PREVALENCE OF LEUCOCYTOZOON SPP. INFECTION IN FREE-RANGE CHICKENS IN BALI
on
Buletin Veteriner Udayana Volume 15 No. 6: 1257-1265
pISSN: 2085-2495; eISSN: 2477-2712 Desember 2023
Online pada: http://ojs.unud.ac.id/index.php/bulvet https://doi.org/10.24843/bulvet.2023.v15.i06.p25
Terakreditasi Nasional Sinta 4, berdasarkan Keputusan Direktur Jenderal Pendidikan Tinggi, Riset, dan Teknologi No. 158/E/KPT/2021
Prevalensi Infeksi Leucocytozoon spp. pada Ayam Buras di Bali
(PREVALENCE OF LEUCOCYTOZOON SPP. INFECTION IN FREE-RANGE CHICKENS IN BALI)
Maharani Widya Wardhana1*, I Made Dwinata2, Ida Bagus Made Oka2
-
1Mahasiswa Sarjana Pendidikan Dokter Hewan, Fakultas Kedokteran Hewan Universitas Udayana, Jl. PB. Sudirman, Depasar, Bali, Indonesia, 80234;
-
2Laboratorium Parasitologi Veteriner, Fakultas Kedokteran Hewan Universitas Udayana, Jl. PB. Sudirman, Depasar, Bali, Indonesia, 80234.
*Corresponding author email: w.wardhana@student.unud.ac.id
Abstrak
Ayam buras merupakan salah satu hewan ternak yang digemari masyarakat Indonesia baik telur maupun dagingnya. Saat beternak, tentunya para peternak akan dihadapkan dengan kendala atau permasalahan, salah satunya yaitu penyakit yang diakibatkan oleh parasit darah, salah satunya yaitu Leucocytozoonosis. Leucocytozoonosis atau malaria like disease merupakan penyakit protozoa yang menyerang darah ternak unggas, yang disebabkan oleh parasit Leucocytozoon spp Mengingat tingkat kerugian yang ditimbulkan akibat infeksi dari parasit tersebut, penelitian ini perlu dilakukan agar dapat mengetahui prevalensi infeksi Leucocytozoon spp pada ayam buras di Bali. Penelitian ini menggunakan apusan darah yang berasal dari 100 ekor ayam di Bali sebagai sampel. Metode yang digunakan dalam penelitian ini berupa pembuatan preparat ulas darah tipis dengan pewarnaan Giemsa 10% dan pemeriksaan secara mikroskopis. Parameter yang diukur adalah ada tidaknya Leucocytozoon spp. pada preparat ulas darah tipis. Data yang diperoleh dianalisis menggunakan analisis deskriptif dan untuk mengetahui hubungan antara jenis kelamin dan wilayah asal ayam dengan prevalensi infeksi Leucocytozoon spp dianalisis menggunakan analisis chi-Square. Hasil penelitian menunjukkan bahwa prevalensi infeksi Leucocytozoon spp pada ayam buras di Bali adalah sebesar 30%. Setelah dilakukan analisis menggunakan uji chisquare dinyatakan bahwa jenis kelamin tidak berhubungan (P>0.05), sedangkan lokasi wilayah pengambilan sampel berhubungan dengan prevalensi infeksi Leucocytozoon spp pada ayam buras di Bali (P<0.05). Sebaiknya peternak meningkatkan manajemen pemeliharaan mengingat prevalensi infeksi yang cukup tinggi.
Kata kunci: Leucocytozoon spp.; ayam buras; prevalensi; dan parasit
Abstract
Free-range chicken is one of the livestock favored by the people of Indonesia both eggs and meat. When breeding, of course, breeders will be faced with obstacles or problems, one of which is diseases caused by blood parasites, for example Leucocytozoonosis. Leucocytozoonosis or malaria-like disease is a protozoan disease that attacks the blood of poultry, caused by the parasite Leucocytozoon spp Given the level of losses caused by infection from these parasites, this study needs to be done in order to determine the prevalence of Leucocytozoon spp infection in free-range chickens in Bali. This study used blood smears from 100 chickens in Bali as samples. The method used in this study was in the form of making thin blood review preparations with 10% Giemsa staining and microscopic examination. The parameter measured was the presence or absence of Leucocytozoon spp in thin blood review preparations. The data obtained were analyzed using descriptive analysis and to determine the relationship between sex and region of origin of chickens with the prevalence of infection Leucocytozoon spp was analyzed using chi-Square analysis. The results showed that the prevalence of Leucocytozoon spp infection in free-range chickens in Bali was 30%. After analysis using the chisquare test, it was stated that sex was not related (P>0.05), while the location of the sampling area was related (P<0.05) with the prevalence of Leucocytozoon spp infection in free-range chickens in Bali. It can be
concluded that the prevalence of Leucocytozoon spp infection in free-range chickens in Bali is 30%, with the sampling area associated with the prevalence of Leucocytozoon spp infection in free-range chickens in Bali, while sex is not related. We recommend that farmers improve maintenance management given the high prevalence of infection.
