IDENTIFIKASI SEKS RASIO TUKIK PENYU HIJAU (Chelonia mydas) DAN PENYU BELIMBING (Dermochelys coriacea) DI BERBAGAI PANTAI PENELURAN UTAMA DI INDONESIA
on
ECOTROPHIC • 5 (2) : 134 - 138
ISSN : 1907-5626
IDENTIFIKASI SEKS RASIO TUKIK PENYU HIJAU (Chelonia mydas) DAN PENYU BELIMBING (Dermochelys coriacea) DI BERBAGAI PANTAI PENELURAN UTAMA DI INDONESIA
Studi kasus di pantai Sukamade - Jawa timur; Pulau Sangalaki - Kalimantan Timur dan Suaka Marga Satwa Jamursba Medi - Papua Barat
DWI Suprapti 1), I.B. WindiaAdnyana 2), I. Wy.ARTHANA 2) 1; WWF Indonesia
2! Program Magister flmu Lingkungan Pmgram Pascasarjana Unud
ABSTRACT
Sex ratio is highly dependent on incubation temperature. The optimum temperature of 28 ° C - 30 ° C can result in sex ratio 1: 1. The high temperature will be produced predominantly female hatchlings, and vice versa. The incubation temperatures influenced by some environmental factors such as rainfall, air temperature, air humidity, sand temperature, sand humidity, sand type and vegetation. This research carried out at the Sukamade beach - East Java, Sangalaki island - East Kalimantan and Jamursba Medi beach - West Papua_
Results showed the unbalanced sex ratio of sea turtle hatchlings in each of study area. The Sukamade beach generated 75% of male hatchlings in nests under vegetation, 100% female hatchlings in the nest on open beaches, and 87.5% male hatchlings in the hatchery. While the sex ratio of hatchlings produced on Sangalaki island are 100% male in nests under vegetation, 72.22% male hatchlings in the nest on open beaches and 94.44% male hatchlings in the hatchery. On the Jamursba Medi beach produced 90.9% male hatchlings from nests on open beaches.
Based on correlation analysis, a significant correlation showed between sex ratio and incubation temperature with significance of 0.01. While there is no significance correlation showed between sex ratios by environmental factors, with significance of 0.942 for the air temperature variable, 0.340 for the air humidity, 0292 for amount of the rainfall, 0799 for the sand fraction, and 0.331 for the sand humidity. All of these significance are greater than 0.05.
Keywords: Sex ratio, temperature, environmental factors.
PENDAHULUAN
Indonesia merupakan negara yang kaya akan spesies penyu. Dari tujuh spesies penyu yang ada di dunia enam diantaranya berada di perairan Indonesia. Akan tetapi keberadaan semua spesies penyu telah menga-larni penurunan populasi yang cukup tinggi, bahkan telah dikatagorikan terancam punah (IUCN, 2007). Oleh karena itu, semua spesies penyu laut diberikan perlindungan baik nasional (UU no. 5 th.1990 clan PP 7, 8 th.1999) maupun internasional (Appendix I CITES).
Ancaman yang menyebabkan penurunan populasi penyu selain oleh faktor intrinsik (internal individu penyu) juga dapat disebabkan oleh faktor ekstemal yaitu alam clan anthropogenik (manusia). Oleh karena ancaman yang begitu komplek inilah, maka dibutuhkan penanganan yang serius untuk tetap menjaga kelestarian populasi penyu di alam, salah satunya dengan melakukan upaya konservasi pada habitat peneluran ( nesting site) seperti yang dilakukan di berbagai pantai peneluran utama di Indonesia.
Adapun pantai-pantai peneluran utama di Inda-
nesia yang telah melakukan upaya konservasi penyu adalah pantai Sukamade -Jawa Timur, pulau Sangalaki-Kalimantan Timur clan Suaka Marga Satwa Jamursba Medi - Papua Barat. Upaya tersebut setidaknya telah membawa hasil berupa penyelamatan sarang telur dari ancaman predator maupun abrasi serta produksi tukik yang maksimal. Namun untuk meningkatkan meneje-men konservasi penyu di habitat peneluran, tidak hanya dibutuhkan sarang dan tukik yang maksimal tetapi dibutuhkan pula seks rasio tukik yang optimal.
