KAJIAN EKSPRESI PROTEIN BAX PADA GANGGUAN SPERMATOGENESIS PASCA PEMAPARAN 2,5-HEXANADIONE, PADA TIKUS PUTIH (RATTUS NORVEGICUS L)
on
JURNALBIOLOGI XII (1):1-5
ISSN: 14105292
KAJIAN EKSPRESI PROTEIN BAX PADA GANGGUAN SPERMATOGENESIS PASCA PEMAPARAN 2,5-HEXANADIONE, PADA TIKUS PUTIH (Rattus norvegicus L)
MAHRIANI
Staf Pengajar Jurusan Biologi, Fakultas MIPA, Universitas Jember
INTISARI
Gangguan spermatogenesis pasca pemaparan senyawa 2,5-HD (2,5-Hexanadione) dapat terlihat dari meningkatnya kematian sel melalui mekanisme apoptosis. Apoptosis dapat dilihat melalui pengamatan ekspresi protein Bax yang merupakan protein proapoptosis. Untuk itu telah dilakukan penelitian untuk mengkaji ekspresi protein Bax pada tikus putih strain Wistar yang dipapar dengan 2,5-HD. Sejumlah 56 ekor tikus putih dibagi dalam 8 kelompok secara random masing-masing 7 ekor. 2 kelompok sebagai pretest, 3 kelompok kontrol, dan 3 kelompok sebagai perlakuan yang dipaparkan pada 2,5-HD dengan dosis 0,06 mg/g BB selama 2, 4, 6 minggu. Pengamatan perubahan ekspresi protein Bax dilakukan pada irisan melintang testis dengan metode imunohistokimia. Hasil penelitian menunjukkan bahwa semakin lama paparan 2,5-HD menyebabkan jumlah sel yang meng-ekspresikan Bax pada sel sertoli dan sel germinal semakin meningkat. Ekspresi Bax dibanding kontrol meningkat menjadi 132%, 112%, 108% dan 123% berturut-turut pada sel sertoli, spermatogonia, spermatosit, dan spermatid, pasca pemaparan 2,5-HD selama 6 minggu. Untuk menyempurnakan informasi tentang mekanisme apoptosis akibat pemaparan 2,5-HD, perlu dilakukan penelitian lebih lanjut untuk mengkaji rasio ekspresi protein BC12/Bax sebagai protein antiapoptosis dan proapoptosis
Kata kunci: Ekspresi, protein Bax, Spermatogenesis, 2,5-Hexanadione, Ratus noryegicus L.
ABSTRACT
The disturbance of spermatogenesis after exposure with 2,5-HD (2,5-Hexanedione) can be observed through the increasing of death cell in apoptosis mechanism, that can be observed through the expression of Bax protein. Therefore, it had been conducted a research to study the expression of Bax protein against white mouse of Wistar strain exposured with 2,5-HD. A number of 56 white mouse were divided randomly into 8 groups, each group consists of 7 white mouse, two groups were used as pretest, three groups used as control treatment, and three groups used as treatment were exposured with 2,5-HD of 0,06 mg/WW during 2, 4, 6 week. The changes in the Bax protein expression observed in the slices of cross section of testis using imunohistochemical method. The research result shows that the longer duration of 2,5-HD exposure causes the more increase the expression of Bax protein at the sertoli cell and the germinal. The expression of Bax protein compared to the control groups increases into 132%, 112%, 108% and 123% respectively for the sertoli, spermatogonial, spermatocyt, and spermatid cells in the treatment were exposured with 2,5-HD during 6 weeks. It is needed a further research to complete information of apoptosis mechanism as the result of 2,5-HD exposure, by study the ratio of Bcl-2/Bax expression as the antiapoptosis and proapoptosis proteins. \
Keyswords : Expression, protein Bax, Spermatogenesis, 2,5-Hexanadione, Rattus norvegicus L
PENDAHULUAN
Perkembangan industri kimia telah menghasilkan banyak produk dan bahan kimia yang dapat dimanfaatkan dalam berbagai bidang, terutama dalam bidang industri yang mencakup industri makanan, obat-obatan, industri rumah tangga, dan Iain-lain. Di lain pihak, keadaan tersebut dapat menimbulkan dampak negatif yang tidak diinginkan. Sebagian besar pekerja
Naskah ini diterima 5 Januari 2008, disetujui Met 2008.
yang berhubungan langsung dengan bahan kimia dapat menderita berbagai jenis penyakit, terutama yang disebabkan oleh bahan kimia yang beracun atau bersifat toksik (Wisaksono, 2002).