Keywords: Leucocytozoon spp.; free-range chickens; prevalence; and parasite
PENDAHULUAN
Ayam buras (Gallus gallus domesticus) merupakan salah satu hewan ternak yang digemari masyarakat Indonesia baik telur maupun dagingnya. Di Bali sendiri, ayam buras digunakan sebagai salah satu prasyarat dalam upacara mecaru yang diselenggarakan oleh umat Hindu di Bali. Oleh karena itu, tidak sedikit masyarakat yang memelihara ayam buras baik skala kecil maupun skala besar. Menurut data dari Badan Pusat Statistik, jumlah populasi ayam buras di Bali pada tahun 2021 mencapai 2.901.748 ekor, hal ini tentu membuktikan besarnya minat pada ayam buras di pasaran. Saat beternak, tentunya para peternak akan dihadapkan dengan kendala atau permasalahan, salah satunya yaitu penyakit. Penyakit pada ayam dapat disebabkan oleh bakteri, virus, hingga parasit. Penyakit parasitik menjadi salah satu faktor penyebab penurunan populasi dan produktivitas ayam buras. Penyakit unggas khususnya ayam dan itik juga dapat diakibatkan oleh parasit darah, hingga dapat menyebabkan kematian (Salut et al., 2019). Parasit darah yang penting pada unggas piaraan adalah anggota dari filum apikomplexa yaitu genus Haemoproteus, Leucocytozoon dan Plasmodium (Levine, 1994).
Leucocytozoonosis atau malaria like disease merupakan penyakit protozoa yang menyerang darah ternak unggas, yang disebabkan oleh parasit Leucocytozoon spp. (Putra, 1996; Apsari dan Arta, 2010). Leucocytozoonosis pada ayam disebabkan oleh Leucocytozoon caulleryi, L. sabrazesi, L. andrewsi, dan L. schoutedeni, yang termasuk ordo Haemosporida dari filum Apicomplexa (van Wettere 2016). Di Indonesia sendiri, spesies Leucocytozoon yang ditemukan menginfeksi ayam yaitu L.
caulleryi dan L. sabrazesi (Soekardono dan Partosoedjono, 1986; Apsari dan Arta, 2010). Penyakit ini ditularkan melalui vektor lalat hitam (Simulium sp.) dan Culicoides spp (Levine, 1994; Permin and Hensen, 1998; Yu et al., 2000). Setelah vektor yang terinfeksi menghisap darah, sporozoit dari Leucocytozoon menyerang jaringan retikuloendotelial yang berbeda dan sel darah dan kemudian berkembang ke tahap gametosit sirkulasi darah (Valkiūnas dan Iezhova, 2017). Ayam dan burung yang terjangkit sering kali subklinis tetapi kadang-kadang dapat menunjukkan gejala klinis hingga kematian. Tanda-tanda klinisnya diantaranya: anemia, pembesaran hati dengan tekstur yang rapuh dan perubahan warna kekuningan, penurunan produksi telur (Lee et al., 2016), depresi, bulu acak-acakan, dan kurang nafsu makan (Galosi et al., 2019) yang dapat meningkatkan angka kematian. Penyakit ini menyebabkan kerugian ekonomi yang besar dikarenakan penurunan produksi daging dan telur. Menurut Yesica et al., (2020), angka kematian akibat infeksi dari parasit ini mencapai 30%.
