete realization) the highest stage, the stage in improving the quality of the individual on the peace of mind and behavior.[29,40]
This meditation can be done strategically to the identified pedophile. This therapy for pedophiles can do in both in prison, rehabilitation places and at home. Thus, this strategy can lead to significant results in decreased pedophilia prevalence. The results of this meditation are feeling happiness, peace, control of negative mind, relaxation and improvement of positive thoughts. A sense of peace and calm forms a dynamic and moral mind. This Raja Yoga meditation also improves the quality of the unconscious, sexual instincts by the libidinal can be suppressed by the superego.[11,15,41] This strategic can increase the positive thinking of pedophiles by giving a positive impact. The suppression of pedophilia is proven by the increase in superego as an agent of self-control.[42] Thus, this strategy steps can prevent and provide effective therapy to pedophiles and victims.[43,44]
Implementation of Ideas
Implementation of ideas that can be used is to conduct activities of rehabilitation not only by providing prison and castration penalties and using conventional methods. Implementation is done by the pedophile themselves.45 Raja Yoga meditation as prevention and therapy modality in pedophilia has a very significant impact in reducing the incidence of pedophilia.[29]
To realize thorough implementation of therapy required the role of various parties.[45] Raja Yoga meditation conducted has implementation of sociocultural aspects.[43,46] Because the majority of people have religion and spirituality, this condition can be used as a way to implement Raja Yoga meditation. The occurrence of mental quality improvement and behavior control can be done with this Raja Yoga meditation. This activity can be done every day as a habit with duration of one hour for two months. The goal is to implement self-control by superego thoroughly and improve the disturbance that occurs in pedophile patients.[47]
Implementation of Raja Yoga meditation can be used as a prevention as well as therapy for pedophile patients. Raja Yoga meditation done regularly can help a person to exercise self-control.[48] It can prevent a person from performing impulse drives that are not in accordance with the norms and moral values in society.[42-45] Similarly in pedophile patients, although they experienced a sexual aberration but with this meditation is expected pedophilia patients can improve the ability to control themselves with the superego so that libidinal impulse (id) can be controlled and there is no attack on children.[49,50]
Raja Yoga meditation is the highest meditation of all meditation and in yoga activities. Raja Yoga meditation can improve the mental quality, control the lust, and recognize into the whole self. This activity has been proven by studies, that there is a balance in the neurotransmitter process in the brain after doing this meditation. Raja Yoga meditation can repair abnormalities in limbic system of the brain.[29,42,47-51]
Due to instability of neurotransmitter function in the brain of pedophile causing decrease libidinal (id) and increased superego function to control sexual behavior. There is a decreased libidinal (id) of a person with selfcontrol of the superego in the meditation of Raja Yoga.[30]
Raja Yoga meditation conducted has implementation of socio-cultural aspects.[29] Although pedophiles experienced a sexual aberration but with this meditation is expected pedophilia patients can improve the ability to control themselves with the superego so that libidinal impulse (id) can be controlled and there is no attack on children.[36,40,44,52]
Some can acquire all benefits while others may come out more disturbed.[30,40,53] Individual differences should also be considered while making any conclusion regarding the benefits of meditation. It appears that meditation may have therapeutic value, but limited to those who are psychologically healthy, well integrated and may have mild neurosis or psychosomatic disorders.[45,47.54] These issues need serious attention from researchers in the future to get firm conclusion regarding the efficacy of meditation as an mind-body therapy.
CONCLUSION
Raja Yoga meditation (Raja Yoga Meditation) is a modality of prevention and therapy in pedophilia. Meditation can be a natural psychotherapy in pedophiles in the form of behavioral, mental and personality therapy to reduce sexual abuse in children. Raja Yoga meditation is a media regulator, reflection, and self-control. The key to the success of therapy is in pedophiles themselves. Increased self-control with the superego in Raja Yoga Meditation becomes an effective therapy in eliminating pedophilia preference for children. It also can change the person's behavior, personality, thinking process and lifestyle more peaceful and positive. In addition, Raja Yoga meditation can repair abnormalities in limbic system and prefrontal cortex of the brain. Thus, Raja Yoga meditation is effective and efficient as a prevention and therapy modality in pedophilia in the future.
