Buletin Veteriner Udayana

ISSN : 2085 - 2495

Vol. 5 No. 2

Agustus 2013

Histopatologi Ginjal Tikus Putih Akibat Pemberian Ekstrak Pegagan(Centella asiatica) Peroral

(HISTOPATHOLOGICAL KIDNEY OF RAT WHITE THE EFFECT OF THE PEGAGAN (Centella asiatika) EXTRACT AGAINST PERORAL)

Ni Luh Putu Ratna Suhita1, I Wayan Sudira2,Ida Bagus Oka Winaya3

1) Mahasiswa FKH Unud, 2)Lab farmakologi, 3) Lab. Phatologi Fakultas Kedokteran Hewan, Universitas Udayana, Denpasar, Bali

E-mail :tongkici@gmail.com

ABSTRAK

Pegagan merupakan tanaman herbal yang sering dimanfaatkan oleh masyarakat Indonesia sebagai obat alternatif untuk mengobati berbagai macam penyakit. Penelitian tentang toksisitas tanaman pegagan pada ginjal belum pernah dilakukan.Adapun tujuan dari penelitian ini adalah untuk mengetahui adanya perubahan histopatotogi pada ginjal tikus putih setelah pemberian ekstrak pegagan (Centella asiatica) peroral.Tikus putih (Rattus norvegicus)sebanyak 30 ekordibagi secara acak menjadi lima kelompok, kelompok A sebagai control (placebo) yang diberi aquades peroral; kelompok B yang diberikan ekstrak pegagan 100 mg/kg bb (0,2 ml/ekor); kelompok C yang diberikan ekstrak pegagan dosis 200 mg/kg bb (0,4 ml/ekor); kelompok D yang diberikan 300 mg/kg bb (0,6 ml/ekor); dan kelompok E yang diberikan ekstrak pegagan dosis 400 mg/kg bb (0,8 ml/ekor).Nekropsi untuk pengambilan organ ginjal dilakukan pada hari ke-9.Jaringan ginjal selanjutnya diproses untuk pembuatan preparat histopatologi dengan pewarnaan Hemaktosilin Eosin (HE).Hasil pemeriksaan histopatologi pada ginjal tikus putih yang diberikan ekstrak pegagan, tidak ditemukan adanya degenerasi melemak, degenerasi hidrofik, dan nekrosis baik pada kontrol (placebo) maupun pemberian dosis 0,2 ml; 0,4 ml; 0,6 ml; 0,8 ml.Hasil ini menunjukkan bahwapemberian ekstrak pegagan (Centella asiatica) dengan rentang dosis 100 mg/kg bb sampai dengan dosis 400 mg/kg bb selama 9 hari, tidak menyebabkan gangguan histopatologi pada organ ginjal tikus putih (Rattus novegicus).

Kata kunci : ginjal, tikus, Centella asiatica.

ABSTRACT

Pegagan plantoftenused by the communityas an alternative medicine to treat various diseases.Whileresearch on thetoxicityto the kidney pegagan leaf has not been done. In this study the whiterat (Rattus norvegicus) were divided random lyinto fivegroups, each group total detail. Agroup as a control (placebo) whowere given distilled waterorally; group B given leaf extract pegagan 100mg/kg bb (0.2ml/ head); group C given leaf extract pegagan 200mg/kg bb (0.4ml/ head); group D given leaf extract pegagan 300mg/kg bb (0.6ml/ head); group E given leaf extract pegagan 400mg/kg bb (0.8ml/ head). Necropsy for organ retrieval of kidney performed on day15. Renal tissue further processed for the manufacture of coloring preparations histopathology with HematoxylinEosin(HE). Histopathological examination of the kidneys of white rats given leaf extract pegagan, did not reveal any fat degeneration and

necrosis of both the control (placebo) and administration at a dose of 0.2 ml;0.4 ml; 0.6 ml; 0,8 ml.These resultsindicateleafextract pegagan(Centella asiatica) with arange of doses of 100mg/kg untila dose of 400mg/kg bb for 9 days, did not caus erenal histopathology in organs of white rats(Rattus novegicus).

Keywords: Kidney, Whiterats, Centella asiatica.