Menurut Marquerita et al., (1992), kejadian penyakit pada suatu daerah bisa berbeda tergantung letak geografis, temperatur dan kelembaban yang tinggi. Hal ini memungkinkan perkembangan yang pesat dari vektor penyakit, dan juga cara pemeliharaan yang memungkinkan banyak kesempatan vektor berkontak dengan unggas. Bali termasuk ke dalam wilayah dengan iklim tropis dengan curah hujan tinggi sehingga memiliki tingkat kelembaban udara yang tinggi. Berdasarkan data dari Badan Pusat Statistik (2020), rata-rata tingkat kelembaban udara di Bali yaitu berkisar antara 78% hingga 84%, sehingga lingkungan ini mendukung pertumbuhan vector yang menularkan
Leucocytozoon spp. Di Bali pernah dilaporkan prevalensi pada ayam buras sebesar 53,58% (Apsari et al., 1999; Here et al., 2017). Di Bukit Jimbaran, Kuta Selatan, Bali prevalensi Leucocytozoon spp. pada ayam buras tercatat sebesar 31 % (Here et al., 2017), kemudian, penelitian yang dilakukan di Nanggroe Aceh Darussalam menemukan prevalensi Leucocytozoon spp. pada ayam broiler sebesar 30% sedangkan pada itik sebesar 24% (Hanafiah et al., 2007; Here et al., 2017).
Mengingat tingkat kerugian yang ditimbulkan akibat infeksi dari parasit tersebut, penelitian ini perlu dilakukan agar dapat mengetahui angka prevalensi infeksi Leucocytozoon spp. pada ayam buras di Bali.
METODE PENELITIAN
Objek Penelitian
Objek yang diteliti dalam penelitian ini berupa sampel apusan darah yang berasal ayam buras yang berumur 5-6 bulan sebanyak 100 ekor. Ayam buras didapatkan dari empat wilayah di Bali yang terdiri dari 3 kabupaten dan 1 kota, yaitu Kabupaten Badung, Tabanan, Gianyar, dan Kota Denpasar. Pada penelitian sebelumnya, prevalensi Leucocytozoon spp. di Bali sebesar 53.58 % (Apsari et al., 1999).
Jumlah sampel didasarkan pada rumus (Thursfield, 2007):
1,962 peχp ( 1 - peχp)
n= d2
Keterangan:
n = Jumlah sampel yang dibutuhkan
pexp = Prevalensi (53.58%)
d = Tingkat kesalahan (10%)
n =
n =
n =
3,8416 (0,53) ( 1 - 0,53)
01
3,8416 (0,2491)
001
0,9569
0,01
n = 95,69
Melalui perhitungan diatas, maka sampel minimum yang dibutuhkan adalah 96 sampel.
Rancangan Penelitian
Jenis penelitian ini merupakan penelitian observasional dengan pendekatan cross-sectional. Sampel diambil di Kabupaten Badung, Tabanan, dan Gianyar serta Kota Denpasar secara acak, kemudian dikumpulkan data berupa umur dan jenis kelamin dari ayam buras.
Variabel Penelitian
Variabel dalam penelitian ini adalah sebagai berikut: Variabel Bebas: Jenis kelamin dan wilayah pengambilan ayam buras; Variabel Tergantung: Prevalensi infeksi Leucocytozoon spp.; dan Variabel Kendali: Ayam buras bermur 5-6 bulan yang dipelihara di Badung, Tabanan, Gianyar, dan Denpasar.
Prosedur Penelitian
Pengambilan Sampel
Pengambilan sampel dilakukan empat wilayah di Bali yang terdiri dari 3 kabupaten dan 1 kota, yaitu Kabupaten Badung, Tabanan, Gianyar, dan Kota Denpasar. Pengambilan darah dilakukan dengan menusuk vena pectoralis yang terletak di bawah sayap menggunakan jarum spuit 1 ml. Sebelum pengambilan darah dilakukan, terlebih dahulu dilakukan sterilisasi dengan cara mengusap area yang akan diambil darahnya dengan kapas yang telah dibasahi dengan alkohol 70%, setelah itu bisa dilakukan penusukan dengan jarum suntik steril agar darah keluar.
Selanjutnya dibuat preparat ulas darah tipis dengan tahapan: darah yang telah keluar disentuh menggunakan salah satu objek glass pendorong, kemudian sentuhkan pada objek glass preparat dan membentuk sudut 45° hingga darah menyebar ke seluruh ujung objek glass pendorong, lalu geser sehingga membentuk ulas darah tipis (Sari et al., 2021). Objek glass tersebut kemudian diberi penomoran sesuai dengan nomor sampel dengan label kertas sembari diangin-anginkan. Apusan
darah kemudian difiksasi dengan menggunakan metanol selama 3-5 menit. Setelah selesai difiksasi, maka darah dapat diwarnai dengan menggunakan pewarnaan Giemsa 10%. Pewarnaan dengan menggunakan Giemsa 10% dilakukan dengan cara memberi beberapa tetes giemsa di atas apusan darah, kemudian didiamkan selama ± 1 jam, setelah itu
dibilas dengan air mengalir hingga pewarna giemsa bersih.