Menurut Limpus (2002) bahwa seks rasio yang optimal dalam satu sarang adalah apabila menghasilkan jantan : betina = 1 : 1 atau setidaknya menghasilkan jantan : betina = 3 : 7. Untuk memperoleh hasil yang optimal maka diperlukan pula temperatur inkubasi yang optimum, sebab menurut Larios (1999) bahwa penyu memiliki tipe penentuan jenis kelamin yang dipengaruhi oleh lingkungan ( environmental sex de-termination/ ESD) clan temperatur inkubasi adalah komponen utama penentu jenis kelarnin atau dikenal dengan istilah Temperature-dependent Sex Determination (TSD).
Temperatur optimum (pivotal temperature) adalah
I
temperatur yang dibutuhkan untukmenghasilkan tukik jantan: betina = 1 : 1 atau 50%: 50% (Larios, 1999). Temperatur optimum dapat dicapai pada rentang suhu 28° - 30°C.Apabila temperaturmeningkat diatas rentang tersebut (> 30° C) maka akan menghasilkan dominan tukik betina, begitu pula sebaliknya apabila temperatur rendah (< 28° C) akan menghasilkan dominan tukik jantan atau bahkan 100% jantan. Dikhawatirkan apabila seks rasio didorninasi oleh salah satu jenis kelarnin, maka dapat menyebabkan deplesi jenis kelamin lainnya yang berdampak terhadap putusnya siklus reproduksi clan berujung pada kepunahan populasi penyu di alam. Oleh karenanya temperatur sarang pada masa inkubasi telur menjadi penting dalam menentukan persentase seks rasio tukik.
Temperatur sarang/ temperatur inkubasi tidak hanya terbentuk akibat adanya pertukaran gas antara telur clan udara sarang namun dapat pula dipengaruhi oleh faktor lingkungan yang meliputi temperatur udara, kelembaban, curah hujan, vegetasi clan tekstur pasir. Dengan dernikian faktor lingkungan turut berperan terhadap perubahan temperatur pasir sarang clan mempengaruhi temperatur inkubasi sebagai penentu jenis kelarnin tukik.
Berdasarkan informasi tersebut maka diperlukanlah penelitian lebih lanjut mengenai seks rasio tukik yang dihasilkan di habitat peneluran. Diharapkan dari penelitian ini dapat memberikan kontribusi positif dalam meningkatkan menejemen konservasi penyu di berbagai pantai peneluran utama di Indonesia.
METODOLOGI PENELITIAN
Penelitian terdiri dari dua bagian, yaitu penelitian lapangan clan laboratorium. Penelitian lapangan dilaksanakan di pantai Sukamade - Jawa Timur, Pulau Sangalaki-Kalimantan Timur clan Suaka Marga Satwa Jamursba Medi - Papua Barat. Penelitian laboratorium dilaksanakan di Laboratorium patologi Balai Besar Veteriner Bali clan Fakultas Kedokteran Hewan Universitas Udayana serta Laboratorium Tanah Fakultas Pertanian Universitas Udayana.
Identifikasi seks rasio dilakukan dengan pemeriksaan terhadap 17(tujuh belas) sampel sarang dengan tiga type sarang berbeda yaitu sarang di pasir terbuka, sarang di bawah vegetasi clan sarang di penetasan (hatchery). Tukik menetas diambil secara acak sejurnlah 4(empat) sampel per sarang. Kemudian dilakukan pembedahan untuk pengambilan sampel gonad clan diawetkan dalam Neutral Buffered Formalin (NBF) clan kemudian diproses di laboratorium untuk pembuatan preparat gonad sehingga jenis kelamin sampel dapat diidentifikasi menggunakan rnikroskop. Pengukuran paramater lingkungan terkait seperti temperatur inkubasi diukur dengan data logger, kelembaban dengan hygrometer, temperatur udara
dengan termometer digital, temperatur pasir dengan termometer alkohol tanah, analisis fraksi pasir sarang dengan menggunakan metode pipet clan ayakan serta warna pasir dengan menggunakan Munsell Colour Chart clan observasi terhadap tingkat kerapatan vegetasi. Semua parameter lingkungan dikorelasikan dengan seks rasio yang dihasilkan.
