MASHED OF PEGAGAN LEAVES ACCELERATES THE HEALING OF BURNS ON WHITE RATS
on
Buletin Veteriner Udayana
pISSN: 2085-2495; eISSN: 2477-2712
Online pada: http://ojs.unud.ac.id/index.php/buletinvet
Volume 10 No. 2: 137-146
Agustus 2018
DOI: 10.24843/bulvet.2018.v10.i02.p06
Gerusan Daun Pegagan Mempercepat Kesembuhan Luka Bakar pada Tikus Putih
(MASHED OF PEGAGAN LEAVES ACCELERATES THE HEALING OF BURNS ON WHITE RATS)
I Gusti Ngurah Darmalaksana1*, Anak Agung Gde Jaya Warditha2, I Ketut Anom Dada2, Luh Made Sudimartini3
1Praktisi Dokter Hewan Kabupaten Karangasem, Bali, 2Laboratorium Bedah dan Radiologi, Fakultas Kedokteran Hewan Universitas Udayana, Denpasar, Bali. 3Laboratorium Farmakologi Fakultas Kedokteran Hewan Universitas Udayana, Denpasar, Bali.
*Email: ngurahdarmalaksana98@gmail.com
ABSTRAK
Luka bakar merupakan kejadian rusaknya jaringan kulit akibat kontak kulit dengan sumber panas seperti api, bahan kimiawi, listrik dan radiasi. Penanganan luka dilakukan agar luka lebih cepat sembuh. Penelitian ini bertujuan untuk mengetahui kecepatan kesembuhan luka bakar derajat II pada tikus putih (Rattus norvegicus) yang diberikan gerusan daun pegagan (Centella asiatica (L) Urban) dilihat dari gambaran makroskopis dan mikroskopis. Tiga puluh dua ekor tikus putih betina dengan berat 150-200 gram dibagi menjadi dua perlakuan, masing-masing perlakuan terdiri dari 16 ekor tikus, daerah yang mendapat perlakuan luka bakar yaitu pada daerah dorsal tikus dengan diameter 1 cm. Pemberian gerusan daun pegagan sebanyak tiga lembar dengan ukuran 2x1 cm. Pengamatan makroskopis dilakukan setiap hari selama 14 hari. Pada hari ke-7 dan hari ke-14, semua tikus dieutanasi, kemudian kulit lokasi luka bakar dikoleksi untuk pemeriksaan mikroskopis. Hasil pemeriksaan makroskopis dianalis dengan Chi-Square dan Analisis Varian, sedangkan pemeriksaan histopatologis dianalisis menggunakan Mann-Whitney. Hasil pemeriksaan makroskopis terhadap diameter luka, tanda radang, bengkak dan keropeng menunjukkan perbedaan yang nyata sehingga pemberian gerusan daun pegagan berpengaruh signifikan terhadap tikus kontrol. Pada pemeriksaan mikroskopis yang dianalisis dengan analisis Mann Whitney menunjukkan hasil berbeda nyata pada sel epitel pada hari ke tujuh. Pemberian gerusan daun pegagan mempercepat kesembuhan luka bakar derajat II pada tikus putih.
Kata kunci: pegagan; kesembuhan luka bakar; luka bakar derajat II
ABSRACT
Burns are an occurrence of skin tissue damage due to contact with the heat source such as fire, chemical, electrical and radiation. Wound handling was done so that the wounds heals faster. This study aims to determine the speed of the second-degree burns healing on white rats (Rattus norvegicus) were given mashed of pegagan leaves (Cantella asiatica (L) Urban) seen from the macroscopic and microscopic descriptions. Thirty-two female white rats weighing 150-200 grams were divided into two treatments, each treatment consisting of 16 rats, area burns treatment performed on the dorsal of rats with diameter of 1 centimeters. Giving mashed of pegagan leaves as much as three sheets with the size of 2x1 centimeters. Macroscopic observation were performed daily for 14 days. On the seventh day and day 14, all rats had euthanasia, then skin burns were collected for microscopic examination. The result of macroscopic examination were analyzed by Chi-Square and Analysis of variant, whereas histopathologic examination were analyzed using the Mann-Whitney. The result of macroscopic examination of the wound diameters, inflammation marks, swelling and scarring were significantly different. Thus, by giving mashed of pegagan leaves had significant effect on the control rats. On microscopic examination were analyzed by the Mann-Whitney were significantly different in the epithelial cells at the seventh day Giving mashed of pegagan leaves were accelerate the healing of second degree burns on white rats.
Keywords: Centella asiatica; healing burns; second degree burns
PENDAHULUAN.
