HISTOPHATOLOGICAL CHANGES IN HEPAR OF WHITE RATS GIVEN ETHANOL EXTRACT OF ANT NEST AND GENTAMICIN
on
Buletin Veteriner Udayana
pISSN: 2085-2495; eISSN: 2477-2712
Online pada: http://ojs.unud.ac.id/index.php/buletinvet
Terakreditasi Nasional Peringkat 3, DJPRP Kementerian Ristekdikti
No. 21/E/KPT/2018, Tanggal 9 Juli 2018
Volume 12 No. 1: 7-12
Pebruari 2020
DOI: 10.24843/bulvet.2020.v12.i01.p02
Perubahan Histopatologi Hati Tikus Putih yang diberikan Ekstrak Etanol Sarang Semut dan Gentamisin
(HISTOPHATOLOGICAL CHANGES IN HEPAR OF WHITE RATS GIVEN ETHANOL EXTRACT OF ANT NEST AND GENTAMICIN)
Gde Made Jasmara Muda1, Anak Agung Gde Arjana1, I Ketut Berata2, I Made Merdana1
1Laboratoruim Farmakologi dan Farmasi Veteriner, 2Laboratorium Patologi Veteriner Fakultas Kedokteran Hewan Universitas Udayana Jln. PB. Sudirman, Denpasar, Bali.
Email: jasmara.muda@gmail.com
Abstrak
Penelitian ini bertujuan untuk mengetahui pemberian sarang semut dapat mengurangi efek samping gentamisin dosis toksik dilihat dari perubahan histopatologi pada hati tikus putih (Rattus norvegicus). Penelitian ini menggunakan 24 ekor tikus putih jantan, dibagi menjadi empat kelompok perlakuan, yaitu kontrol negatif (P0) yang hanya diberi pakan dan minum saja, Kontrol positif (P1) yang diberikan gentamisin dengan dosis 100mg/kgBB secara intraperitoneal selama 10 hari. Kelompok (P2) diberikan gentamisin 100mg/kgBB secara intraperitoneal dan ekstrak sarang semut dengan dosis 250mg/kgBB secara oral selama 10 hari. Kelompok (P3) diberikan ekstrak sarang semut 250mg/kgBB selama 7 hari, setelah itu diberikan ekstrak sarang semut dengan dosis 250mg/kgBB dan gentamisin dengan dosis 100mg/kgBB secara intraperitoneal selama 10 hari. Hati tikus putih diambil dan diproses untuk pembuatan preparat histologi, dengan pewarnaan hematoxylin eosin (HE). Hasil penelitian diperoleh adanya perbedaan yang sangat nyata antara kontrol negatif (P0) dan kontrol positif (P1). Rerata skor perbaikan dari kerusakan hati tikus putih berbeda nyata antara perlakuan P1, P2 dan P3. Kelompok P2 dan P3 yang paling menunjukkan perubahan mendekati rerata skor kelompok kontrol negatif (P0). Pemberian ekstrak sarang semut pada tikus putih selama 17 hari dengan dosis 250 mg/kgBB dapat memperbaiki efek samping pemberian gentamisin 100 mg/kgBB pada hati tikus putih.
Kata kunci: Hati; gentamisin; sarang semut; tikus putih
Abstract
This study aims to evaluate that the administration of ant nest reduces the side effects of toxic doses of gentamicin seen from the histopathological changes in hepar of white rats (Rattus norvegicus). This study used 24 male white rats, divided into four treatment groups, namely negative controls (P0) there were only given food and drink, positive controls (P1) administered gentamicin at a dose of 100mg/kgBB intraperitoneally for 10 days. The group (P2) was given gentamicin 100mg/kgBB intraperitoneally and ant nest extract with a dose of 250mg/kgBB orally for 10 days. The group (P3) was given 250mg/kgBB of ant nest extract for 7 days, after which ant nest extract was given at a dose of 250mg/kgBB and gentamicin with a dose of 100mg/kgBB intraperitoneally for 10 days.White rat hepar was taken and processed for making histopathological preparations, with hematoxylin eosin (HE) staining. The results showed that there was a significant difference between negative control and positive control groups. The mean score of improvement in hepar damage of white rats was significantly different between treatment P1, P2 and P3. The P2 and P3 groups that showed the most change near the mean score of the negative control group. Giving ant nest extracts to white rats for 17 days at a dose of 250mg/kgBB can improve the side effects of the administration of gentamicin 100mg/kgBB in the hepar of white rats.