Salah satu bahan kimia yang bersifat toksik pada manusia adalah 2,5-Hexanedione (Krasavage et al., 1980; Blanchard et al, 1996), yang dalam bidang industri banyak digunakan sebagai pelarut cat, pernis, lem pada industri sepatu dan Iain-lain. Senyawa 2,5-HD
dapat masuk ke dalam tubuh melalui pernafasan, pencernaan, dan kulit (Accu-chem, 2003). Paparan senyawa 2,5-HD dapat menyebabkan gangguan pada sistem reproduksi.
Hasil penelitian Mahriani et al. (2003) menunjukkan bahwa pemberian 2,5-HD secara subcutan pada mencit jantan berpengaruh dalam menurunkan berat organ reproduksi (testis, epididimis) dan kelenjar asesoris. Senyawa 2,5-HD juga menyebabkan turunnya kualitas spermatozoa, yang ditandai dengan menurunnya jumlah spermatozoa normal, jumlah spermatozoa epididimis kauda, dan motilitas spermatozoa. Lebih lanjut disebutkan bahwa dosis 0,06 mg/g BB berpengaruh nyata terhadap penurunan berat organ reproduksi dan penurunan kualitas spermatozoa.
Rosiepen et al. (1995) melaporkan bahwa pada Tikus, pemberian 2,5-HD 1% dalam air minum, berpengaruh terhadap penurunan berat tubuh, testis, dan epididimis tikus. Lebih lanjut disebutkan bahwa menurunnya berat testis merupakan indikator awal terjadinya gangguan pada testis. Boekelheide et al. (1991), juga melaporkan bahwa 2,5 HD dapat menyebabkan atropi testis, yaitu mengecilnya ukuran testis. Atropi terjadi karena adanya perubahan dalam testis, tepatnya terjadi gangguan pada sel sertoli yang merupakan target 2,5 HD. Sel sertoli memiliki peran yang penting dalam pematangan sel germinal dan berperan sebagai penyedia faktor yang dibutuhkan untuk proses spermatogenesis. Terjadinya atropi pada testis akan memberikan dampak atau pengaruh terhadap kemampuan reproduksi dan proses spermatogenesis.
Spermatogenesis merupakan proses yang dinamis dan kompleks dari sel-sel germinal yang berproliferasi dan akhirnya berdeferensiasi menghasiJkan spermatozoa (Lee et al.; 1999). Proses spermatogenesis terjadi di dalam tubulus semineferus testis (Zirkin, 1993). Pada testis mamalia, sel germinal berkembang secara klonal melalui beberapa tahapan mitosis sebelum menuju deferensiasi dan pematangan yang menghasilkan spermatozoa ( Rodriguez & Garcia., 1996).
Penelitian AUard et al. (1996) pada tikus, menunjukkan bahwa 2,5-HD merupakan senyawa toksik bagi sel sertoli. Perlakuan 2,5-HD selama 3 minggu akan menyebabkan terganggunya mikrotubulus sel sertoli yang kemudian diikuti oleh penurunan sekresi cairan tubulus seminiferus (Johnson et al., 1991; Richburg et al., 1994). Cairan tubulus seminiferus berperan dalam menyediakan nutrien dan hormon untuk mengatur pertumbuhan dan diferensiasi sel-sel germinal (Allard et al., 1996). Vakoulisasi pada sel sertoli akan menghambat regenerasi dan pematangan sel-sel germinal, yang mengakibatkan kematian sel germinal melalui suatu mekanisme yang disebut apoptosis. Mekanisme kematian sel dalam spermatogenesis ini mengalami peningkatan selama perlakuan senyawa 2,5 HD (Allan et al., 1992).
Apoptosis memegang peranan penting dalam
perkembangan jaringan selama embryogenesis, folikolugenesis dan spermatogenesis. Apoptosis yang terjadi di testis merupakan mekanisme fisiologi untuk mengatur jumlah sel- sel germinal dalam epitelium semineferus (Boekelheide et al., 2000), sehingga apoptosis memegang peranan penting pada homeostatis testis.