Obat merupakan zat yang digunakan untuk mengurangi rasa sakit, mengobati serta mencegah penyakit pada manusia maupun hewan (Supardi et al., 2012). Obat tradisional adalah bahan atau ramuan dari beberapa bahan diantaranya bahan tumbuhan, bahan hewan dan bahan mineral. Dibandingkan bahan lainnya, bahan asal tumbuhan atau herbal lebih banyak dimanfaatkan oleh masyarakat, hingga saat ini keberadaan obat herbal masih tetap bertahan karena memiliki kelebihan yaitu mudah ditemukan di lingkungan sekitar, harganya murah, pengaplikasiannya mudah dan efek sampingnya kecil (Hanum and Warseno, 2015).
Pengobatan alternatif yang sering digunakan adalah pengobatan herbal atau tradisional. Salah satunya adalah pegagan (Cantella asiatica (L). Urban) yang digunakan untuk obat luka, radang, demam, TBC, dan asma. Pegagan merupakan famili umbilifereae yang berkhasiat sebagai obat luka serta menstimulasi kolagen pada jaringan kulit. Ekstrak pegagan sebagai antiinflamasi dapat membantu pengobatan luka. Komponen bioaktif triterpenoid dalam pegagan yaitu asiaticoside, asiatic acid, madecassocide dan madeccasic acid mempunyai kemampuan sebagai obat luka dan antiinflamasi (Eriawan et al., 2013). Pegagan merupakan tumbuhan liar dengan ukuran 2-3 cm, tumbuh pada daerah ketinggian 1-2500 mdpl (meter di atas permukaan laut) dapat tumbuh hampir pada semua daerah di dunia (Tiwiari et al., 2011). Artawan et al. (2013) melakukan penelitian tentang efek ekstrak gel daun pegagan dalam mempercepat waktu penyembuhan luka bakar pada tikus putih. Hasil yang didapat pemberian gel ekstrak daun pegagan dapat mempercepat waktu kesembuhan luka dalam waktu 12 hari dan paling cepat selama sembilan hari.
Sejauh ini penelitian mengenai manfaat penggunaan gerusan daun pegagan masih belum diteliti, sehingga perlu dikembangkan penelitian mengenai
manfaat gerusan daun pegagan dalam mempercepat kesembuhan luka bakar.
METODE PENELITIAN
Materi Penelitian
Penelitian ini menggunakan sampel kulit tikus putih (Rattus norvegicus) dan pegagan dalam bentuk gerusan. Bahan lain yang digunakan ialah obat anastesi ketamine, akuades, alkohol, Neutral Buffered Formalin 10%, xylol, paraffin cair, minyak emersi dan bahan untuk pewarnaan Hematoksilin Eosin. Alat-alat yang digunakan dalam penelitian ini adalah solder yang sudah dimodifikasi dengan ujung bulat, sarung tangan, timbangan, mortar, spuit 1 ml dan 3 ml, kandang dilengkapi tempat minum tikus, alat bedah seperti gunting, pinset, dan pisau, glass objek dan mikroskop. Pengambilan sampel untuk pembuatan preparat histopatologi dilakukan dengan cara mengambil bagian luka bakar lalu dimasukkan ke dalam Neutral Buffered Formalin 10% pada hari ke-7 dan ke-14 selanjutnya di proses menjadi preparat histopatologi.
Prosedur Penelitian
Tikus putih diadaptasi selama tujuh hari. Proses pembuatan luka pada tikus diawali dengan perlakuan anastesi dengan ketamine dosis 100 mg/kg secara intramuskuler. Selanjutnya dilakukan pembersihan pada bagian rambut punggung tikus, masing - masing kelompok dibuatkan luka bakar pada dorsal tikus dengan diameter 1 cm. Luka bakar dibuat dengan menggunakan solder listrik yang sudah dimodifikasi dengan ujung berbentuk bulat, solder dihubungkan dengan sumber arus selanjutnya disentuhkan pada bagian kulit selama dua detik sampai mengenai dermis lalu diangkat. Tikus ditempatkan menjadi dua kelompok secara acak masing masing 16 ekor tikus, kelompok perlakuan I diberikan vaselin pada luka, kelompok perlakuan II diberikan gerusan daun pegagan sebanyak 3 lembar dengan ukuran 2x1 cm setiap hari selama 14 hari, tikus diberi makan dan minum secara ad libitum.
Setiap minggu dilakukan eutanasi 8 ekor tikus setiap perlakuan untuk pengamatan mikroskopis.
Standarisasi pemeriksaan preparat mikroskopis
Pemeriksaan preparat mikroskopis kulit diamati pada mikroskop dengan pembesaran 100x pada tiga lapang pandang yang berbeda.