Pemeriksaan Sampel
Apusan darah yang telah diwarnai kemudian diamati di bawah mikroskop. Pengamatan dilakukan dengan
menggunakan perbesaran 40x terlebih dahulu untuk melihat dari lapang pandang yang lebih luas, kemudian dilakukan juga pengamatan dengan perbesaran 100x dengan terlebih dahulu ditetesi minyak imersi. Pengamatan dengan perbesaran 100x dilakukan untuk memastikan keberadaan gametosit Leucocytozoon spp. dengan melihat morfologi dari gametosit tersebut.
Parameter Penelitian
Paramater penelitian adalah ditemukan Leucocytozoon spp. pada pemeriksaan ulas darah tipis. Prevalensi infeksi
Leucocytozoon spp. dihitung dengan menggunakan rumus:
Prevalensi- Jumlah sampel yang positif × Jumlah sampel yang diperiksa 100%
Analisis Data
Data yang diperoleh dari penelitian ini akan disajikan secara deskriptif dan untuk mengetahui hubungan antara faktor risiko (wilayah pengambilan sampel dan jenis kelamin ayam) dengan prevalensi infeksi dianalisis menggunakan uji chi-square.
HASIL DAN PEMBAHASAN
Hasil
Dari hasil pemeriksaan yang dilakukan pada 100 sampel darah ayam buras yang diambil dari Kabupaten Badung, Tabanan, Gianyar, dan Kota Denpasar, didapatkan 30
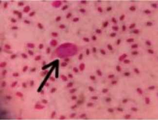
sampel (30%) dari 100 sampel darah ayam buras terinfeksi oleh parasit Leucocytozoon spp. Hasil identifikasi parasit tersebut pada apusan darah yang terinfeksi dapat dilihat pada gambar di bawah.
Prevalensi infeksi Leucocytozoon spp berdasarkan jenis kelamin, pada ayam buras jantan sebesar 41% (16/39), kemudian pada ayam betina sebesar 22,9% (14/61). Setelah dilakukan analisis menggunakan uji chi-square, didapatkan hasil bahwa perbedaan jenis kelamin tidak berhubungan (p>0,05) terhadap prevalensi infeksi Leucocytozoon spp (Tabel 1).
Prevalensi infeksi Leucocytozoon spp pada ayam buras berdasarkan lokasi wilayah pengambilan sampel di Kabupaten Badung sebanyak 12 ekor (48%), Kabupaten Tabanan sebanyak 2 ekor (8%), Kabupaten Gianyar sebanyak 13 ekor (52%), dan Kota Denpasar sebanyak 3 ekor (12%). Setelah dilakukan analisis menggunakan uji chi-square, didapatkan hasil bahwa lokasi wilayah pengambilan sampel berhubungan (p<0,05) terhadap prevalensi infeksi Leucocytozoon spp (Tabel 2).
Pembahasan
Berdasarkan hasil penelitian yang dilakukan terhadap prevalensi infeksi Leucocytozoon spp pada ayam buras di Bali, didapatkan hasil sebesar 30%, yang mana hampir sama jika dibandingkan dengan hasil penelitian yang dilakukan di Nanggroe Aceh pada ayam broiler sebesar 30% (Hanafiah et al., 2007) dan di Jimbaran oleh Here et al., pada tahun 2017 yang tercatat sebesar 31%. Namun cenderung lebih rendah jika dibandingkan dengan pernah dilaporkan pada ayam buras di Bali sebesar 53,58% (Apsari et al., 1999) dan di Bogor sebesar 44% (Latipah, 2001). Prevalensi infeksi Leucocytozoon spp pada ayam buras ini lebih tinggi jika dibandingkan dengan pada itik di Nanggroe Aceh sebesar 24% (Hanafiah et al., 2007), dan pada burung puyuh di Kabupaten Jombang sebesar 10% (Rosdesiana, 2016). Perbedaan hasil yang didapat kemungkinan berhubungan dengan jenis unggas, kondisi
lingkungan, pola pemeliharaan dan faktor musim.