Secara umum apoptosis antara lain dicirikan oleh penyusutan ukuran sel, blebbing pada membran, kondensasi kromatin dan fragmentasi inti. Ada 2 jalur apoptosis, yaitu jalur ekstrinsik melalui reseptor permukaan sel, dan intrinsik melalui mitokondria (Garrido, 2001). Pada jalur intrinsik, energi yang dimiliki oleh sel digunakan untuk mengakumulasikan Ca++ terkumpul di mitokondria. Adanya Ca++ tersebut menyebabkan pembentukan oksigen reaktif. Senyawa ini bersama dengan protein Bax, membuka pori-pori membrane mitokondria, sehingga mitokondria akan blebbing dan melepas salah satu protein intermembran cytokrom-c ke sitosol, dengan dikontrol Bel 2. Pelepasan cytokrom C akan mengikat Apaf-1 (Apoptotic protease activation factor-1) dan CARD (Caspase recruitment domain). Oligomer dari Apaf-l kemudian mengikat procaspase-9 pada sitosol membentuk apoptosom (kompleks aktivasi Caspase-9). Caspase-9 selanjutnya mentriger maturasi katalitik dari procaspase -3 yang menghentikan cascade Caspase, sehingga menyebabkan apoptosis (Dispersyn et al., 2001).
Apoptosis terdiri atas 3 fase, yaitu aktivasi spesifik sinyal transduksi, gangguan fungsi mitokondria yang menyebabkan dikeluarkan protein intermembran di sitoplasma, dan degradasi sel (Adams et al.,1999; Evan et al., 1998). Kunci pengaturan apoptosis yang penting adalah protein famili Bcl-2 yang terdiri dari protein anti-apoptosis seperti Bcl-2, Bcl-Xl, Bcl-w dan protein pro-apoptosis seperti Bax, Bak, Bad (Zhang et al.,2001; Krajewski et al.,1996). Bcl-2 atau Bcl-w merupakan faktor prosurvival yang penting pada sel sertoli, spermatogonia, dan spermatosit; serta mempunyai peranserta dalam pengaturan apoptosis melalui pengikatan faktor proapoptosis Bax dan Bak. Ekspresi protein Bax dapat digunakan untuk menetapkan kematian sel sertoli, spermatogonia, dan spermatosit (Jacobson et al., 1997; Yan et al., 2000).
Oleh karena itu perlu dilakukan penelitian tentang kajian ekspresi protein Bax pada gangguan spermatogenesis pasca pemaparan 2,5-hexanadione pada tikus putih (rattus norvegicus), sehingga dapat diketahui sejauhmana terjadinya perubahan ekspresi protein proapoptosis dapat digunakan sebagai dasar ilmiah untuk menggambarkan terjadinya gangguan spermatogenesis.
METODE PENELITIAN
Penelitian dilaksanakan secara eksperimental dengan rancangan Separate sample Pretest-Posttest Control
Kajian Ekspresi Protein Box Pada Cangguan Spermatogenesis Pasca Pemaparan 2,5-Hexanadione, Pada Tikus Putih (Rattus Norvegicus L) [Mahriani]
Series Desaign, dengan tujuan mengkaji Tabel 1
perubahan ekspresi Bax pada tikus putih
strain Winstar yang dipapar dengan 2,5-HD. Sejumlah 56 ekor tikus putih strain Winstar Jantan dibagi dalam 8 kelompok secara random masing-masing 7 ekor. 2 kelompok sebagai pretest, 3 kelompok kontrol, dan 3 kelompok sebagai perlakuan yang dipaparkan pada 2,5-HD selama 2, 4, 6 minggu.