Pembuatan Preparat Mikroskopis Dan Pewarnaan Harris Hematoksilin - Eosin
Pembuatan preparat mikroskopis dan pewarnaan Harris Hematoksilin - Eosin dilakukan sesuai dengan metode Kierman (1990). Pembuatan sediaan histologis yaitu sampel berupa kulit yang telah difiksasi dengan formalin 10%, didehidrasi dan berturut-turut dibersihkan dengan satu sesi larutan (formalin 10% I, formalin 10% II, formalin 10% III, alkohol 70%, alcohol 96%, alkohol absolut I, alkohol absolut II, alkohol absolut III, xylol I, xylol II, xylol III, parafin cair I, parafin cair II) dalam waktu 23 jam. Lalu dibloking dengan paraffin cair, setelah didinginkan selama 30 menit dipotong dengan mikrotom dengan ketebalan 4-5 µm. Sebelum dilakukan mounting terlebih dahulu dilakukan pewarnaan dengan metode Harris-hematoxylin eosin, dengan cara direndam dalam xylol I, II, III masing-masing selama 5 menit. Selanjutnya direndam dalam alkohol absolut I dan II selama 5 menit. Sebelum direndam dalam
Harrishaematoxylin eosin / HE (15 menit), dilakukan perendaman dalam akuadest selama 1 menit. Sampel kembali direndam dalam akuadest (1 menit), kemudian 5-7 menit dalam asid alkohol 10% dua kali dalam akuadest selama 1 menit dan 15 menit. Setelah itu diwarnai dengan eosin. Preparat yang telah diwarnai kemudian direndam dalam alkohol 96% I dan alkohol 96% II masing-masing selama 3 menit. Selanjutnya direndam kembali dalam alkohol absolut III yang dilanjutkan lagi kedalam alkohol absolut IV masing -
masing 3 menit. Selanjutnya dibersihkan dalam xylol I dan xylol II selama 5 menit.
Cara Pengumpulan Data
Pengamatan makroskopis data disajikan secara deskriptif yang didapat dari pengamatan dari hari ke-1 sampai hari ke-14 berdasarkan tanda radang seperti kemerahan, bengkak, bentukan keropeng dan diameter luka. Untuk pengamatan mikroskopis data yang diambil merupakan gambaran histopatologi pertumbuhan sel epitel kulit dari tikus putih dengan 3 lapang pandang mikroskop pembesaran 100x dan 400x. Pengamatan mikroskopis
berdasarkan epitelisasi, proliferasi angiogenesis dan infiltrasi sel radang. Dengan skoring masing-masing yaitu: Skoring untuk pengamatan mikroskopis angiogenesis (Cyntia, 2012) yaitu: 1= proliferasi angiogenesis tidak ada; 2= proliferasi angiogenesis 1-2; 3= proliferasi angiogenesis > 2. Skoring untuk
pengamatan mikroskopis sel epitel yaitu: 0= sel epitel tidak ada; 1= sel epitel dengan kepadatan rendah; 2= sel epitel dengan kepadatan sedang; 3= sel epitel dengan kepadatan tinggi. Skoring untuk pengamatan mikroskopis sel radang yaitu; 0= infiltrasi sel radang tidak ada; 1= infiltrasi sel radang rendah (1-30%); 2= infiltrasi sel radang sedang (31-70%); 3= infiltrasi sel radang banyak (71-100%)
Analisis Data
Data yang diperoleh ditabulasi dan dianalisis secara statistic menggunakan Chi-Square pada tanda radang, analisis varian pada diameter luka, Mann-Whitney pada sel epitel, angiogenesis dan sel radang.
HASIL DAN PEMBAHASAN
Pengamatan Makroskopis
Perubahan yang diamati secara makroskopis pada kelompok tikus yang diberi gerusan daun pegagan hari pertama, ke dua dan ke tiga hampir mirip dengan kontrol yaitu kemerahan dan kebengkakan terjadi pada semua tikus tetapi pada hari
tersebut keropeng belum terbentuk. Pada hari ke empat, ke lima dan ke enam tanda kemerahan dan kebengkakan masih terlihat tetapi semakin hari semakin berkurang. Hari ke enam kemerahan terjadi pada empat ekor tikus, bengkak pada enam ekor tikus. Berbeda halnya dengan keropeng pada hari ke tiga terjadi pada tiga ekor tikus, ke empat 10 ekor tikus, ke lima terjadi pada 12 ekor tikus, keropeng terus bertambah pada hari ke enam terlihat adanya keropeng pada semua tikus. Hari ke tujuh masih terlihat bengkak dan kemerahan namun semakin berkurang, hari ke delapan sudah tidak terlihat adanya kemerahan pada semua
tikus begitu juga dengan kebengkakan dan keropeng pada hari tersebut sudah semakin berkurang dan hanya terlihat pada delapan ekor tikus saja. Hari ke sembilan kemerahan, kebengkakan sudah tidak terlihat pada semua tikus dan keropeng hanya terlihat pada enam ekor tikus saja. Hari ke sembilan, sepuluh, sebelas, duabelas kemerahan dan kebengkakan sudah tidak terlihat dan keropeng semakin berkurang, pada hari ke duabelas keropeng hanya terdapat pada tiga ekor tikus. Pada hari ke tigabelas dan ke empatbelas, tanda kemerahan, kebengkakan dan keropeng sudah tidak terlihat lagi pada semua tikus.