HASIL DAN PEMBAHASAN
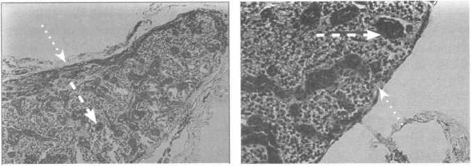
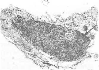
Hasil penentuan jenis kelarnin tukik di pantai peneluran utama di Indonesia berdasarkan pembacaan preparat histologi gonad (Gambar 1, 2 &3) disajikan pada Tabel l.
Hasil Pengamatan faktor lingkungan dan analisis statistik korelasi faktor lingkungan dengan seks rasio di pantai peneluran utama di Indonesia, disajikan pada Tabel 2.
Hasil diagnosis menunjukkan seks rasio yang diamati di pantai Sukamade pada sarang dibawah vegetasi menghasilkan 75 %jantan, pada sarang di pasir terbuka menghasilkan 100% betina dan sarang di penetasan menghasilkan 87.5 % jantan. Seks rasio yang diamati di Sangalaki menghasilkan 100 % jantan pada sarang dibawah vegetasi, 72.22 % jantan di sarang terbuka clan 94.44 % jantan di penetasan. Seks rasio yang diamati di Jamursba Medi menghasilkan 90.9 % tukik jantan pada sarang alarni terbuka.
Seks rasio yang dihasilkan diberbagai pantai peneluran sangat dipengaruhi oleh kondisi temperatur inkubasi. Godfrey, 1997 menyatakan bahwa seks rasio kelahiran penyu ditentukan oleh temperatur, dimana pada masa inkubasi telah memasuki TSP clan temperatur sarang berada pada kondisi di atas pivotal maka akan merangsang pembentukan tukik betina lebih dominan, begitu pula sebaliknya. Untuk menghasilkan seks rasio 1 : 1 pada penyu Hijau dapat dibentuk pada rerata temperatur 28.26°C (Ackerman, 1997). Sedangkan penyu Belimbing seks rasio 1 : 1 dihasilkan pada temperatur 29,4°C (Binckley et al, 1998). Pada seluruh sampel sarang yang digunakan dalam penelitian ini tidak menunjukkan adanya keseimbangan seks rasio atau didominasi oleh satu jenis kelarnin (ekstrim). Padahal diharapkan penetasan yang baik setidaknya menghasilkan 70 % betina (Limpus, 2002).
Hubungan yang erat antara seks rasio yang dihasilkan diberbagai pantai peneluran utama di Indonesia dengan temperatur inkubasi terbukti berdasarkan analisis korelasi yang menunjukkan adanya hubungan antara seks rasio clan temperatur inkubasi (lampiran 9). Hal lain yang memperkuat hubungan tersebut adalah dilihat dari masa inkubasi sarang telur penyu, sebab antara seks rasio, temperatur inkubasi clan masa inkubasi merniliki keterkaitan yang sangat erat. Menurut Godfrey, 1997 menyatakan bahwa semakin tinggi temperatur maka akan menghasilkan dorninan tukik betina
Tabel. 1 Data Hasil ldentifikasi Jenis Kelamin Tukik Penyu (Seks Rasia) di Berbagai Pantai Peneluran Utama di Indonesia
Tipe Sarang |
Sukamade Sangalaki Jamursba Medi Penyu Hijau Penyu Belimbing Jumlah Jantan Betina Persentase Jumlah Jantan Betina Persentase Jumlah Jantan Betina Persentase Jantan Jantan Jantan |
Sarang di bawah Vegetasi Sarang Terbuka Penetasan |
8 6 2 75% 18 18 0 100% T T T T 8 0 8 100% 18 13 5 72.22% 11 10 1 90.90% 8 7 1 87.5% 18 17 1 94.44% t t t t |
Ket: t : tidak ditemukan sarang T: Tidak dilakukan Pengamatan

Gambar 1:Histologi gonad Jantan perbesa- Gambar 2:Histologi gonad Jantan perbesaran ran 100 X. 400 X.
Keterangan : = ·····)Epithelial surface (Epitel Squamous Simplex), - 7= Seminiferous Cord, ^= Epithelial surface (Epitel Columner complex)

Gambar 3:Histologi gonad Betina perbesaran 40 X.