Pengamatan ekspresi protein Bax pada penampang melintang tubulus seminiferus
Ekspresi protein Bax (sel/tubulus) pada sel germinal dan sel sertoli pasca pemaparan 2,5-HD
|
Lama papara |
Perlakuan |
Spermato Gonia |
Spermato sit |
Spermatid |
Sel Sertoli |
|
2 minggu |
Kontrol |
54,43 ± 6,48 |
52,1 4 ±3,08 |
26,71 ± 6,99 |
10,86 ±2,04 |
|
2,5-HD |
54,90 ± 7,30 |
53,67 ± 4,99 |
27,90 ± 2,88 |
1 1 ,33 ± 2,43 | |
|
2,5- |
1,01 |
1,03 |
1,04 |
1,04 | |
|
4 minggu |
Kontrol |
54,86 ± 4,53 |
52,86 ± 4,26 |
26,43 ± 2,82 |
10,57 ±1,72 |
|
2,5-HD |
56,67 ± 9,65 |
55,05 ± 5,23 |
29,95 ± 6,80 |
12,48 ±3,53 | |
|
2,5- |
1,03 |
1,04 |
1,13 |
1,18 | |
|
6 minggu |
Kontrol |
54,71 ±4,11 |
53,57 ± 5,38 |
25,86 ± 4,56 |
10,71 ±2,56 |
|
2,5-HD |
61, 19 ±4,27 |
57,90 ±4,1 4 |
31, 86 ±3,67 |
9,62 ± 2,46 | |
|
2,5- |
1,12 |
1,08 |
1,23 |
1,32 |
testis, dilakukan dengan metode imunohistokimia, dan selanjutnya dihitung jumlah sel germinal (spermatogonia, spermatosit, spermatid) dan sel sertoli yang meng-ekspresikan Bax yaitu sel yang memberikan reaksi positif terhadap pewarna kromogen DAB (Diamino benzidine tetrahydrochoride) dengan menunjukkan warna coklat. Pengamatan dilakukan dengan menggunakan mikroskop cahaya dengan perbesaran 40X. Data hasil penelitian selanjutnya dianalisis dengan menggunakan anova dan analisis diskriminan yang digambarkan dengan histogram. Hasil penelitian ini menggambarkan ekspresi protein Bax dalam kaitannya dengan mekanisme apoptosis tikus putih strain Wistrar yang dipapar dengan senyawa 2,5-HD.
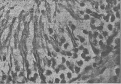
Gambar 1. Sel-sel germinal dan sel sertoli yang menunjukkan reaksi negatip pada pengamatan imunohistokimia
HASIL DAN PEMBAHASAN
Hasil pengamatan imunohistokimia, dan perhitungan jumlah sel germinal (spermatogonia, spermatosit, spermatid) dan sel sertoli yang meng-ekspresikan Bax pada penampang melintang tubulus seminiferus testis, setelah pemaparan 2,5-HD selama 2 minggu, 4 minggu, dan 6 minggu menunjukkan bahwa semakin lama pemaparan bahan toksikan 2,5-HD cenderung menyebabkan semakin meningkatnya jumlah sel yang meng-ekspresikan Bax pada sel germinal maupun sel sertoli. Data hasil pengamatan ekspresi protein Bax pada sel germinal dan sel sertoli pasca pemaparan 2,5-HD sebagaimana terlihat pada tabel 1 berikut.
Berdasarkan tabel di atas tampak bahwa jumlah sel yang meng-ekspresikan Bax pada sel germinal maupun sel sertoli cenderung semakin meningkat dengan semakin lamanya pemaparan 2,5-HD. Hal ini disebabkan karena senyawa 2,5-HD merupakan senyawa yang toksik bagi sel sertoli (Allard et al., 1996), Perlakuan 2,5-HD akan menyebabkan terganggunya mikrotubulus sel sertoli yang kemudian diikuti oleh p%nurunan sekresi cairan tubulus seminiferus (Johnson et al., 1991; Richburg et al., 1994), yang berperan dalam menyediakan nutrien dan hormon untuk mengatur pertumbuhan dan diferensiasi sel-sel germinal (Allard et al., 1996). Gangguan pada sel sertoli akan menghambat regenerasi dan pematangan sel-sel germinal, yang mengakibatkan kematian sel germinal melalui mekanisme apoptosis. Mekanisme kematian sel

Gambar 2. Sel-sel germinal yang menunjukkan reaksi positif pada pengamatan imunohistokimia
dalam spermatogenesis melalui mekanisme apoptosis mengalami peningkatan selama perlakuan senyawa 2,5 HD (Allan et al, 1992). Protein Bax merupakan salah satu protein pro-apoptosis, yang mempunyai peran penting dalam mekanisme apoptosis (Zhang et fl/.,2001; Krajewski et a/., 1996). Pada pengamatan imunohistokimia, ekspresi protein Bax pada sel-sel geminal dan sel sertoli menunjukkan reaksi positif
terhadap kromogen DAB dengan menampakan warna coklat sebagaimana terlihat pada Gambar 1 dan 2.