PENDAHULUAN

Indonesia memiliki jutaan spesies tanaman yang memiliki khasiat untuk menyembuhkan berbagai macam penyakit.Tanaman herbal yang berkhasiat ini juga memiliki kelebihan yakni efek sampingnya lebih rendah dibanding obat kimia.Kandungan pada bahan alami umumnya bersifat seimbang dan saling menetralkan.Jadi, efek samping obat herbal jauh lebih kecil dibandingkan dengan obat sintesa (Rifatul,2009).

Pegagan (Centella asiatica) telah lama dimanfaatkan sebagai obat tradisional baik dalam bentuk bahan segar, kering maupun yang sudah dalam bentuk ramuan (jamu). Selama ini, pegagan dimanfaatkan sebagai obat penyembuh luka.Banyaknya manfaat tanaman ini nampaknya berkaitan dengan banyaknya komponen minyak atsiri seperti sitronelal, linalool, neral, menthol, dan linalil asetat yang terkandung dalam pegagan.Pegagan digunakan sebagai anti-infeksi, anti-toksik, penurun panas(antipiretik), dan peluruh kencing (diuretik).Tetapi pegagan juga memiliki

sifat narkotis sehingga dalam pemakaiannya harus sangat hati-hati. Selain itu pemberian dalam dosis yang tinggi dapat menyebabkan pasien menjadi pening (Januwati dan Yusron, 2005).

Keracunan obat dapat mengakibatkan kerusakan pada fungsiberbagai organ.Hal yang umum terjadi adalah nefrotoksisitas (keracunan pada ginjal), neurotoksisitas, hepatotoksisitas, imunotoksisitas, dan kardiotoksisitas (Dian,2010).Penggunaan obat tradisional khususnya pegagan dengan dosis serta interval waktu pemberian tertentu dapat memberikan efek atau indikasi yang berbeda pada organ.Efek toksik obat herbal bisa dihindari jika cara pemakaiannya benar dan sudah diuji baik secara praklinik dan uji klinik, seperti dilakukan pada obat kimia (Rifatul,2009). Ginjal merupakan organ kedua setelah hepar, yang paling sering menjadi sasaran perusakan oleh zat – zat kimia.Hal ini disebabkan banyak zat kimia yang diekskresikan melalui urine (Gerhastuti, 2009).

Ginjal adalah organ yang mempunyai peran penting dalam tubuh untuk membuang sampah metabolisme dan racun tubuh dalam bentuk urin / air seni. Selain itu, ginjal juga berperan dalam mempertahankan keseimbangan air, garam dan elektrolitserta , tidak kalah pentingnya ginjal merupakan kelenjar endokrin yang sedikitnya mengeluarkan tiga hormon. Ginjal merupakan organ tubuh yang rentan terhadap pengaruh zat-zat kimia, karena organ ini menerima 25-30 % sirkulasi darah untuk dibersihkan, sehingga sebagai organ filtrasi kemungkinan terjadinya perubahan patologik sangat tinggi (Corwin, 2001).

Penggunaan obat herbal khususnya pegagan dengan dosis interval waktu tertentu diduga akan memberikan efek atau indikasi yang berbeda pada organ-organ tubuh termasuk ginjal. Oleh karena itu penelitian ini dirancang untuk mengetahui agar bisa mengetahui efek dari pemberian eksrak pegagan dalam beberapa dosissecara oral terhadap perubahan histopatologi organ ginjal.

METODE PENELITIAN

Persiapan dan Perlakuan

Tikus putih yang digunakan adalah tikus putih jantan, umur 6-8 minggu dengan bobot badan 250-300 gram. Kelompok ini

dibagi lagi menjadi 5 kelompok berdasarkan dosis pemberian yaitu kelompok A sebagai kontrol yang diberi aquades, kelompok B diberikan ekstrak pegagan100 mg/kg bb ( 0,2 ml/ekor), kelompok C diberikan ekstrak pegagan dosis 200 mg/kg bb (0,4 ml/ekor ), kelompok D diberikan ekstrak pegagan dosis 300 mg/kg bb ( 0,6 ml/ekor ), dan kelompok E diberikan ekstrak pegagan dosis 400 mg/kg bb ( 0,8 ml/ekor) dengan masing-masing kelompok perlakuan menggunakan 6 ekor tikus.

Masing-masing perlakuan diberi ekstrak pegagan secara per oral setiap hari. Pada hari ke 9 pemberian ekstrak pegagan dihentikan. Tikus kemudian dieutanasi menggunakan ketamin dan dilanjutkan dengan nekropsi. Setelah terbuka rongga abdomen, organ ginjal diambil dan dimasukkan kedalam pot yang sudah berisi Netral Buffer Formalin 10%.