SUGGESTION
Further research is needed to determine the role of Raja Yoga Meditation to changes in the structure and mechanism of the brain's work on pedophilia.
REFERENCES
-
1. McManus, Hargreaves, Ranbow, and Alison. Paraphilias: Definition, Diagnosis and Treatment. F1000Prime Reports. 2013:1-6.
-
2. Kaplan and Sadock. Kaplan and Sadock’s Concise Textbook of Clinical Psychiatry, 2nd Ed. Jakarta: Penerbit Buku Kedokteran EGC. 2015.
-
3. Wahyuni. Apa Kabar Indonesia?: Indonesia
Darurat Pedofilia. 2016. Available at: http://www.dakwahmedia.net/2016/01/apa-kabar-indonesia indonesia-darurat.html. Access on Mei 8th 2018.
-
4. Magdalena. 10 Pedofil Paling Berbahaya di Dunia. Jakarta: Gramedia Indonesia. 2014.
-
5. Ryan and Richard. A Profile of Pedophilia: Definition, Characteristics of Offenders,
Recidivism, Treatment Outcomes, and Forensic Issues. Mayo Foundation for Medical Education and Research. 2007;82(4):457-71.
-
6. Probosiwi dan Bahransyaf. Pedofilia dan Kekerasan Seksual: Masalah dan Perlindungan Terhadap Anak. Sosio Informa. 2015;01(1):29-40.
-
7. Poeppl, Eickhoff, Fox, Laird, Rupprecht, Langguth, Bzdok. Connectivity and Functional Profiling of Abnormal Brain Structures in Pedophilia. Wiley Periodicals, Inc. 2015;36(6):1-13.
-
8. American Psychiatric Association (APA). Diagnostic and Statistical Manual of Mental Disorder. Fifth Edition. Washinton DC: American Psychiatric Publishing. 2013.
-
9. Mohnke, M¨uller, Amelung, Kr¨uger, Ponseti, Schiffer, Walter, Beier, and Walter. Brain Alterations in Paedophila: A Critical Review. Progress in Neurobiology. 2014:1-77.
-
10. Nakata and Sakamoto. Meditation reduces pain-related neural activity in the anterior cingulate cortex, insula, secondary somatosensory cortex, and thalamus. Front Psychol. 2014;5:1489.
-
11. Ramesh et al. Efficacy of Raja Yoga Meditation on Positive Thinking: An Index for Self-Satisfaction and Happiness in Life. Journal of Clinical and Diagnostic Research. 2013;7(10): 2265-67.
-
12. Tenbergen et al. The Neurobiology and Psychology of Pedophilia: Recent Advances and Challenges. Frontiers in Human Neuroscience. 2015;9(344):1-20.
-
13. Sukhsolahe et al. Does Raja Yoga Meditation Bring Out Physiological and Psychological General Well Being Among Practitioners Of It? International Journal of Collaborative Research on Internal Medicine & Public Health. 2012;4(12):2000-12.
-
14. Fabio Campanella, Cristiano Crescentini, Cosimo Urgesi, Franco Fabbro. Mindfulness-oriented meditation improves self-related character scales in healthy individuals. Comprehensive Psychiatry. 2014:1-10.
-
15. Jahnke et al. Stigmatizing Attitudes Towards People with Pedophilia and Their Malleability
among Psychotherapists in Training. Elsevier.
Child Abuse & Neglect. 2014; 1-10.
-
16. Alonko, Gunst, Mokros, Santtila. Genetic Variants Associated With Male Pedophilic Sexual Interest. J Sex Med. 2016:13:835-42.
-
17. Gilbert and Focquaert, F. Rethinking Responsibility in Offenders with Acquired Paedophilia: Punishment or Treatment? International Journal of Law and Psychiatry. 2015; 1- 10.
-
18. Khaidir. Penyimpangan Seks (Pedofilia). Jurnal
Kesehatan Masyarakat. 2007; I(2):83-9.