Kondisi lingkungan sangat berpengaruh terhadap tingkat infeksi Leucocytozoon sp (Here et al., 2017). Ketersediaan badan air dan mikrohabitat (misalnya area yang tertutup oleh vegetasi) menginduksi reproduksi vektor dari Leucocytozoon spp yakni Simulium sp dan Culicoides spp, yang keduanya dapat mempengaruhi transmisi patogen (Haque et al., 2010; Facchio et al., 2020). Sebuah penelitian yang diakukan oleh Wiegmann et al., (2021) mengenai prevalensi infeksi Leucocytozoon spp pada satwa liar, khususnya burung predator menunjukkan bahwa habitat dari masing-masing burung predator menjadi faktor yang sangat penting dalam transmisi Leucocytozoonosis. Penelitian ini menunjukkan dari tiga spesies burung predator yang diteliti, terdapat satu spesies yang menunjukkan prevalensi infeksi Leucocytozoon spp secara signifikan lebih tinggi dibandingkan dengan dua spesies lain. Hal ini diakibatkan oleh habitat yang dihuni oleh spesies tersebut juga merupakan habitat alami dari Simulium sp (Charakarov et al., 2020; Wiegmann et al., 2021). Perubahan kondisi lingkungan dapat menimbulkan konsekuensi penting pada interaksi inang dengan patogen dan dapat meningkatkan penyebaran parasit, terutama untuk patogen dan parasit yang ditularkan oleh serangga dipteran hematofag karena mereka bergantung pada air dan suhu untuk reproduksi dan aktivitas mencari inang (Fecchio et al., 2020). Keberadan vektor memegang peranan penting dalam penyebaran Leucocytozoon spp. karena dalam tubuh vektor (Simulium sp dan Culicoides spp) terjadi perkembangan parasit menjadi bentuk infektif (Here et al., 2017). Lingkungan yang memenuhi persyaratan bagi kelangsungan hidup vektor parasit ini antara lain berada di dekat sungai, selokan, parit berair yang alirannya tidak deras, dekat rawa, kolam, sawah, dan tempat berair lainnya yang airnya tidak
mengalir atau mengalir dengan tenang (Soulsby, 1986; Wahyuti, 2003).
Faktor lain yang dapat memengaruhi infeksi parasit selain karena kondisi lingkungan adalah perbedaan jenis unggas. Faktor tingkat infeksi pada setiap jenis unggas dapat berbeda, misalnya pada burung. Sebuah penelitian pada burung-burung di Finlandia menunjukkan peningkatan prevalensi parasit terjadi pada saat musim kawin, hal ini diakibatkan oleh terjadinya penurunan imun selama musim kawin berlangsung (Rintamaki et al., 1999; Wahyuti, 2003).
Infeksi dari Leucocytozoon spp ini tentu memiliki dampak bagi para peternak unggas. Infeksi parasit merupakan penyakit yang banyak menimbulkan kerugian, terutama berpengaruh terhadap produktifitas, berat badan, produksi, dan efisiensi reproduksi bahkan kematian pada ternak, yang akan berujung dengan kerugian ekonomis juga meningkatnya biaya pengobatan. Dampak lain yang timbul akibat adanya penyakit selain kematian dapat juga mengakibatkan kelumpuhan dan gangguan fungsi organ lainya (Murtidjo, 1992; Kurniantoro, 2011). Unggas yang terkena penyakit dapat juga menjadi sumber penular penyakit bagi unggas sehat lainnya.
Prevalensi infeksi Leucocytozoon spp berdasarkan jenis kelamin, pada ayam buras jantan sebesar 41% (16/39), dan pada ayam betina sebesar 22,9% (14/61), didapatkan hasil bahwa perbedaan jenis kelamin tidak berhubungan (p>0,05) terhadap prevalensi infeksi Leucocytozoon spp. Hasil penelitian ini sesuai dengan penelitian yang dilakukan oleh Here et al., (2017) yaitu dikarenakan tidak adanya perbedaan cara pemeliharaan antara ayam buras jantan dan betina, sehingga memberi peluang yang sama untuk terinfeksi oleh Leucocytozoon spp pada ayam jantan maupun betina. Pada penelitian ini, manajemen pemeliharaan ayam buras di lokasi pengambilan sampel menerapkan sistem pemeliharaan tradisional dan semi intensif. Pemeliharaan tradisional yaitu
Buletin Veteriner Udayana
pISSN: 2085-2495; eISSN: 2477-2712
Online pada: http://ojs.unud.ac.id/index.php/bulvet memelihara ayam diumbar (dilepas bebas tanpa ada pembatas), mencari pakan secara bebas, dan tidak memikirkan konversi pakan yang dibutuhkan maupun pertambahan berat badan yang dihasilkan (Dalimunthe et al., 2021). Pemeliharaan secara semi intensif yakni memelihara ayam dengan cara terkurung terbatas. Ayam dikandangkan pada malam hari atau saat cuaca buruk dan pada saat cuaca baik ayam berkeliaran di sekitar kandang, ransum telah diberikan secara rutin (Suprijatna, 2010).