Keywords: Hepar; gentamicin; Myrmecodia pendans; Rattus norvegicus
PENDAHULUAN
Tanaman merupakan sumber kekayaan alam yang potensial di Indonesia (Soewartoyo dan Soetopo, 2009). Tanaman memiliki berbagai macam manfaat. Salah satu manfaat yang dapat diambil dari tanaman adalah khasiat sebagai obat dari berbagai bagian tanaman itu sendiri seperti daun, bunga, biji atau buah, kulit pohon, dan akar (Sada dan Tanjung, 2010). Sarang semut (Myrmecodia pendans) merupakan tumbuhan epifit yang menempel di pohon-pohon besar (Alam dan Waluyo, 2006). Tanaman sarang semut (Myrmecodia pendans) adalah tanaman yang secara empiris maupun secara ilmiah terbukti mampu menurunkan respon inflamasi (Kristina, 2008), bersifat toksik terhadap sel kanker dan dapat meningkatkan sistem imun (Hendarsula, 2011). Kemampuan tanaman ini untuk mengobati berbagai penyakit diduga terkait dengan kandungan senyawa flavonoid yang berada di dalamnya (Saputro dan Subrato, 2006; Manullang et al., 2018).
Gentamisin merupakan golongan aminoglikosida. Aminoglikosida adalah sekelompok obat-obatan bakterisidal yang berasal dari berbagai spesies Streptomyces dan mempunyai sifat kimiawi, antimikroba, farmakologi dan efek toksik yang sama. Gentamisin memiliki efek samping neurotoksisitas, ototoksisitas (auditori dan vestibular), nefrotoksik (meningkatkan klirens kreatinin) dengan kejadian lebih dari 10% (Katzung, 2010).
Hati merupakan gerbang semua bahan yang masuk ke dalam tubuh melalui saluran cerna, sehingga sangat rentan terhadap gangguan metabolik, toksik dan mikroba (Robbins et al., 2007). Hati adalah organ yang paling sering mengalami kerusakan akibat gentamisin karena terlibat dalam metabolisme dan sekresi xenobiotik, sehingga rentan terjadi kondisi patologis. Hati tikus yang terpapar gentamisin dalam dosis berlebihan atau dalam jangka waktu lama akan berdampak terhadap perubahan hepatoseluler, sinusoid yang berdilatasi
atau memadat dan dapat disertai perdarahan (Khan, 2011).
Dari pendahuluan tersebut, perlu dilakukan penelitian yang bertujuan untuk membuktikan bahwa pemberian sarang semut mengurangi efek samping gentamisin dosis toksik dilihat dari perubahan histopatologi pada hati tikus putih (Rattus norvegicus).
METODE PENELITIAN
Sampel dan Perlakuan
Penelitian ini menggunakan 24 ekor tikus putih jantan (Rattus norvegicus) galur wistar, berumur 2-3 bulan, berat badan 200300 gram. Perlakuan hewan coba kemudian dibagi secara acak menjadi empat kelompok perlakuan, yaitu: P0 diberikan pakan dan minum (kontrol negatif), P1 diberikan gentamisin dengan dosis 100 mg/kgBB secara intraperitoneal selama 10 hari, P2 diberikan gentamisin 100 mg/kgBB secara intraperitoneal dan ekstrak sarang semut dengan dosis 250mg/kgBB secara oral selama 10 hari, P3 diberikan ekstrak sarang semut 250mg/kgBB secara oral selama 7 hari, setelah itu diberikan ekstrak sarang semut dengan dosis 250mg/kgBB secara oral dan gentamisin secara intraperitoneal dengan dosis 100 mg/kgBB selama 10 hari.