-
19. Mahendran. Penilaian Pedofilia Menggunakan
Respon Hemodinamik Otak Terhadap Stimuli
Seksual. Jurnal Universitas Udayana.
2012;4(1):83-95.
-
20. Christian Kärgel, Dipl. Psych, Claudia Massau, Dipl. Psych, Simone Weiß, Dipl. Psych, Martin Walter, Tillmann H.C. Kruger and Boris Schiffer. Diminished Functional Connectivity on the Road to Child Sexual Abuse in Pedophilia. J Sex Med. 2015;1-13.
-
21. Laird, Eickhoff, Fox, Uecker AM, Ray KL, Saenz JJ, McKay DR, Bzdok D, Laird RW, Robinson JL, Turner JA, Turkeltaub PE, Lancaster JL, Fox PT: The BrainMap strategy for standardization, sharing, and meta-analysis of neuroimaging data. BMC Res Notes. 2011;4:349.
-
22. Christine Wiebking and Georg Northoff. Neuroimaging in Pedophilia. Curr Psychiatry Rep. 2013;15:351.
-
23. Boris Schiffer, Norbert Leygraf, Thomas Peschel, Thomas Paul, Elke Gizewski, Michael Forsting, Manfred Schedlowski, Tillmann H.C. Krueger. Structural brain abnormalities in the frontostriatal system and cerebellum in pedophilia. Journal of Psychiatric Research. 2007:41;753–62.
-
24. Boris Schiffer, Tillmann Krueger, Thomas Paul, Armin de Greiff, Michael Forsting, Norbert Leygraf, Manfred Schedlowski, Elke Gizewski. Brain response to visual sexual stimuli in homosexual pedophiles. J Psychiatry Neurosci. 2008;33(1):23-33.
-
25. Setyawan. KPAI: Anak Korban Pedofilia Bisa Saja Menjadi Pelaku. 2014. Available at
http://www.kpai.go.id/berita/kpai-anak-korban-pedofilia-bisa-saja-menjadi-pelaku/. Access on Mei 8th 2018.
-
26. Setyawan. KPAI: Menjerat Jera Pelaku Pedofilia. 2015. Available at
http://www.kpai.go.id/berita/kpai-menjerat-jera-pelaku-pedofilia/. Access on Mei 8th 2018.
-
27. Jordan et al. Changed processing of visual sexual stimuli under GnRH-therapy – a single case study in pedophilia using eye tracking and fMRI. BioMed Central. 2014;14(142):1-13.
-
28. Smith JC. The psychotherapeutic effects of transcendental meditation with controls for expectation of relief and daily sitting. J Consult Clin Psychol 1976; 44:456–67.
-
29. Maheshwarananda, Sri Swami. Yoga in Dialy Life: Raja Yoga. Available at
http://www.yogaindailylife.org/system/en/the-four-paths-of-yoga/raja-yoga. Access on Mei 10th 2018.
-
30. Vago and Silbersweig. Self-Awareness, SelfRegulation, and Self-Transcendence (S-ART) A Framework for Understanding The Neurobiological Mechanisms of Mindfulness. Frontiers in Human Neuroscience. 2012; 6:296.
-
31. Brett Froeliger, Eric L. Garland, and F. Joseph McClernon. Yoga Meditation Practitioners Exhibit Greater Gray Matter Volume and Fewer Reported Cognitive Failures: Results of a Preliminary VoxelBased Morphometric Analysis. Evidence-Based Complementary and Alternative Medicine. 2012;1-8.
-
32. Benedikt et al. Response Inhibition in Pedophilia: An fMRI Pilot Study. Neuropsychobiology. 2013; 68:228–37.
-
33. Michael. Meditation and Psychiatry. Clinical Instructor in Psychiatry. Harvard Medical School. 2008;1-14.
-
34. Liu. Clinical Review: Pedophilia and brain function. UBCUJP. 2012; 1:1-6.
-
35. Craig Mehrmann and Rakesh Karmacharya. Principles and Neurobiological Correlates of Concentrative, Diffuse, and Insight Meditation. Harvard Review of Psychiatry. 2013; 4(21):205-18.