Tabel 2 Data Pengamatan Faktor Lingkungan dan Korelasinya Terhadap Seks Rasia Tukik di Berbagai Pantai Peneluran Utama di Indone sia
Faktor Lingkungan |
v |
Sukamade T |
p |
v |
Sangalaki T |
p |
Jamursba Medi v T p |
5& \^ |
Sig. FL & Tl | ||
Temperatur lnkubasi (QC) |
28.84 |
31.48 |
28.98 |
27.47 |
29.06 |
27.88 |
tp |
28.7 |
tp |
0.01 |
0.01 |
Temperatur Udara (QC) |
29.59 |
30.35 |
29.45 |
28.22 |
32.5 |
34.2 |
tp |
tp |
tp |
0.942 |
0.926 |
Kelembaban Udara (%) |
59.4 |
57.81 |
66.45 |
70.6 |
61.5 |
58.2 |
tp |
tp |
tp |
0.34 |
0.183 |
Kelembaban pasir (%) |
4.26 |
4.44 |
2.65 |
9.89 |
6.63 |
10.22 |
tp |
4.54 |
tp |
0.353 |
0.15 |
Fraksi Pasir |
halus |
halus |
Halus |
Sedang |
kasar |
halus |
sedang |
sedang |
sedang |
0.799 |
1 |
Temperatur Pasir (QC) |
tp |
tp |
tp |
25.9 |
29.7 |
30.1 |
tp |
tp |
tp | ||
Warna Pasir |
sedang |
sedang |
Sedang |
terang |
terang |
terang |
gelap |
gelap |
gelap | ||
Tingkat kerapatan naungan 5 sedang |
terbuka |
rapat |
rapat |
terbuka |
terbuka |
Rapat |
terbuka |
tertutup | |||
Curah Hujan (mm/ hari) |
30.23 |
19.11 |
tp |
0.292 |
0.172 |
Ket:
V = Vegetasi, T = Terbuka, P = Penetasan, FL= Faktor Lingkungan, SR= Seks Rasio, Tl= Temperatur lnkubasi
dengan waktu inkubasi dan laju perkembangan embrio yang lebih cepat (< SS hari), begitu pula sebaliknya semakin rendah temperatur maka akan menghasilkan dominan tukik jantan dengan waktu inkubasi dan laju perkembangan yang lebih lambat (>SS hari). Oleh karena itu penelitian seks rasio ini terbukti kebenarannya berdasarkan kekuatan hubungan antara seks rasio, temperatur inkubasi dan masa inkubasi yang ditunjukkan pada setiap sampel sarang.
Dengan demikian mengingat pentingnya temperatur yang optimal pada proses kelahiran tukik penyu, diharapkan kepada pengelola konservasi penyu di setiap pantai peneluran untuk selalu memperhatikan temperatur agar tetap optimal sehingga seks rasio yang diinginkan bisa terwujud yakni perbandingan seks rasio 1 : 1 atau setidaknya jantan : betina = 3 : 7 (70% betina). Jika ini terwujud maka penurunan populasi penyu dapat ditekan dari segi proporsional penyu di
alam.
Berdasarkan data pengamatan faktor lingkungan yang diperoleh, diketahui bahwa tidak ada hubungan faktor lingkungan yaitu temperatur udara, kelembaban udara, curah hujan, fraksi pasir, kelembaban pasir clan temperatur pasir dengan seks rasio tukik penyu pada tiga daerah peneluran. Hal ini ditunjukkan dengan hasil signifikasi variabel temperatur udara sebesar 0,942, kelembaban udara sebesar 0,340, curah hujan sebesar 0.292, fraksi pasir sebesar 0.799, kelembaban pasir sebesar 0,331 dan temperatur pasir sebesar 0,428 yang semuanya lebih besar dari 0,05.
Menurut Miller, 1985 bahwa kondisi fi.sik pantai (faktor lingkungan) sangat berpengaruh terhadap keberhasilan inkubasi telur penyu. Pak.tor utama yang menjadi perhatian dalam studi sarang penyu adalah salinitas, temperatur, kelembaban, pertukaran gas, curah hujan, erosi, predasi, cahaya dan pasang surut air laut.