|
Tabel 1. Pengamatan makroskopis tanda radang seperti kemerahan, bengkak dan keropeng. | ||||||
|
No |
KONTROL |
PERLAKUAN | ||||
|
Kemerahan |
Bengkak |
Keropeng |
Kemerahan |
Bengkak |
Keropeng | |
|
1 |
16 |
16 |
0 |
16 |
16 |
0 |
|
2 |
16 |
16 |
0 |
16 |
16 |
0 |
|
3 |
16 |
16 |
1 |
16 |
16 |
3 |
|
4 |
14 |
16 |
4 |
10 |
12 |
10 |
|
5 |
10 |
14 |
5 |
7 |
9 |
12 |
|
6 |
8 |
12 |
13 |
4 |
4 |
16 |
|
7 |
5 |
10 |
16 |
3 |
0 |
16 |
|
8 |
3 |
6 |
8 |
0 |
0 |
8 |
|
9 |
3 |
6 |
8 |
0 |
0 |
6 |
|
10 |
2 |
4 |
8 |
0 |
0 |
6 |
|
11 |
0 |
0 |
6 |
0 |
0 |
5 |
|
12 |
0 |
0 |
6 |
0 |
0 |
3 |
|
13 |
0 |
0 |
4 |
0 |
0 |
0 |
|
14 |
0 |
0 |
4 |
0 |
0 |
0 |
Hasil uji menggunakan Chi-Square antara kontrol dan perlakuan tidak berbeda nyata (P>0,05) pada kemerahan, tetapi berbeda nyata antara kontrol dan perlakuan pada bengkak dihari ke enam (P<0,05) dan keropeng di hari ke lima (P<0,05).
Data pada Tabel 2 dapat terlihat jelas perubahan yang terjadi pada diameter luka yang tiap harinya semakin mengecil. Pada hari ke dua belum terlalu terlihat jelas perbedaan diameter luka antara kontrol dan pemberian gerusan daun pegagan yaitu 0.985 cm pada kontrol dan 0,974 cm pada pemberian gerusan daun pegagan, tampak perubahan diameter luka yang diamati pada tikus kontrol dan perlakuan setiap hari,
perbedaan nyata mulai terlihat pada hari ke empat yaitu diameter kontrol 0,926 cm dan perlakuan 0,893 cm, dan terus terlihat kesembuhannya dengan mengecilnya diameter tiap hari. Berdasarkan hasil uji analisis varian didapatkan hasil berbeda nyata antara kontrol dengan pemberian gerusan daun pegagan dimulai dari hari keempat (P<0,05).
Pada tikus yang diberi gerusan daun pegagan tanda kemerahan dan kebengkakan lebih rendah daripada kontrol, hal ini terjadi karena pada tikus yang diberikan gerusan daun pegagan memiliki kandungan tripenoid saponin dan genin sebagai komponen dasar dari daun
pegagan (Centella asiatica) dapat
mendukung penyembuhan luka karena meningkatkan tensile strenght dan sintesis kolagen. Glikosida saponin akan menghasilkan efek pereda rasa nyeri. Komponen bioaktif triterpenoid dalam pegagan yaitu asiaticoside, asiatic acid, madecassocide dan madeccasic acid mempunyai kemampuan sebagai obat luka bakar (Eriawan, 2013). Menurut Wijaya et al. (2013), saponin yang terkandung dalam tanaman ini mempunyai manfaat mempengaruhi kolagen (tahap pertama dalam perbaikan jaringan), misalnya dalam menghambat produksi jaringan bekas luka yang berlebihan (antikeloid), mempercepat penyembuhan luka, dan melebarkan pembuluh darah tepi (vasodilator perifer) sehingga proses dari penyembuhan, penutupan luka serta proses keropeng lebih cepat dibandingkan pada kontrol.
Hal ini juga didukung oleh Belcaro (2011), yang menyatakan enam mekanisme penyembuhan luka oleh pegagan dimana memiliki fungsi yang terkait satu sama lain yaitu: kontrol edema dan filtrasi kapiler, berperan sebagai anti stress, anti inflamasi, memodulasi pembentukan kolagen, memodulasi growth factor, dan memodulasi angiogenesis. Ke enam mekanisme tersebut berperan penting pada tiap fase penyembuhan. Saponin berfungsi untuk meningkatkan perbaikan dan penguatan sel-sel kulit, stimulasi pertumbuhan kuku, rambut dan jaringan ikat serta menghambat produksi jaringan bekas luka yang berlebihan (Hendrayana, 2013).