Pembuatan preparat histopatologi
Pada hari ke 18 dilakukan euthanasia dan dinekropsi terhadap sampel sesuai prosedur, lalu dilakukan pengambilan organ hati dan dimasukan kedalam pot kecil yang berisi larutan Netral Buffer Formalin (NBF) 10%. Selanjutnya, dilakukan pembuatan preparat histologi dengan pewarnaan Harris Hematoxylin-Eosin (HE). Preparat histologi diamati di bawah mikroskop dengan perbesaran 400x dilihat dengan 5 lapang mikroskopik berbeda dan dicatat perubahan histopatologinya berdasarkan parameter yang diamati.
Variabel yang diperiksa
Preparat histologi hati diperiksa perubahan patologisnya dengan cara diskoring berdasarkan derajat keparahan kongesti, perdarahan dan nekrosis. Lesi
kongesti: skor 0 = tidak ada kongesti, skor 1 = kongesti bersifat fokal (ringan), skor 2 = kongesti bersifat multifokal (sedang), dan skor 3 = kongesti bersifat difusa, (berat). Lesi perdarahan: skor 0 = tidak ada
pendarahan, skor 1 = pendarahan bersifat fokal (ringan), skor 2 = pendarahan bersifat multifokal (sedang) dan skor 3 =
pendarahan bersifat difusa (berat). Lesi nekrosis skor 0 = tidak ada nekrosis, skor 1 = nekrosis bersifat fokal (ringan), skor 2 = nekrosis bersifat multifokal (sedang) dan skor 3 = nekrosis bersifat difusa (berat).
Analisis Data
Data ditabulasi dan selanjutnya dianalisis dengan uji statistik non parametrik Kruskal-Wallis dan dilanjutkan dengan uji Mann-Whitney.
HASIL DAN PEMBAHASAN
Pada penelitian ini diperoleh rerata kerusakan hati tikus putih (Rattus norvegicus) pada kelompok kontrol negatif, kontrol positif, dan perlakuan (P2 dan P3) yang tersaji pada Tabel 1.
Tabel 1 Hasil rerata kerusakan hati tikus putih
Perlakuan |
Kongesti |
Perdarahan |
Nekrosis | |
P0 |
Mean |
0,17 |
0,17 |
0,17 |
N |
6 |
6 |
6 | |
Std. Deviation |
0,408 |
0,408 |
0,408 | |
P1 |
Mean |
1,33 |
1,33 |
1,50 |
N |
6 |
6 |
6 | |
Std. Deviation |
0,816 |
0,516 |
0,548 | |
P2 |
Mean |
0,33 |
0,33 |
0,33 |
N |
6 |
6 |
6 | |
Std. Deviation |
0,516 |
0,516 |
0,816 | |
P3 |
Mean |
0,33 |
0,33 |
0,33 |
N |
6 |
6 |
6 | |
Std. Deviation |
0,516 |
0,516 |
0,516 | |
Total |
Mean |
0,54 |
0,54 |
0,58 |
N |
24 |
24 |
24 | |
Std. Deviation |
0,721 |
0,658 |
0,776 |
Pada Tabel 1 menunjukkan rerata kerusakan hati tikus putih (Rattus norvegicus) baik dari kategori perdarahan, kongesti, dan nekrosis. Pada rerata kerusakan hati kontrol negatif adalah 0,17±0,408 baik pada lesi perdarahan, kongesti, dan nekrosis. Pada perlakuan P2 dan P3 diperoleh rerata kerusakan hati yaitu 0,33±0,516 pada lesi kongesti, perdarahan, dan nekrosis. Rerata kongesti pada hati kontrol positif yaitu 1,33±0,816, pada lesi perdarahan diperoleh rerata yaitu 1,33±0,516, dan pada lesi nekrosis diperoleh rerata 1,50±0,548.