Kondisi lingkungan sarang (temperatur udara, kelembaban udara, curah hujan, fraksi pasir, kelembaban pasir clan temperatur pasir) dapat mempengaruhi kondisi temperatur inkubasi. Menurut Miller, 1985 bahwa semakin tinggi temperatur udara maka akan mampu meningkatkan temperatur pasir sehingga temperatur inkubasi juga akan meningkat maka berpengaruh pula terhadap seks rasio kearah betina. Namun pada penelitian ini tidak menunjukkan hubungan tersebut, hal ini dapat terjadi mengingat kedalaman sarang yang cukup dalam yaitu 70 cm -90 cm dari permukaan pantai sehingga temperatur diluar sarang tidak mempengaruhi secara langsung terhadap temperatur inkubasi clan seks rasio yang dihasilkan. Penjelasan yang sama juga terjadi pada faktor lingkungan yang lain yaitu kelembaban udara, curah hujan, serta fraksi, warna clan kelembaban pasir. Disamping itu juga tidak adanya hubungan antara faktor lingkungan dengan seks rasio tukik yang diproduksi dapat disebabkan adanya kelemahan dari sudut me-todelogi yang berkaitan dengan sedikitnya jumlah sampel yang dipergunakan serta perolehan data yang tidak sama pada setiap pantai peneluran.
Berdasarkan hasil pengamatan faktor lingkungan bahwa pantai Sukamade mengalarni kenaikan temperatur udara yang cukup tinggi (25° C - 45° C) clan hampir sepanjang pantai mengalarni kerusakan vegetasi pantai akibat abrasi. Sehingga sarang alam di pantai Sukamade rentan terhadap penurunan daya tetas clan kematian embrio akibat intrusi air laut kedalam sarang serta seks rasio disarang alarni menunjukkan kondisi yang sangat ekstrim yaitu 100% betina. Oleh karenanya upaya relokasi sarang pada penetasan semi alami sangat dibutuhkan agar sarangtelur terselamatkan dari kematian embrio clan seks rasio yang ekstrim. Namun kondisi penetasan di Sukamade yang saat ini sudah berjalan selama kurang lebih 4 tahun tidak cukup memadai (tidak sesuai prosedur) mengingat penetasan berada didalam sebuah bangunan bertembok semen dengan naungan (atap) tertutup 100% sehinga cahaya matahari tidak dapat menembus sarang, akibatnya pasir menjadilembab clan berpeluang terhadap berkembangnya bakteri clan penurunan daya tetas. Selain itu tukik yang menetas pada penetasan di Sukamade mengalarni penurunan tingkat agresif (swimmingfrenzi) clan seks rasio tukik yang dihasilkan dorninan jantan .
Pada pantai Sangalaki pengamatan kondisi lingkungan menunjukkan temperatur inkubasi yang sangat rendah terutama pada sarang dibawah vegetasi sehingga seks rasio cenderung ekstrim kearah jantan. Berdasarkan pengamatan kebiasaan induk Penyu yang bertelur di Sangalaki hampir 100% bersarang dibawah vegetasi dibandingkan di pantai terbuka. Oleh karenanya sebagian besar sarang telur penyu yang berada di bawah vegetasi dengan tingkat kerapat vegetasi yang tinggi perlu dilakukan upaya relokasi
sarang agar seks rasio yang dihasilkan tidak didominasi oleh tukik jantan yang lambat laun akan menyebabkan deplesi pada tukik betina sehingga berdampak pada kepunahan.
Pada pantai Jamursba Medi menunjukkan bahwa hampir 100 % induk penyu Belimbing bertelur di Pantai terbuka, oleh karena itu penelitian ini tidak mengamati sarang di bawah vegetasi dikarenakan tidak dijumpainya induk penyu yang bertelur mencapai vegetasi pantai clan hampir 40% diantaranya induk penyu bertelur dibawah batas pasang tertinggi air laut clan berpeluang terhadap pembusukan telur clan/ atau tidak berkembangnya embrio. Sehingga diperlukan upaya relokasi sarang pada sebagai besar sarang telur yang berada dibawah batas pasang agar embrio pada telur dapat berkembang dengan baik.
SIMPULAN DAN SARAN
Simpulan:
-
1) Seks rasio tukik yang dihasilkan di berbagai pantai peneluran di Indonesia adalah: pada pantai Suka-made yaitu sarang di bawah vegetasi, sarang di pantai terbuka clan sarang di penetasan menghasilkan seks rasio jantan: betina masing-masing 6: 2 (75% jantan), 0: 8 (0% betina) clan 7: 1 (87.5% jantan), sedangkan pada pantai Sangalaki menghasilkan seks rasio masing-masing 18: 1 (100% jantan), 13 : 5 (72.2% jantan) clan 17: 1 (94.44% jantan). Seks rasio di pantaiJamursba Medi yaitu pada sarang di pantai terbuka menunjukkan jantan : betina = 10: 1 (90.9% jantan).