Pengamatan Mikroskopis
Pada hasil pengamatan mikroskopis tikus kelompok I pada hari ke tujuh untuk pengamatan sel epitel sebagian besar menyebar dengan kepadatan tinggi. Jumlah pembuluh darah baru menyebar dengan kepadatan tinggi dan kepadatan sedang. Sedangkan sel radang menyebar dengan kepadatan ringan dan kepadatan sedang.
Tabel 2. Hasil analisis varian diameter luka
|
Hari |
Perlakuan |
Rerata |
Notasi |
|
2 |
Kontrol |
a.985 |
a |
|
Pegagan |
a.974 |
a | |
|
3 |
Kontrol |
a.954 |
a |
|
Pegagan |
a.938 |
a | |
|
4 |
Kontrol |
a.926 |
a |
|
Pegagan |
b.893 |
b | |
|
5 |
Kontrol |
a.891 |
a |
|
Pegagan |
b.847 |
b | |
|
6 |
Kontrol |
a.854 |
a |
|
Pegagan |
b.800 |
b | |
|
7 |
Kontrol |
a.819 |
a |
|
Pegagan |
b.759 |
b | |
|
8 |
Kontrol |
a.800 |
a |
|
Pegagan |
b.706 |
b | |
|
9 |
Kontrol |
a.773 |
a |
|
Pegagan |
b.685 |
b | |
|
10 |
Kontrol |
a.740 |
a |
|
Pegagan |
b.648 |
b | |
|
11 |
Kontrol |
a.708 |
a |
|
Pegagan |
b.604 |
b | |
|
12 |
Kontrol |
a.672 |
a |
|
Pegagan |
b.555 |
b | |
|
13 |
Kontrol |
a.635 |
a |
|
Pegagan |
b.476 |
b | |
|
14 |
Kontrol |
a.593 |
a |
|
Pegagan |
b.384 |
b |
Keterangan: Huruf yang sama pada notasi menyatakan tidak berbeda nyata (P>0,05), huruf yang berbeda pada notasi menyatakan berbeda nyata (P>0,05).
Hasil pengamatan tikus kelompok II pada hari ke tujuh untuk pengamatan sel epitel sebagian besar menyebar dengan kepadatan rendah dan terdapat 1 sampel yang belum terbentuk epitel. Pembuluh darah baru yang terbentuk menyebar dengan kepadatan tinggi dan sel radang sebagian besar menyebar dengan kepadatan sedang. Gambaran mikroskopis tikus putih kelompok perlakuan I dan II pada hari ke tujuh dapat dilihat pada Gambar 1, Gambar 2, Gambar 3 dan Gambar 4.
Tabel 3. Pengamatan mikroskopis sel epitel, angiogenesis dan sel radang.
|
Hari ke- |
Ulangan |
Kontrol |
Pegagan | ||||
|
Sel epitel |
Angiogenesis |
Sel Radang |
Sel epitel |
Angiogenesis |
Sel radang | ||
|
1 |
3 |
1 |
2 |
1 |
2 |
2 | |
|
2 |
3 |
3 |
2 |
1 |
3 |
2 | |
|
3 |
2 |
2 |
2 |
1 |
3 |
2 | |
|
7 |
4 |
2 |
2 |
2 |
1 |
2 |
2 |
|
5 |
3 |
3 |
1 |
1 |
2 |
2 | |
|
6 |
3 |
1 |
1 |
2 |
3 |
1 | |
|
7 |
2 |
3 |
1 |
0 |
1 |
3 | |
|
8 |
1 |
2 |
1 |
1 |
3 |
1 | |
|
1 |
2 |
1 |
1 |
1 |
2 |
1 | |
|
2 |
2 |
3 |
1 |
1 |
2 |
1 | |
|
3 |
2 |
3 |
1 |
1 |
3 |
1 | |
|
4 |
1 |
2 |
1 |
1 |
3 |
2 | |
|
14 |
5 |
2 |
2 |
1 |
2 |
3 |
1 |
|
6 |
2 |
2 |
1 |
1 |
3 |
2 | |
|
7 |
1 |
3 |
1 |
1 |
3 |
2 | |
|
8 |
1 |
2 |
1 |
2 |
3 |
1 | |
Keterangan: 0 = sel tidak ada, 1= sel dengan jumlah yang ringan; 2 = sel dengan jumlah yang sedang; 3 = sel dengan jumlah yang tinggi.