Semakin lama paparan senyawa toksik 2,5-HD mengakibatkan semakin meningkatnya gangguan pada sel sertoli, sehingga juga menyebabkan semakin meningkatnya jumlah sel yang meng-ekspresikan Bax pada sel sertoli dan sel germinal. Peningkatan ekspresi protein Bax dibanding kontrol pada spermatogonia, spermatosit, spermatid, dan sel sertoli pasca pemaparan 2,5-HD selama 2, 4, dan 6 minggu dapat digambarkan sebagaimana histogram pada Gambar 3.
-
• 2 minggu

-
• 4 minggu
n 6 minggu
Keterangan : 1 (Spermatogonia), 2 (Spermatosit), 3 (spermatid), 4 (Sel sertoli)
Gambar 3. Histogram peningkatan ekspresi protein Bax dibanding kontrol, pasca pemaparan 2,5-HD selama 2,4, dan 6 minggu
Ekspresi protein Bax meningkat dengan semakin lamanya pemaparan 2,5-HD. Ekspresi protein Bax pada sel sertoli meningkat menjadi 132% dibanding kontrol, pada spermatogonia 112% dibanding kontrol, pada spermatosit 108% dibanding kontrol, dan pada spermatid 123% dibanding kontrol, pasca pemaparan 2,5-HD selama 6 minggu. Hal ini menunjukkan bahwa 2,5-HD toksik terhadap sel sertoli (Allard et d., 1996), yang selanjutnya akan menghambat regenerasi dan pematangan sel-sel germinal dan mengakibatkan kematian sel germinal melalui mekanisme apoptosis, yang ditunjukkan oleh meningkatnya ekspresi protein Bax pada sel-sel germinal, baik pada spermatogonia, spematosit, maupun spermatid.
KESIMPULAN DAN SARAN
Berdasarkan hasil penelitian kajian ekspresi protein bax pada gangguan spermatogenesis pasca pemaparan 2,5-hexanadione, pada tikus putih (Rattus norvegicus) ini, dapat ditarik kesimpulan bahwa semakin lama paparan 2,5-HD menyebabkan jumlah sel yang meng-ekspresikan Bax pada sel sertoli dan sel germinal semakin meningkat. Ekspresi Bax dibanding kontrol meningkat menjadi 132%, 112%, 108% dan 123% berturut-turut pada sel sertoli, spermatogonia, spermatosit, dan spermatid, pasca pemaparan 2,5-HD selama 6 minggu.
Untuk lebih menyempurnakan informasi mekanisme
apoptosis akibat pemaparan 2,5-HD, perlu dilakukan kajian rasio Bcl-2/Bax dalam menetapkan kematian sel, sehingga bermanfaat sebagai dasar ilmiah untuk pencegahan, pengobatan, dan penanggulangan dampak negatif akibat paparan senyawa 2,5-HD di masyarakat.
UCAPAN TERIMA KASIH
Penelitian ini merupakan bagian dari penelitian dasar yang dilaksanakan dengan sumber dana DP2M tahun 2006, untuk itu penulis mengucapkan terima kasih kepada Dirjen Dikti dan seluruh jajarannya. Penulis juga mengucapkan terimakasih kepada Dr. Hidayat Teguh Wiyono selaku ketua tim peneliti atas arahan dan kerjasamanya yang baik, serta kepada semua pihak yang telah membantu terlaksananya penelitian ini.
DAFTAR PUSTAKA
Adams JM., Cory S., 1999, The Bcl-2 Protein Family Arbiters Of Cell Survival, Science 281:1322-1326
Allard, EK., Blanchard, KT., dan Boekelheide, K., 1996, Exogenous Stem Cell Factor (SCF) Compensates for Altered Endogenous SCF Expression in 2,5-Hexane-dione-induced Testicular Atrophy in Rats, Rhode Island: Brown University.
Allan, DJ., Harmon, BV., dan Robert, SA., 1992, Sper-matogonial Apoptosis Has Three Morphologically Recognizable In The Rat, Cell Proliferation, 25: 241-250
Accu-chemical Laboratories, 2003, Hexane, Accu-chemical Laboratories, http://www.accu-chem.com/hexane. html.
Blanchard, KT, Allard, EK. dan Boekelheide, K., 1996, Fate Of Germ Cells In 2,5-Hexanedione-Induced Testicular Injury, Toxicology and Applied Pharmacology. 137: 141-148.
Boekelheide, K., dan Hall, SJ.,1991,2,5-Hexanedione Exposure in the Rat Results in Long-term Testicular Atrophy Despite the Presence of Residual Spermatogonia, Journal of Andrology. ,12: 18-26.