Berdasarkan hasil analisa dengan uji chi square terkait hubungan antara lokasi wilayah pengambilan sampel dengan prevalensi infeksi Leucocytozoon spp pada ayam buras di Bali menunjukkan hasil berhubungan (p<0,05), hal ini terkait dengan kondisi lingkungan dari masing-masing lokasi wilayah pengambilan sampel. Lokasi pengambilan sampel di daerah Tabanan dan Denpasar memiliki tingkat prevalensi infeksi Leucocytozoon spp yang cenderung rendah. Hal ini disebabkan karena pada area pengambilan sampel tidak berada dekat dengan sumber air mengalir, dimana vektor dari Leucocytozoon spp, yaitu Simulium sp dan Culicoides spp membutuhkan tempat yang memiliki sumber air mengalir sebagai tempat untuk berkembangbiak. Berbanding terbalik dengan area pengambilan sampel di Badung dan Gianyar yang dikelilingi oleh sumber air mengalir, serta ditutupi oleh tumbuh-tumbuhan seperti yang terlihat pada gambar sehingga memenuhi syarat untuk kelangsungan hidup dari vektor Leucocytozoon spp. Hasil penelitian ini sesuai dengan penelitian yang telah dilakukan sebelumnya oleh Here et al., (2017), dimana kondisi lingkungan akan sangat berpengaruh dalam prevalensi infeksi Leucocytozoon spp.
SIMPULAN DAN SARAN
Simpulan
Berdasarkan hasil penelitian ini dapat disimpulkan bahwa prevalensi infeksi Leucocytozoon spp pada ayam buras di Bali
sebesar 30%. Faktor lokasi wilayah pengambilan sampel berhubungan dengan prevalensi infeksi Leuocytozoon spp pada ayam buras di Bali, sedangkan faktor jenis kelamin tidak berhubungan dengan prevalensi infeksi Leucocytozoon spp pada ayam buras di Bali.
Saran
Mengingat prevalensi infeksi
Leucocytozoon spp pada ayam buras di Bali cukup tinggi, disarankan bagi para peternak atau pemelihara ayam buras di Bali untuk lebih meningkatkan manajemen
pemeliharaan ayam buras dengan baik, salah satunya melakukan pencegahan dengan meminimalisir tempat untuk vektor dari Leucocytozoon spp berkembang. Selain itu, perlu dilakukan penelitian lebih lanjut mengenai spesies Leucocytozoon yang menginfeksi ayam buras di Bali.
UCAPAN TERIMAKASIH
Penulis mengucapkan terima kasih kepada dosen, kepala Laboratorium Parasitologi Veteriner, Fakultas
Kedokteran Hewan, Universitas Udayana, dan semua pihak yang telah bersedia membantu penulis dalam melaksanakan penelitian ini.
DAFTAR PUSTAKA
Athaillah F, Fahrimal Y, Hambal M, Hanafiah M. 2022. Parasitologi
Veteriner. Syiah Kuala University
Press. Hal, 113-114
Apsari IAP, Arta IMS. 2010. Gambaran darah merah ayam buras yang terinfeksi Leucocytozoon. J. Vet. 11(2): 114-118.
Apsari IAP, Swacita IBN, Suratma NA.
1999. Pengaruh Kondisi Wilayah Asal dan Jenis Kelamin terhadap Prevalensi Infeksi Leucocytozoon sp pada Ayam Buras. Bul. Sains Vet. 15(3): 9-11.
Badan Pusat Statistik. 2021.
https://www.bps.go.id/indicator/24/476 /1/populasi-ayam-buras-menurut-provinsi-.html. Tanggal akses 14 November 2022.
Chawengkirttikul R, Junsiri W,
Watthanadirek A, Poolsawat N,
Minsakorn S, Srionrod N,
Anuracpreeda P. 2021. Molecular detection and genetic diversity of Leucocytozoon sabrazesi in chickens in Thailand. Sci. Rep. 11(1): 1-13.