Pada hasil pengamatan mikroskopis tikus kelompok I pada hari ke empatbelas untuk pengamatan sel epitel sebagian besar menyebar dengan kepadatan sedang. Jumlah pembuluh darah baru sebagian besar menyebar dengan kepadatan sedang. Sedangkan sel radang menyebar dengan kepadatan ringan. Gambaran mikroskopis tikus putih kelompok perlakuan I dan II pada hari ke tujuh dapat dilihat pada Gambar 5, Gambar 6, Gambar 7 dan Gambar 8.
Hasil pengamatan tikus kelompok II pada hari ke empatbelas untuk pengamatan sel epitel sebagian besar menyebar dengan kepadatan rendah, pembuluh darah baru yang terbentuk menyebar dengan kepadatan tinggi dan sel radang sebagian besar menyebar dengan kepadatan ringan. Gambaran mikroskopis tikus putih kelompok perlakuan I dan II pada hari ke empatbelas.
Data hasil pengamatan rerata sel epitel, angiogenesis dan sel radang pada tikus percobaan sesuai dengan perlakuan pada minggu pertama dan ke dua dapat dilihat pada Tabel 4. Pengamatan mikroskopis hari
ke tujuh yang dianalisis menggunakan uji Mann-Whitney perlakuan tidak berbeda nyata (P>0,05) terhadap sel radang dan angiogenesis tetapi berbeda nyata (P<0,05) terhadap sel epitel antara kelompok kontrol dan yang diberikan gerusan daun pegagan. Sedangkan hasil uji Mann-Whitney pada hari ke empatbelas, hasil tidak berpengaruh nyata (P>0,05) terhadap sel epitel, sel radang dan angiogenesis antara kontrol dan yang diberikan gerusan daun pegagan.

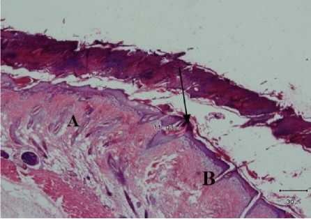
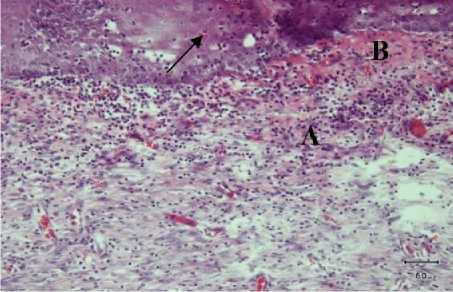
Gambar 1. Gambaran mikroskopis kulit tikus putih kelompok perlakuan I (diberi vaselin) hari ke tujuh. Terlihat adanya infiltrasi sel radang (A), proliferasi
fibroblast (B) dan neovaskularisasi (tanda panah) (HE, 100x).

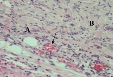
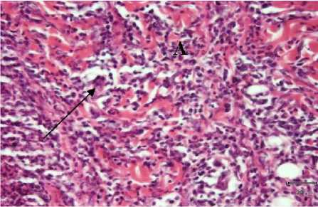
Gambar 2. Gambaran mikroskopis kulit tikus putih kelompok perlakuan I (diberi vaselin) hari ke tujuh. Terlihat adanya infiltrasi sel radang (A), proliferasi fibroblast (B) (HE, 400x).

Gambar 3. Gambaran mikroskopis kulit tikus putih kelompok perlakuan II (diberi gerusan daun pegagan) hari ke tujuh. Terlihat adanya infiltrasi sel radang (A), proliferasi fibroblast (B) dan neovaskularisasi (tanda panah) (HE, 100x).

Gambar 4. Gambaran mikroskopis kulit tikus putih kelompok perlakuan II (diberi gerusan daun pegagan) hari ke tujuh.
Terlihat adanya infiltrasi sel radang (A), proliferasi fibroblast (B) dan vaskularisasi (tanda panah) (HE, 400x).

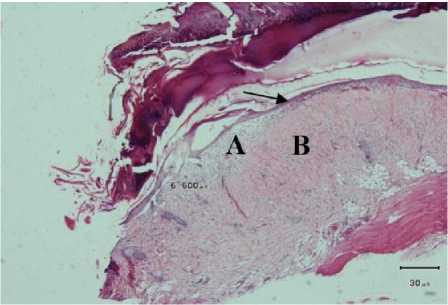
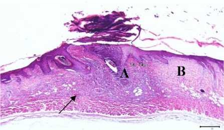
Gambar 5. Gambaran mikroskopis kulit tikus putih kelompok perlakuan I (diberi vaselin) hari ke empatbelas. Terlihat adanya infiltrasi sel radang (A), proliferasi fibroblast (B) dan neovaskularisasi (tanda panah) (HE, 100x).