Boekelheide, K., Shawna, L., Johnson, KI, Patel, SR., dan Schoenfeld, HA., 2000, Role of Sertoli Cell in Injury-Associated Testicular Germ Cell Apoptosis, Experimental Biology and Medicine, 225:105-115.
Dispersyn, GD. dan Borgers, M., 2001, Apoptosis in the Heart: About Program med Cell Death and Survival, Physiological Sciences, 16(1): 41-47
Evan G, Littlewood T 1998 A Matter Of Life And Cell Death. Science 281:1317-1322
Garrido, C, Gurbuxani, L., Ravagnan, L., dan Kroemer, 2001, Heat Shock Proteins: Endogenous Modulators of Apoptosis Cell Death, Bio chemical and Biophysical Research Communication, 286: 433-442
Jacobson, MD., Weil, M., dan Raff, MC, 1997, Programmed Cell Death in Animal Development, Cell, 88: 347-354
Jonson, KJ., Hall, ES., Boekelheide, K., 1991, 2,5-Hexane-dione Exposure Alters The Rat Sertoli Cell Cytoskeleton, Toxicology and Applied Pharmacology. Ill: 432-442.
Krajewski, S., Krajaweska, M., dan Reed, JC.,1996, Immunohistochemical Analysis of in Vivo Pattern of Bax Expression, A Proapoptotic Member of The Bcl-2 Protein Family, Journal Cancer Research, 56(12), 2849-2855
Krasavage, WJ., O'Donogue, JL., DiVincenzo, GD., dan Terhaar, CJ., 1980, The Relative Neurotoxicity Of Methyl-N-Butyl Ketone, n-Hexane, and Their Metabolites, Toxicology and Applied Pharmacology, 52: 434-441
Lee, J., Richburg, JH., Shipp, EB., Meistrich, ML, dan Boekelheide, 1999, The Fas System, A Regulator of Testicular Germ Cell Apoptosis, is Differentially Up-Regulated in Sertoli Cell Versus Germ Cell Injury of The Testis, Journal of Endocrinology, 140: 852-858
Mahriani, Fajariyah, S., Wiyono, TH., dan Widayati, SMW., 2003, Pengaruh Senyawa 2,5-Hexanedione Terhadap Berat Organ Reproduksi dan Kualitas Spermatozoa Mencit (Mus musculus), Laporan Penelitian DIKS Universitas Jember
Richburg, JH., Redenbach, dan Boekelheide, K., 1994, Seminiferous Tubule Fluid Secretion Is A Sertoli Cell Microtubule-Dependent Process Inhibited By 2,5-Hexanedione Exposure, Toxicology and Applied Pharmacology, 128: 302-309
Rodriguez, JB., dan Garcia, CM, 1996, Spontaneus Germ Cell Death in The Testis of The Adult Rat Takes The Form of Apoptosis; Re-Evaluation of Cell Types That Exhibit The Ability to Die During Spermatogenesis, Cell Proliferation, 65: 229-235
Rosiepen, G., Chapin, RE. dan Weinbauer, GF.,1995, The Duration of the Cycle of the Seminiferous Epithelium is Altered by Administration of 2,5-Hexanedione in the Adult Sprague-Dawley Rat, Journal of Andrology, 16: 127-135.
Wisaksono, S., 2002. Efek Toksik dan Cara Menentukan Tok-sisitas Bahan Kimia, Jakarta: Departemen Kesehatan Republik Indonesia.
Zirkin, BR., 1993, Regulation of Spermatogenesis in The Adult Mammal: Gonadotropins and Androgen, in Cell and Molecular Biology of Testis, New York: Oxford University Press
Yan, W., Samson, M., Jegou, B., dan Toppari, 1,2000, Bcl-w Forms Complexes with Bax and Bak, and Elevated Ratios of Bax/Bcl-w and Bak/Bcl-w Correspond to Spermatogonial and Spermatocyte Apoptosis in The testis, Journal Moleculer Endocrinology, 14(5) : 682-699
Zhang H, Holzgreve,W, Geyter C.D.,2001, Bcl-2-L-10, A Novel Anti-apoptotic Member of The Bcl-2 Family, Blocks Apoptosis in The Mitochondria Death Pathway But Not in The Death Receptor Pathway, Human Moleculer Genetics, 10 (21) : 2329-2339
Discussion and feedback