-
36. Leary MR, Adams CE, Tate EB. Hypo-egoic selfregulation: Exercising self-control by diminishing the influence of the self. J Pers. 2006; 74:1803–31.
-
37. Deshmukh. Neuroscience of meditation. Sci World J. 2006; 6:2239–53.
-
38. Ospina MB, Bond K, Karkhaneh M, et al. Meditation practices for health: state of the research. Evid Rep Technol Assess. 2007;(155):1–263.
-
39. Lee SH, Ahn SC, Lee YJ, et al. Effectiveness of a meditation-based stress management program as an adjunct to pharmacotherapy in patients with anxiety disorder. J Psychosom Res.
2007;62(2):189–95.
-
40. Evans S, Ferrando S, Findler M, et al. Mindfulnessbased cognitive therapy for generalized anxiety disorder. Journal of anxiety disorders. 2008;22(4):716-721.
-
41. Carmody and Baer RA. Relationships between mindfulness practice and levels of mindfulness, medical and psychological symptoms and wellbeing in a mindfulness-based stress reduction program. Journal of behavioral medicine. 2008;
31(1):23-33.
-
42. Pagnoni G, Cekic M. Age effects on gray matter volume and attentional performance in Zen meditation. Neurobiol Aging. 2007; 28:1623–7.
-
43. Cloninger CR. Spirituality and the science of feeling good. South Med J. 2007; 100:740–3.
-
44. Brown DP. Mastery of the mind east and west: Excellence in being and doing and everyday happiness. Ann N Y Acad Sci. 2007 Sep 28.
-
45. Lau MA, McMain, S. F. Integrating mindfulness meditation with cognitive and behavioural therapies: The challenge of combining acceptance-and change-based strategies. Can J Psychiatry. 2005; 50:863–9.
-
46. Grepmair L, Mitterlehner F, Rother W, Nickel M. Promotion of mindfulness in psychotherapists in training and treatment results of their patients. J Psychosom Res. 2006; 60:649–50.
-
47. Dilwar Hussain and Braj Bhushan. Psychology of Meditation and Health: Present Status and Future Directions. International Journal of Psychology and Psychological Therapy. 2010; 10(3):439-451.
-
48. Alexander Sartorius, Matthias Ruf, Christine Kief, Traute Demirakca, Josef Bailer, Gabriele Ende, Fritz A. Henn, Andreas Meyer-Lindenberg, Harald Dressing. Abnormal amygdala activation profile in pedophilia. Eur Arch Psychiatry Clin Neurosci. 2008; 258:271–277.
-
49. Spinella, Marcello. The role of prefrontal systems in sexual behavior. Intern. J. Neuroscience. 2007;
117:369–385.
-
50. Poeppl, Timm B., Simon B. Eickhoff, Peter T. Fox, Angela R. Laird, Rainer Rupprecht, Berthold Langguth and Danilo Bzdok. Connectivity and Functional Profiling of Abnormal Brain Structures in Pedophilia. Human brain mapping.
2015;36(6):2374-86.
-
51. Poeppl, Timm B., Berthold Langguth, Angela R. Laird, Rainer Rupprecht, Adam Safron, Danilo Bzdok, Simon B. Eickhoff. The neural basis of sex differences in sexual behavior: A quantitative metaanalysis. Frontiers in Neuroendocrinology. 2016;
43:28–43.
-
52. Bao and Swaab. Sexual differentiation of the human brain: relation to gender identity, sexual orientation and neuropsychiatric disorders. Front. Neuroendocrinol. 2011; 32:214–226.
-
53. Cristiano Crescentini, Alessio Matiz & Franco Fabbro. Improving personality/character traits in individuals with alcohol dependence: The influence of mindfulness-oriented meditation. Journal of Addictive Diseases. 2015; p.1-32.
-
54. Hines. Sex-related variation in human behavior and the brain. Trends Cogn. Sci. 2010; 14:448–56.
Essence of Scientific Medical Journal
25
Discussion and feedback