Dari hasil uji Kruskal-Wallis menunjukkan bahwa perolehan nilai setiap perlakuan yaitu 0,039 untuk perubahan lesi kongesti, 0,010 untuk lesi perdarahan, dan
0,008 untuk perubahan lesi nekrosis. Kategori perdarahan, kongesti, dan nekrosis terdapat perbedaan yang nyata (P<0,05) antara kelompok kontrol negatif dengan kelompok perlakuan, maka dilanjutkan dengan uji Mann-Whitney untuk mengetahui perbedaan pengaruh antar perlakuan yang diberikan.
Hasil dari uji Mann-Whitney untuk semua kategori perubahan histopatologi baik kongesti, perdarahan dan nekrosis adalah antara kelompok kontrol negatif dengan kontrol positif terdapat perbedaan yang nyata (P<0,05), antara kontrol negatif dengan P2 dan P3 tidak terdapat perbedaan nyata (P>0,05). Kemudian antara kontrol positif dengan P2 dan P3 terdapat perbedaan yang nyata (P<0,05).


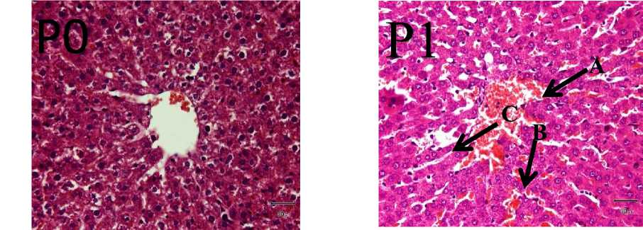
Gambar 1. Gambaran histopatologi hati tikus putih (Rattus norvegicus) dengan pewarnaan (HE) dan pembesaran 400X. P0 kelompok kontrol negatif. P1 kelompok kontrol positif terlihat adanya kongesti (A), perdarahan (B), dan nekrosis (C). Kelompok P2 terlihat adanya nekrosis (A) dan kelompok P3 terlihat adanya kongesti tetapi reratanya masih tergolong normal.
Hasil penelitian ini menunjukkan bahwa pemberian gentamisin mempengaruhi perubahan histopatologi hati tikus putih (Rattus norvegicus) dilihat dari lesi kongesti, perdarahan dan nekrosis. Pada perlakuan kontrol positif yang diberi gentamisin 100 mg/kgBB secara intraperitoneal menunjukkan kerusakan ditandai dengan terjadinya kongesti, perdarahan dan nekrosis yang bersifat sedang akibat dari efek radikal bebas dari gentamisin yang berikatan dengan sel hati. Hal ini disebabkan karena efek dari gentamisin 100 mg/kgBB yang memiliki zat toksik.
Kerusakan akibat gentamisin karena terlibat dalam metabolisme dan sekresi xenobiotik, sehingga rentan terjadi kondisi
patologis. Hati tikus yang terpapar gentamisin akan mengalami perubahan hepatoseluler, sinusoid yang berdilatasi dan memadat disertai perdarahan (Khan et al., 2011). Pemberian ekstrak sarang semut terhadap efek samping gentamisin (100 mg/kgBB secara intraperitoneal) pada hati tikus putih pada kategori kongesti, perdarahan dan nekrosis mampu memperbaiki kerusakan sel akibat pemberian gentamisin.
Pada penelitian ini didapatkan hasil pemberian ekstrak sarang semut per oral pada tikus putih yang sudah diberi gentamisin (100 mg/kgBB secara intraperitoneal) mengalami perbaikan pada lesi kongesti, perdarahan dan nekrosis pada hati.