Pembuatan Preparat Histologi Ginjal

Pembuatan preparat histopatologi dilakukan dengan cara organ ginjal difiksasi dengan menggunakan larutan Netral Buffer Formalin 10% kemudian dipotong dan dimasukkan ke dalam tempat specimen yang terbuat dari plastik. Selanjutnya dilakukan proses dehidrasi pada alkohol konsentrasi bertingkat yaitu alkohol 70%, 80%, 90% alkohol absolute I, absolute

II masing-masing 2 jam. Lalu dilakukan penjernihan dengan xylol kemudian dicetak menggunakan paraffin sehingga sediaan tercetak di dalam blok-blok paraffin dan disimpan dalam lemari es. Blok-blok paraffin tersebut kemudian dipotong tipis setebal5-6 µm menggunakan mikrotom. Hasil potongan diapungkan dalam air hangat bersuhu 60 0C untuk meregangkan agar jaringan tidak berlipat. Sediaan kemudian diangkat dan diletakkan dalam gelas objek untuk dilakukan pewarnaan Hematoxylin dan Eosin (HE). Selanjutnya diperiksa dibawah mikroskop.

Pemeriksaan Preparat Histopatologi

Pengamatan histopatologi jaringan ginjaldilakukan dengan cara membandingkan kelompok perlakuan dengan kelompok placebo. Adapun perubahan yang diamati adalah adanya degenerasi melemak (vakuolisasi), nekrosis dan degenerasi hidrofik. Untuk mendapatkan data kuantitatif, skoring dilakukan pada setiap perubahan yang di temukan.Skoring histopatologi untuk degenerasi melemak : 0 = degenerasi melemak tidak ditemukan; 1 = degenerasi melemak setempat (fokal) 2 = : degenerasi melemak merata (difusa).Skoring histopatologi untuk nekrosis ginjal ; : 0 = nekrosis tidak ditemukan; 1 = nekrosis

setempat (fokal); 2 = nekrosis setempat (difusa).Skoring histopatologi untuk degenerasi hidrofik: 0 = Degenerasi hidrofik tidak ditemukan; 1 = Degenerasi hidrofik setempat (fokal);2 = Degenerasi hidrofik merata (difusa).

Analisa Data

Hasil pemeriksaan mikroskopis berupa data skoring.Data hasil penelitian ditabulasi selanjutnya perubahan yang ditemukan dianalisis dan disajikan secara deskriptif.

HASIL DAN PEMBAHASAN

Hasil

Hasil pemeriksaan histopatologi pada ginjal tikus putih yang diberikan ekstrak pegagantidak ditemukan adanya nekrosis dan degenerasi melemak baik pada palcebo maupun pemberian dengan dosis 0,2 ml, 0,4 ml, 0,6 ml, 0,8 ml. Struktur ginjal secara umum tidak menunjukkan adanya perubahan histopatologi berupa degenerasi maupun nekrosis.

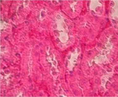
Gambar 1 Micrograph Ginjal yang diberi placebo Pembesaran 400x

  • a.    Kapsula bowman

  • b.    Glomelurus c. Tubulus renalis


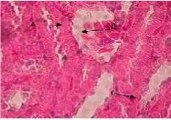
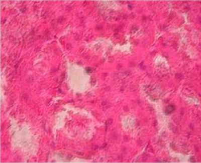
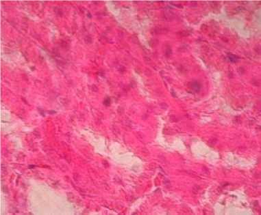
    Gambar 2 Micrograph ginjal yang diberi ekstrak pegagan 0,2 ml pembesaran 400x.