Dalimunthe NWY, Nururrozi A,
Ramandani D, Hidayah N. 2021. Penerapan Pemeliharaan Semi-Intensif Sebagai Salah Satu Usaha Peningkatan Produktivitas Ayam Buras Di Desa Janten, Temon, Kulon Progo. J. Pengabdian dan Pengembangan Masyarakat. 3(2): 485-492.
Fallis AM, Desser SS, Khan RA. 1974. On species of Leucocytozoon. Adv.
Parasitol. 12: 1-67.
Fecchio A, Bell JA, Bosholn M, Vaughan JA, Tkach VV, Lutz HL, Clark NJ. 2020. An inverse latitudinal gradient in infection probability and phylogenetic diversity for Leucocytozoon blood parasites in New World birds. J. Anim. Ecol. 89(2): 423-435.
Hanafiah M, Sulaiman R, Latif N. 2007. Pemeriksaan Leucocytozoon pada Broiler dan Itik Menggunakan Metode Gerusan dan Hapusan Darah. J. Vet. 8(1): 9 -12.
Here RRM, Apsari IAP, Dwinata IM. 2017. Prevalensi dan Intensitas Infeksi Leucocytozoon sp. pada Ayam Buras di Bukit Jimbaran, Kecamatan Kuta Selatan. Indon. Med. Vet. 6(2): 153-159
Kartika SKI, Sudatri NW, Suartini NM. 2021. Prevalence of leucocytozoonosis and plasmodiosis in duck (Anas platyrhynchos) that are maintained in the household scale. Metamorfosa: J. Biol. Sci. 8(1): 65.
Katakura K. 2020. Detection and molecular identification of Leucocytozoon and Plasmodium species from village chickens in different areas of Myanmar. Acta Trop. 212: 105719.
Kurniantoro I. 2011. Prevalensi Parasit Penyebab Malaria Unggas pada Ayam (Gallus gallus bankiva Tem.) dan Itik (Anas domesticus Lin.) di Pantai Trisik
(Doctoral dissertation, Universitas Atma Jaya Yogyakarta.)
Latipah Y. 2001. Infeksi Parasit-Parasit Darah (Plasmodium Spp.,
Leucocytozoon Sabrazesi Dan Leucocytozoon Caulleryl) Secara Alami Pada Ayam Kampung Yang Berasal Dari Peternakan Rakyat Desa Sindang Sari, Bogor. (Thesis, Institut Pertanian Bogor).
Morii T. 1992. A review of Leucocytozoon caulleryi infection in chickens. J. Protozool. Res. 2(4): 128-133.
Nakamura K. 2022. Leucocytozoon caulleryi Infection in Chickens: Etiology, Pathology, and Diagnosis. Japan Agricultural Research Quarterly: JARQ. 56(2): 121-127.
Pattison M. 2008. Poultry Disease. Edisi ke 6. Hal. 460. Elsevier.
Pertanian K. 2014. Manual Penyakit Unggas. Jakarta: Direktorat Jenderal Peternakan dan Kesehatan Hewan Kementrian Pertanian. Pp. 207-213.
Piratae S, Vaisusuk K, Chatan W. 2021. Prevalence and molecular identification of Leucocytozoon spp. in fighting cocks (Gallus gallus) in Thailand. Parasitol. Res. 120(6): 2149-2155.
Pohuang T, Jittimanee S, Junnu S. 2021. Pathology and molecular
characterization of Leucocytozoon
caulleryi from backyard chickens in Khon Kaen Province, Thailand. Vet. World. 14(10): 2634.
Rasyaf IM. 2011. Beternak ayam kampung. Penebar Swadaya Grup.
Rosdesiana, D. 2016. Prevalensi Protozoa Darah pada Burung Puyuh (Coturnix coturnix) di Beberapa Kecamatan di Kabupaten Jombang (Doctoral dissertation, Universitas Airlangga).
Sahara, A., dan Priyowidodo, D. 2002. Distribusi Culicoides Spp. (Diptera: Ceratopogonidae) Pada Peternakan Ayam Petelur Di Kabupaten Sleman YOGYAKARTA= a Distribution of Culicoides Spp. (Dag Bra: Ceratopogonidae) on the Layer Poultry
Farms in Sleman Regen. J. Sain Vet. 20(1).