-
2) Adanya hubungan antara seks rasio clan temperatur inkubasi dengan signifikansi sebesar 0.01 clan tidak adanya hubungan antara seks rasio dengan faktor lingkungan, dengan signifikansi variabel temperatur udara sebesar 0,942, kelembaban udara sebesar 0,340, curah hujan sebesar 0.292, fraksi pasir sebesar 0.799, kelembaban pasir sebesar 0,331 clan suhu pasir sebesar 0,428 yang semuanya lebih besar dari 0,05.
Saran:
-
1. Pada pantai Sukamade perlu segera melakukan restorasi hutan pantai/ penghijauan berkala, guna menjaga keutuhan pantai dari abrasi serta menekan suhu pantai hingga berada pada temperatur yang optimum yaitu 28 °C - 30 °C Can pada penetasan buatan perlu dilakukan perubahan konstruksi bangunan, sistem penetasan clan sistem pemeliharaan sesuai prosedur konservasi penyu laut untuk mempertahankan survival penyu hingga mencapai dewasa.
-
2. Pada pantai Sangalaki diharapkan melakukan pendataan temperatur sarang disetiap sektor pantai (dibawah vegetasi) untuk mengetahui
temperatur inkubasi sarang, dalam upaya menjaga keseimbangan seks rasio tukik yaitu setidaknya 70% betina clan temperatur berada diantara 28 °C - 30 °C, mengingat hampir 100% sarang di Sangalaki berada dibawah vegetasi dengan tingkat kerapatan kanopi tinggi clan memiliki temperatur rendah. Jika terbukti seluruh area di bawah vegetasi memiliki temperatur rendah ( <28 °C) maka perlu segera dilakukan relokasi sarang pada penetasan yang kondusif clan sesuai prosedur.
-
3. Pada pantaiJamursba medi harus segera melakukan perbaikan menejemen konservasi penyu dengan upaya merelokasi seluruh sarang telur penyu Belimbing yang berada dibawah batas pasang air laut ke tempat yang aman clan kondusif untuk penetasan telur penyu, mengingat hampir 100% sarang berada dibawah batas pasang air laut.
-
4. Pada seluruh pengelola pantai peneluran di Indonesia perlu terus dilakukan pengembangan kapasitas berbasis penyu bagi petugas agar pemahaman akan prosedur konservasi penyu dapat berjalan dengan maksimal.
DAFTARPUSTAKA
Ackerman, R.A. (1997). The Nest Environment and the Embryonic Development ofSea Turtles. In: The Biology of Sea Turtles. P.L. Lutz andJ.A. Musick. CRC Press, Inc. USA.
Binckley, C. A., J.R. Spotila., K. S. Wilson. And F.V. Paladino. (1998). Sex Determination and Sex Ratios of Pacific Leatherback Turtles, Dermochelys coriacea. Copeia, Vol. 1998, No. 2, pp. 291-300.
Godfrey, M. H. (1997). Sex Ratios of Sea Turtle Hatchlings: Direct and Indirect estimates. Ph.D. Thesis, Dept. of Zoology, University ofToronto.
IUCN. (2007). The IUCN Red List of Threatened Species. IUCN the World Concervation Union. http:/ /www. iucnredlist.org/info/programme diakses tanggal 19 Januari 2008.
Larios, H.M. (1999). Determining Hatchling Sex. In: Research and Management Techniques for the Conservation of Sea Turtles. Pub! No.4. K. L.Eckert; K.A. Bjorndal; F.A.A.Grobois, and M. Donnelly. IUCN/SSC Marine Turtle Specialist Group. P.130-135.
Lirnpus, C. J. (2002). SEAFDEC Regional Training Course on Marine Turtles Terengganu, 24-31 August 1998. In: Kompilasi Materi Pelatihan Biologi dan Konservasi Penyu Tiga Negara. WWF Sulu Sulawesi Marine Ecoregion (Indonesia, Malaysia, Filipina). Kep.Derawan-Kalirnantan Timur.
Miller,]. D. (1985). Embryology ofMarine Turtles. Chapter 4. In: Biology ofthe Reptilia. Volume 14. Development A. A. Wiley-Interscience Puhl.John Wiley and Sons. USA.
138
Discussion and feedback