    Gambar 5 Micrograph ginjal yang diberi ekstrak pegagan 0,8 ml pembesaran 400x


    Gambar 3 Micrograph ginjal yang diberi Ekstrakpegagan 0,4 ml pembesaran 400x


    Gambar 4. Micrograph ginjal yang diberi Ektrak pegagan 0,6 pembesaran 400x


Pembahasan

Hasil penelitian menunjukkan bahwa berbagai dosis ekstrak pegagan yang diberikan pada tikus putih   tidak

menyebabkan adanya perubahan yang signifikan pada struktur histologi ginjal. Tidak ditemukan degenerasi maupun nekrosis pada semua kelompok perlakuan menunjukkan bahwa pemberian ekstrak pegagan (centella asiatica) dari dosis terkecil 0,2 ml sampai dosis tertinggi yaitu 0,8 tidak menimbulkan nefrotoksik.Ginjal merupakan organ tubuh yang vital.Hal ini disebabkan karena fungsinya untuk ekskresi sisa-sisa metabolisme Kerusakan ginjal karena zat toksik dapat d ntifikasi berdasarkan perubahanstruktur histologi, yaitu nekrosis tubular akut (NTA) yang secara morfologi ditandai dengan dekstruksi epitel tubulus proksimal.Sel epitel tubulus proksimal peka terhadap anoksia dan mudah 75

hancur karena keracunan akibat kontak dengan bahan-bahan yang diekskresikan melalui ginjal.Sel epitel tubulus proksimal peka terhadap anoksia dan mudah hancur karena keracunan akibat kontak dengan bahan-bahan yang diekskresikan melalui ginjal.Perubahan struktur histologi ginjal ini tentu dipengaruhi oleh jumlah senyawa yang masuk ke dalam tubuh. Faktor lain yang mungkin menyebabkan kerusakan ginjal adalah kemampuan ginjal untuk mengkonsentrasikan substansi xenobiotik di dalam sel. Jika suatu zat kimia disekresi secara aktif dari darah ke urin, zat kimia terlebih dahulu diakumulasikan dalam tubulus proksimal atau jika substansi kimia ini direabsorbsi dari urin maka akan melalui sel epitel tubulus dengan konsentrasi tinggi. Sebagai akibat dari proses pemekatan tersebut, zat-zat toksik ini akan terakumulasi di ginjal dan menyebabkankerusakan bagi ginjal (Yuanita,2008).

Tubulus proksimal merupakan bagian ginjal yang paling banyak dan paling mudah mengalami kerusakan pada kasus nefrotoksik.Hal ini dapat terjadi karena adanya akumulasi bahan-bahan toksik pada segmen ini dan karakter tubulus proksimal yang memiliki epitel yang lemah serta mudah bocor.Sehingga dapat disimpulkan bahwa kerusakan tubulus proksimal merupakan suatu hasil korelasi yang sangat

penting antara transpor segmental tubulus dengan akumulasi, toksisitas, serta reaksi obat pada sel-sel target tubulus proksimal (Pratsta, 2010).

Tidak adanya perubahan yang menunjukkan adanya nekrosis, degenerasi melemak dan degenerasi hidrofik menunjukkan bahwa pemberian ekstrak pegagan secara oral tidak menimbulkan toksisitas pada jaringan ginjal tikus putih.Dari hasil yang didapat ini sangat mendukung dalam penggunaan ekstrak pegagan bagi hewan maupun manusia karena dari hasil penelitian ekstrak pegagan terbukti aman.

Ditinjau dari perubahan histopatologi degenerasi melemak pada ginjal tidak menunjukkan adanya perubahan sampai dosis tertinggi 0,8 ml/ekor. Degenerasi melemak merupakan akumulasi lemak abnormal di dalam sitoplasma, vakuola besarnya variasi dan mendesak inti ketepi.Degenerasi melemak menggambarkan adanya penimbunan abnormal trigliserid dalam sel parenkim. Etiologi dari degenerasi melemak adalah toksin, malnutrisi protein, diabetes melitus, obesitas dan anoksia. Akibat perubahan perlemakan tergantung dari banyaknya timbunan lemak. Jika tidak terlalu banyak timbunan lemak maka tidak terjadi gangguan fungsi sel, tetapi jika terjadi timbunan lemak berlebihan, maka

menyebabkan perubahan perlemakan dalam sel dan dapat menyebabkan nekrosis.

Pengamatan histopatologi degenerasi hidrofik juga tidak menunjukkan adanya perubahan pada ginjal dari dosis 0,2 ml sampai 0,8 ml. Degenerasi hidrofik ditandai dengan adanya kebengkakan sel, adanya ruang-ruang kosong (vakuola), sel membesar dan merapat. Degenerasi hidrofik merupakan jejassel yang reversible dengan penimbunan intraseluler yang lebih parah jika disertai adanya albumin. Etiologinya sama dengan pembengkakan sel, hanya intensitas rangsangan patologik lebih berat dan jangka waktu terpapar rangsangan patologik lebih lama.Degenarasi hidrofik biasanya banyak terjadi pada sel-sel epitel.