Pada perlakuan P2 yaitu pemberian ekstrak sarang semut 250 mg/kgBB sudah mampu memperbaiki efek yang ditimbulkan oleh gentamisin dosis toksik yang diberikan secara intraperitoneal. Hal ini dikarenakan ektrak sarang semut mempunyai kandungan flavonoid yang dapat melindungi hati dari efek toksisitas gentamisin. Penelitian Pimolpan et al, (2009) melaporkan bahwa kandungan senyawa flavonoid dapat berperan sebagai hepatoprotektor. Namun menurut penelitian Tanti et al, (2014) melaporkan bahwa sarang semut mampu melindungi ginjal dari efek nefrotoksisitas akibat pemberian gentamisin dosis toksik. Oleh karena itu, dapat dikatakan bahwa ekstrak sarang semut mampu memperbaiki gambaran histopatologi hati tikus putih yang diberikan gentamisin dosis toksik.
SIMPULAN DAN SARAN
Simpulan
Pemberian ekstrak sarang semut pada tikus putih (Rattus norvegicus) selama 17 hari dengan dosis 250 mg/kgBB dapat memperbaiki histopatologi hati berupa kongesti, perdarahan dan nekrosis akibat pemberian gentamisin 100 mg/kgBB.
Saran
Dapat disarankan para dokter dan dokter hewan untuk memberikan ekstrak sarang semut bagi pasien yang sedang mengkomsumsi gentamisin untuk mengurangi efek samping yang ditimbulkan
UCAPAN TERIMAKASIH
Terima kasih penulis ucapkan kepada Kepala Laboratorium Farmakologi dan Farmasi, Kepala Laboratorium Patologi Fakultas Kedokteran Hewan Universitas Udayana dan Kepada Balai Besar Veteriner, Denpasar, Provinsi Bali, serta semua pihak yang telah membantu dalam penyelesaian penelitian ini.
DAFTAR PUSTAKA
Alam S, Waluyo S. 2006. Sarang semut primadona baru dari Papua. Majalah Nirmala. PT Gramedia. Pustaka Utama. Jakarta
Hendarsula RA. 2011. Efek
immunostimulan ekstrak umbi sarang s (mymercodia archoldiana) pada tikus putih jantan. Skripsi. Departemen Farmasi FMIPA UI.
Katzung BG. 2010. Farmakologi Dasar dan Klinik (terjemahan), Ed.10 Penerbit Buku Kedokteran EGC, Jakarta.
Khan M, Badar I, Siddiquah A. 2011. Prevention of hepatorenal toxicity with Sonchusasper in gentamicin treated rats. Med. J. 11:1-9.
Kristina, D. 2008. Efek antiinflamasi ekstrak etanol umbi sarang semut (Mymercodia pendans Merr. & Perry) pada tikus (Rattus norvegicus L). Skripsi Jurusan Biologi FMIPA Universitas Surakarta.
Manullang DH, Sudira IW, Berata IK, MErdana IM. 2018. Ekstrak etanol sarang semut menyebabkan kerusakan struktur histologi ginjal mencit. Buletin Veteriner Udayana. 10(2): 183-189.
Pimopalpan P, Saruth N, Rapepol B. 2009. Hepatoprotective potential of extract from seeds of areca catechu and nutgalls of quercus infectoria. J. Mol. 14(12): 4987-5000.
Robbins SL, Kumar V, Cotran SR. 2007. Buku ajar patologi Robbins Ed 7. Jakarta: ECG.
Sada JT, Tanjung RHR. 2010. Keragaman tumbuhan obat tradisional di kampung Nansfori Distrik Supiori Utara, Kabupaten Supiori–Papua. J. Biologi Papua. 2(2): 39-46.
Soewartoyo, Soetopo T. 2009. Potensi sumber daya alam dan peningkatan kualitas sumber daya manusia di kawasan masyarakat pesisir, Kabupaten Bangka. J. Kependudukan Indonesia. 4(2): 61-78.
Subroto MA, Saputro H. 2006 Gempur penyakit dengan sarang semut. Penebar Swadaya. Jakarta.
Tanti AS. Rima M. Peppy KW, Yuyun PJ. 2014. The protective effect sarang
semut (myrmecodia tuberose) tubers infusion on gentamicin-piroxicam induced Nephrotoxicity in Rats. Indonesian J. Pharm. 25(2): 91–97.
12
Discussion and feedback