Salut EP, Almet J, Winarso A. 2019. Identifikasi parasit darah pada ayam buras di Pasar Inpres Naikoten Kota Kupang. J. Vet. Nusantara. 2(1): 34-40.
Sarini NP, Wijana IW, Rasna NMA, Ardika IN. 2019. Phenotypic Variation Identification of Kampung Chiken Caru in Bali. Maj. Ilmiah Pet. 22(2): 61-66.
Soekardono S, Partosoedjono S. 1986. Parasit-parasit ayam.
Sulandri S, Zein MSA, Paryanti S, Sartika T. 2007. Taksonomi dan asal- usul ayam domestikasi. Pp. 5-25. Dalam K. Dwiyanto dan S.N Prijono (Ed). Keanekaragaman Sumber Daya Hayati Ayam Lokal Indonesia: Manfaat dan Potensi. Pusat Penelitian Biologi, Lembaga Ilmu Pengetahuan Indonesia, Bogor.
Suprihati E, Yuniarti WM. 2018. Variasi Morfologi Dan Deteksi Leucocytozoon caulleryi Dengan metode PCR pada ayam ras di wilayah endemis Indonesia. J. Sain Vet. 35(2): 175.
Suprijatna E. 2010. Strategi pengembangan ayam lokal berbasis sumber daya lokal dan berwawasan lingkungan. In Seminar Nasional Unggas Lokal ke IV, Fakultas Peternakan Universitas Diponegoro.
Suprijatna E, Atmomarsono U,
Kartasudjana R. 2005. Ilmu dasar ternak unggas. Penebar Swadaya, Jakarta, Pp. 227.
Thrusfield M. 2007. Veterinary Epidemiology second edition
University of Edinburgh Black well science
Vera F. 2017. Identifikasi Parasit Darah Pada Burung Sitaan BKSDA Yogyakarta dengan Metode
Polymerase Chain Reaction (PCR) (Doctoral dissertation, Universitas Atma Jaya Yogyakarta).
Wahyuti RN. 2003. Potensi Lalat Culicoides Terhadap Prevalensi Leucocytozoonosis pada Ayam (Doctoral dissertation, Universitas Airlangga).
Wettere AJV. 2022. Leucocytozoonosis in poultry. MSD Veterinary Manual. Retrieved November 20, 2022, from https://www.msdvetmanual.com/poultr y/bloodborneorganisms/leucocytozoon osis-in-poultry?query=leucocytozoon+spp
Wiegmann A, Springer A, Rinaud T, Ottensmann M, Legler M, Krüge O, Strube C. 2021. The prevalence of Leucocytozoon spp. in nestlings of three wild raptor species including implications on haematological and blood chemistry values. International J. for Parasitology: Parsit Wildlife. 16: 236-243.
Yesica R. 2020. Case Report Leucocytozoonosis pada Kalkun (Meleagris gallopavo). Med. Ked. Hewan. 31(1): 45-51.
Zhao W, Liu J, Xu R, Zhang C, Pang Q, Chen X, Su XZ. 2015. The gametocytes of Leucocytozoon sabrazesi infect chicken thrombocytes, not other blood cells. PloS One. 10(7): e0133478.

Gambar 1. Leucocytozoon spp yang Terlihat pada Sampel Darah Ayam Buras (Ditunjukkan oleh anak panah)
Tabel 1 Prevalensi Infeksi Leucocytozoon spp pada Ayam Buras di Bali Berdasarkan Jenis Kelamin
|
Jenis Kelamin |
Jumlah Sampel |
Sampel Positif |
Prevalensi (%) |
P |
|
Jantan |
39 |
16 |
41 |
0,054 |
|
Betina |
61 |
14 |
22,9 |
Tabel 2 Prevalensi Infeksi Leucocytozoon spp pada Ayam Buras di Bali Berdasarkan Lokasi Wilayah Pengambilan Sampe
|
Lokasi Wilayah |
Jumlah Sampel |
Sampel Positif |
Prevalensi (%) |
P |
|
Kab. Badung |
25 |
12 |
48 | |
|
Kab. Tabanan |
25 |
2 |
8 |
0,00 |
|
Kab. Gianyar |
25 |
13 |
52 | |
|
Kota Denpasar |
25 |
3 |
12 |

Gambar 2. Lokasi pengambilan sampel di daerah Badung yang mendukung kelangsungan hidup dari vektor Leucocytozoon spp
1265
Discussion and feedback