Tidak adanya tanda-tanda nekrosis pada ginjal tikus putih yang diberi ekstrak pegagan dari dosis 0,2 ml - 0,8 ml,menunjukkan bahwa pemberian ekstrak pegagan secara oral tidak menimbulkan perubahan histopatologi pada jaringan ginjal tikus putih. Nekrosis merupakan kematian sel jaringan akibat jejas saat individu masih hidup. Secara mikroskopik terjadi perubahan intinya yaitu hilangnya gambaran khromatin, inti menjadi keriput, tidak vasikuler lagi, inti tampak lebih padat, warnanya gelap hitam (piknosis), inti terbagi atas fragmen-fragmen, robek (karioreksis), inti tidak lagi mengambil warna banyak

karena itu pucat tidak nyata (kariolisis) (Himawan, 1992). Nekrosis dapat disebabkan oleh bermacam-macam agen etiologi dan dapat menyebabkan kematian dalam beberapa hari. Diantara agen penyebabnya yaitu : racun kuat (misal fosfor, jamur beracun arsen dan lainya), gangguan metabolik (biasanya pada metabolisme protein), infeksi virus yang menyebabkan bentuk fluminan ataumaligna virus (Thomas, 1988).Dari aspek tidak adanya degenerasi melemak, degenerasi hidrofik, dan nekrosis pada ginjal tikus putih, pemberian ekstrak pegagan masih aman digunakan dari dosis terkecil 100mg/kg bb tikus sampai dengan dosis terbesar 400 mg/kg bb tikus.

SIMPULAN DAN SARAN

Simpulan

Pemberian ekstrak pegagan (Centella asitica) dengan rentang dosis 0,2 ml/ekor sampai dengan dosis 0,8 ml/ekor secara oral selama 9 hari, tidak menyebabkan gangguan histopatogi pada organ ginjal tikus putih(Rattus norvegicus).

Saran

Untuk mengetahui efek pada ekstrak pegagan mengalami perubahan struktur histopatologi, perlu dilakukan penelitian

lebih lanjut penggunaan ekstrak pegagan dengan dosis lebih dari 0,8 ml/ekor dengan lama waktu pemberian lebih dari 9 hari.

DAFTAR PUSTAKA

Corwin, E. J. 2001. Buku Saku Patofisiologi. Alih Bahasa Brahm U. Pendit.Penerbit Buku Kedokteran EGC.Jakarta.

Dian,                                2010.

Medikasi.http://unsoed.ac.id/newcms fak/ UserFiles/File/ FKIK/ medikasi1.html. Tanggal Akses 30 Maret 2010

Gerhastuti, B. C. , 2009. Pengaruh Pemberian Kopi Dosis Bertingkat Per Oral selama 30 hari Terhadap Gambaran Histologi Ginjal Tikus Wistar. Universitas Diponegoro. Semarang.

Himawan, S. 1992. Kumpulan Kuliah Patologi. Jakarta : UI Press.

Januwati, M dan Yusron,M. 2005. Budidaya Tanaman Pegagan. Badan Penelitian Tanaman Obat dan Aromatika. http://www.balittro.go.id. Tanggal Akses 19 Juni 2010

Prasta, B. P. 2010. Pengaruh Pemberian Dekstrometorfan Dosis Bertingkat Per Oral terhadap Gambaran Hitopatologi ginjal tikus wistar. Fakultas Kedokteran Universitas Diponegoro

Rifatul, 2009. Efek Samping Obat Herbal terhadap Kesehatan Masyarakat. http://www.smallcrab.com/kesehatan /687-efek-samping-pengobatan-herbal. Tanggal Akses 20 Juni 2010.

Thomas, C. 1988. Histopatologi : Buku Teks dan Atlas Untuk Pelajaran +

Patologi Umum dan Khusus.Edisi 10. Alih Bahasa Tonang, dkk. Jakarta :

EGC.

Yuanita, D.A. 2008. Pengaruh Pemberian Teh Kombucha Dosis Bertingkat Per Oral Terhadap Gambaran Histologi Gijal Mencit BALB/C .Universitas kedokteran Diponegoro, Semarang.

78