Radang adalah respon tubuh untuk melawan agen asing yang masuk ke tubuh. Selain itu, inflamasi juga bisa disebabkan oleh cedera jaringan, trauma, bahan kimia, panas, atau fenomena lainnya (Celloti, 2001). Jaringan yang mengalami radang dapat ditemukan tanda-tanda kardinal klasik, seperti kalor (panas), rubor (merah), tumor (bengkak), dolor (rasa sakit) dan functio-laesa (gangguan fungsi). Tanda-tanda tersebut di atas dijumpai pada kondisi radang akut.

Gambar 6. Gambaran mikroskopis kulit tikus putih kelompok perlakuan I (diberi vaselin) hari ke tujuh. Terlihat adanya infiltrasi sel radang (A), proliferasi fibroblast (B) dan neovaskularisasi (tanda panah) (HE, 400x).
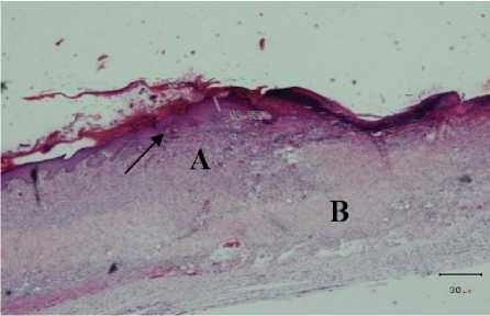
Gambar 7. Gambaran mikroskopis kulit tikus putih kelompok perlakuan II (diberi gerusan daun pegagan) hari ke empatbelas. Terlihat adanya infiltrasi sel radang (A), proliferasi fibroblast (B) dan neovaskularisasi (tanda panah) (HE, 100x).
Gambar 8. Gambaran mikroskopis kulit tikus putih kelompok perlakuan II (diberi gerusan daun pegagan) hari ke empatbelas. Terlihat adanya infiltrasi sel radang (A) dan neovaskularisasi (tanda panah) (HE, 400x).
Tabel 4. Hasil analisis sel epitel, angiogenesis dan sel radang.
|
Perlakuan |
Rerata | ||
|
Variabel |
Hari ke-7 |
Hari ke-14 | |
|
Vaselin |
Sel Epitel Angiogenesis Sel Radang |
2,38±0,744a 2,13±0,835a 1,50±0,535a |
1,63 ± 0,518a 2,25 ± 0,707a 1,00 ±0,000a |
|
Gerusan daun pegagan |
Sel Epitel Angiogenesis Sel Radang |
1,00±0,535b 2,38±0,744a 1,88±0,641a |
1,25 ±0,463a 2,75 ± 0,463a 1,38 ± 0,518a |
Respon inflamasi merupakan suatu reaksi lokal terhadap jaringan yang mengalami luka dan bagian penting dari mekanisme pertahanan tubuh serta merupakan proses penting dari kesembuhan luka (Suwiti, 2010). Namun bila fokus-fokus radang sudah mulai berkurang, tanda-tanda tersebut akan menghilang (Poela, 2014).
Angiogenesis merupakan suatu proses biologik kompleks, pada angiogenesis pembentukan pembuluh darah baru berasal dari kapiler-kapiler yang muncul dari pembuluh darah kecil di sekitarnya yang sudah ada (Kanalagi, 2011). Angiogenesis merupakan tahap penting dalam penyembuhan luka, proses penyembuhan luka menurut Mitchell (1997) sebagai berikut, yaitu: induksi dari suatu respons radang akut oleh adanya cedera awal, regenerasi sel parenkim, migrasi dan proliferasi sel-sel parenkim dan sel sel jaringan ikat, sintesa protein-protein
matriks ekstrasel, pembentukan kembali elemen-elemen parenkim untuk mengembalikan fungsi jaringan, dan pembentukan kembali jaringan ikat untuk mencapai kekuatan luka. Adanya pembuluh darah baru pada daerah luka ini berfungsi sebagai transportasi untuk pasokan makanan dan oksigen yang dibutuhkan oleh sel-sel yang sedang dalam proses perbaikan, untuk menghancurkan zat-zat sisa serta membentuk jaringan granulasi (Toyoda, 2001). Vaskularisasi, akan berlangsung baik bila proses penyembuhan berlangsung cepat. Sementara daerah yang memiliki vaskularisasi yang kurang baik proses penyembuhannya memerlukan waktu lama (Lostapa, 2016). Salah satu kandungan dari pegagan yaitu asiatikosida yang dapat mempercepat penyembuhan luka dengan kemampuan yaitu anti inflamasi dan antiseptik (Eriawan, 2013).
SIMPULAN DAN SARAN
Simpulan
Pemberian gerusan daun pegagan mempercepat kesembuhan luka bakar derajat II pada tikus putih dilihat dari tanda radang, diameter luka dan epitelisasi.
Saran
Di daerah terpencil yang sulit mendapatkan obat-obatan dapat
menggunakan gerusan daun pegagan untuk tahap awal maupun proses penyembuhan luka bakar.
UCAPAN TERIMAKSIH
Penulis mengucapkan terimakasih kepada Dekan Fakultas Kedokteran Hewan Universitas Udayana yang telah memfasilitasi penelitian ini, staff Balai Besar Veteriner Denpasar serta semua pihak yang telah membantu selama proses penelitian.
DAFTAR PUSTAKA
Artawan IK, Jawi IM, Mayati LG. 2013. Efek Ekstrak Gel Daun Pegagan (Centella Asiatica) dalam
Mempercepat Waktu Enyembuhan
Luka pada Tikus Putih (Rattus
Norvegicus Strain Wistar). Open J. Syst. 1(2).
Belcaro, Maquart GFX, Scoccianti M, Dugall M, Hosoi M, Cesarone MR, Luzzi R, Cornelli U, Ledda A and Feragalli B. 2011. TECA (Titrated Extract of Centella Asiatica): New Microcirculatory Biomolecular and Vascular Application in Preventive and Clinical Medicine. Panminerva Med. 53(3 Suppl 1): 105-118.
Celloti F, Laufer. 2001. Inflammation Healing and Repair Synopsis. J. Pharm. Res. 43(5).
Cyntia A. 2012. Perbandingan Tingkat Kesembuhan Luka Sayat Terbuka Antara Pemberian Povidon Ipuodin Dan Pemberian Propolis Secara Topikal Pada Tikus Putih (Rattus novergicus).
Skripsi. Lampung: Fakultas
Kedokteran Universitas Lampung.
Eriawan R, Rosida I, Prastyawan Y, Bunga O, Erna Y. 2013. Efektivitas Khasiat Pengobatan Luka Bakar Sediaan Gel Mengandung Fraksi Ekstrak Pegagan Berdasarkan Analisis Hidroksiprolin dan Histopatologi Pada Kulit Kelinci. Bul. Penelit. Kesehat. 41: 45-60.
Hanum SF, Warseno T. 2015. Ethnomedicine tumbuhan obat tradisional masyarakat Bali. Proc. Ekspose dan Seminar Pembangunan Kebun Raya Daerah. 2015: 905-916.
Hendrayana KA, Suwiti NK, Kardena IM, Besung INK. 2013. Pengaruh Pemberian Pegagan (Centella asiatica) Terhadap Gambaran Mikroskopis Ginjal Mencit yang Diinfeksi Salmonella typhi. Bul. Vet. Udayana. 5(1): 41-47.
Kanalagi SJR. 2011. Peran Intergen Pada Angiogenesis Penyembuhan Luka.
Cermin Dunia Kedokteran 184. 38(3): 177-181.
Kiernan JA. 1990. Histological & Histochemical Methods: Theory & Practice. 2nd Ed. Pergamon England.
Lostapa IWFW, Warditha AAGJ, Pemayun IGAGP, Sudimartini NLM. 2015. Kecepatan kesembuhan luka insisi yang diberi amoksisilin dan asam mefenamat pada tikus putih. Bul. Vet. Udayana. 8(2): 172-179
Mitchell RN and Cotran RS. 1997. Repair Cell regeneration, fibrosis, and wound healing. In: Kumar V, Cotran RS, Robbins SL (eds). WB. Saunders
Company. 6: 47-59.
Poela S, Aang S. 2014. Uji Aktivitas Anti Radang Ekstrak Etanol Biji Pinang (Areca catecliu L.) Pada Tikus Putih Jantan. Indonesian J. Pharm. Technol. 3(2): 8-14.
Supardi S, Handayani RS, Herman MJ, Raharni, Susyanty. Kajian peraturan perundang-undangantentang pemberian informasiobat dan obat tradisional di
indonesia. J Kefarmasian Indonesia. 2((1): 20-27.
Suwiti NK. 2010. Deteksi histologik kesembuhan luka pada kulit pasca pemberian daun mengkudu (Morinda citrofilia Linn). Bul. Vet. Udayana. 2(1): 1-9.
Tiwiari S, Gehlot S, Gambhir IS. 2011. Centella Asiatica: A Concise Drug Review with Probable Clinical Uses. J. Stress Physiol. Biochem. 7: 38-44.
Toyoda M, Takayama, Horiguchi N, Otsuka T, Fukusato T, Merlino G,
Takagi H, Mori M. 2001. Overexpression of hepatocyte growth factor scatter factor promotes vascularization and granulation tissue formation in vitro. FEBS Lett. 509: 95100.
Wijaya RA, Latifah, Pratjojo W. 2013. Formulasi Krim Ekstrak Lidah Buaya (Aloe vera) Sebagai Alternatif
Penyembuhan Luka Bakar. Indonesian J. Chem. Sci. 3: 212-217.
146
Discussion and feedback